歯根端切除術とは

マイクロエンド(根管治療)をおこなったとしても感染が根管内のみならず、根管の先の方に波及し、根管治療をおこなっただけでは治らない歯に対して外科的に根の先にアプローチする方法です。
主に病気の原因が根管から根の先に移行してしまった場合、いくら根管治療をしても治らない場合があります。その際には歯茎を開き、物理的に病気をとることで原因を根本的に除去する方法です。
根管治療が第一選択ですが、被せ物が外せない場合や、根管治療を行なっても根の先の病気や歯茎の腫れが治らない場合に行う治療法です。
歯根端切除術の
メリット・デメリット
歯根端切除術のメリット
根管治療で治らなかった場合や、根管治療ができなかった歯を抜歯せずに残せる可能性があります。
また、補綴物(被せ物)は外さずに治療をすることができます。
歯根端切除術のデメリット
歯根端切除術では、外科的手術ののため術後一次的に歯ぐきの腫れや痛みが出ますなどの術後の不快感が起きます。痛み止めや抗生物質でコントロールできます。また、外科処置を伴うため治療後、切開線によっては歯ぐきが下がる場合があります。
動画で見る歯根端切除術
歯根端切除術の
流れ
-
STEP 1
- 診査診断
-
歯茎の腫れを確認し、CT、レントゲンで確認し、根の先に問題があることを確認します。
-
-
-
STEP 2
- 歯根端切除術
- 歯根端切除の手術をします。
-
-
-
STEP 3
- 歯根端切除術の終了
- 6ヶ月後に歯茎の腫れを確認し、CT、レントゲン撮影を行い、終了します。
※症例は2年経過良好。 -
-
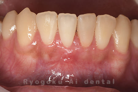
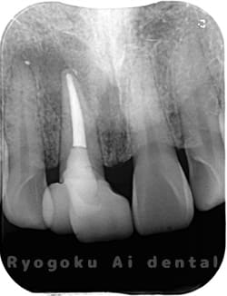
歯根端切除術の症例
Case01
-
- 原因
- 慢性根尖性歯周炎
-
- 治療期間
- 1回(消毒・洗浄も含めると3回)
-
- 治療内容
- 歯根端切除術
-
- 治療費用
- ¥110,000
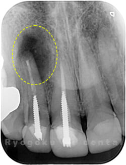
他院で抜歯と判断され、インプラント治療を提案された患者様です。被せ物を外さずに、歯の根尖部に外科的にアプローチし、病気の部分を除去しました。
<リスク・副作用>
外科手術のため、術後に出血、痛みや腫れ、違和感を伴います。口腔内の状態によっては適応できないことがあります。歯根端切除で治らなければ抜歯を検討しなくていけない場合もあります。
Case02
-
- 原因
- 慢性根尖性歯周炎
-
- 治療期間
- 1回(消毒・洗浄も含めると3回)
-
- 治療内容
- 歯根端切除術
-
- 治療費用
- ¥110,000
他院で抜歯と判断され、インプラント治療を提案された患者様です。被せ物を外さずに、歯の根尖部に外科的にアプローチし、病気の部分を除去しました。
<リスク・副作用>
外科手術のため、術後に出血、痛みや腫れ、違和感を伴います。口腔内の状態によっては適応できないことがあります。歯根端切除で治らなければ抜歯を検討しなくていけない場合もあります。
Case03
-

-

-

術後1年半レントゲン
-
- 原因
- 慢性根尖性歯周炎
-
- 治療内容
- 歯根端切除法
-
- 治療費用
- ¥77,000
前歯の腫れが治らない、とのことでご来院された患者様です。前歯には他院で自費で入れた被せ物が入っており、被せ物のやり変えと共に根管治療の提案を致しましたが、このままの状態での治療を希望されたため、歯根端切除術を行いました。手術後の痕も気にならずに、腫れもなくなり、非常に満足して頂きました。半年経過を追っておりますが、現在も再発等ございません。
<リスク・副作用>
外科手術のため、術後に出血、痛みや腫れ、違和感を伴います。口腔内の状態によっては適応できないことがあります。歯根端切除で治らなければ抜歯を検討しなくていけない場合もあります。
Case04
-
- 原因
- 歯根嚢胞
-
- 治療内容
- 歯根端切除法
-
- 治療費用
- ¥110,000
他院で治療した歯が腫れていて、様子を見るように言われたが、なかなか治らない、とのことでご来院された患者さんです。歯根端切除術を行い、腫れもなくなり、経過良好です。
<リスク・副作用>
外科手術のため、術後に出血、痛みや腫れ、違和感を伴います。口腔内の状態によっては適応できないことがあります。歯根端切除で治らなければ抜歯を検討しなくていけない場合もあります。
Case05
-

-

-

術後1年後レントゲン
-
- 原因
- 歯根嚢胞
-
- 治療内容
- 歯根端切除法
-
- 治療費用
- ¥77,000
下の前歯の違和感が取れない、響く感じも強いとのことでご来院された患者様です。歯根端切除術を行い、術後の経過も良好です。
<リスク・副作用>
外科手術のため、術後に出血、痛みや腫れ、違和感を伴います。口腔内の状態によっては適応できないことがあります。歯根端切除で治らなければ抜歯を検討しなくていけない場合もあります。
Case06
-
- 原因
- 歯根嚢胞
-
- 治療内容
- 歯根端切除法
-
- 治療費用
- ¥110,000
歯根嚢胞が原因でご来院された患者さんです。歯根端切除術を行い、経過良好です。
<リスク・副作用>
外科手術のため、術後に出血、痛みや腫れ、違和感を伴います。口腔内の状態によっては適応できないことがあります。歯根端切除で治らなければ抜歯を検討しなくていけない場合もあります。
Case07
-

術前
-

歯根端切除術後
-

術後1年
-
- 原因
- 歯根嚢胞
-
- 治療内容
- 歯根端切除法
-
- 治療費用
- ¥77,000
他院で行った根管治療後、腫れがひかないためにご来院された患者様です。歯根端切除を行い、現在、経過良好です。
<リスク・副作用>
外科手術のため、術後に出血、痛みや腫れ、違和感を伴います。口腔内の状態によっては適応できないことがあります。歯根端切除で治らなければ抜歯を検討しなくていけない場合もあります。
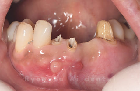
Case08
-
- 原因
- 歯根嚢胞、重度カリエス
-
- 治療内容
- 再植手術、クラウンレングスニング
-
- 治療費用
- ¥99,000
他院で根管治療を行ったが、なかなか治らず、抜歯を宣告されたとのことでご来院された患者様です。歯がかなり削られており、また、歯根の根尖部の病変が大きく、嚢胞化しているため、クラウンレングスニングと再植歯根端手術を同時に行いました。違和感もなくなり、大変満足されています。
<リスク・副作用>
外科手術のため、術後に出血、痛みや腫れ、違和感を伴います。口腔内の状態によっては適応できないことがあります。歯根端切除で治らなければ抜歯を検討しなくていけない場合もあります。
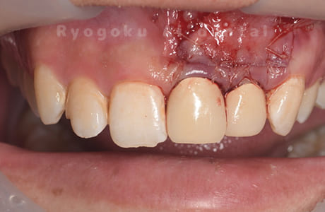
Case09
-

部分矯正クラウンレングスニング正面術前
-

部分矯正クラウンレングスニング正面術中
-

部分矯正クラウンレングスニング正面術中
-

部分矯正クラウンレングスニング正面術後
-

部分矯正 クラウンレングスニング 咬合面術前
-

部分矯正 クラウンレングスニング 咬合面術中
-

部分矯正 クラウンレングスニング 咬合面術後/p>
-

歯根端切除術中
-

歯根端切除術直後
-

歯根端切除術後
-

マイクロエンド術前
-

マイクロエンド術後
-
- 原因
- パーフォレーション、慢性根尖性歯周炎
-
- 治療内容
- マイクロエンド、MTM、クラウンレングスニング、歯根端切除術
-
- 治療費用
- 286,000円
他院で歯の根の中に穴が空いているとのことで抜歯と診断された患者様です。一部穴が空いている部分を修復し、部分矯正を行い、手術を行いました。経過良好で、患者様も満足されています
<リスク・副作用>
手術後は痛み、腫れ、痺れ、青あざなどの副作用が生じます。痛みは痛み止めを処方しますが、腫れ、青あざは1週間程度生じる場合があります。また、部位によっては神経の走行が複雑で、痺れが残り、長期的にお薬を処方する場合があります。
Case10
-
- 原因
- 下顎前歯部歯根嚢胞
-
- 治療内容
- 歯根端切除法
-
- 治療費用
- ¥77,000×2
他院で歯根端切除術を行ったが、良くならないとのことで、ご来院された患者様です。再根管治療後、サイナストラクトが消失しなかったため、歯根端切除術を行いました。現在、一年経過しておりますが、再発もせず、経過良好です。
<リスク・副作用>
外科手術のため、術後に出血、痛みや腫れ、違和感を伴います。口腔内の状態によっては適応できないことがあります。歯根端切除で治らなければ抜歯を検討しなくていけない場合もあります。
Case11
-
- 原因
- 左上4番歯根嚢胞
-
- 治療内容
- 歯根端切除法
-
- 治療費用
- ¥88,000
左上の歯を抜歯と宣告された、とのことでご来院された患者様です。歯根端切除術をマイクロスコープ下で行い、経過良好です。
<リスク・副作用>
外科手術のため、術後に出血、痛みや腫れ、違和感を伴います。口腔内の状態によっては適応できないことがあります。歯根端切除で治らなければ抜歯を検討しなくていけない場合もあります。
Case12
-
- 原因
- 慢性根尖性歯周炎
-
- 治療内容
- 再植歯根端切除術ならびにセラミック治療
-
- 治療費用
- 手術費:¥66,000
セラミッククラウン費:¥121,000
他院で行った根管治療後から歯茎の腫れが治らないとのことでご来院された患者様です。根管治療を再度行いましたが、腫れが治らないため、再植を行い、根尖部の病変ならびに根尖を切除し、逆根管充填を行い、戻しました。腫れも引き、経過良好です。
<リスク・副作用>
外科手術のため、術後に出血、痛みや腫れ、違和感を伴います。口腔内の状態によっては適応できないことがあります。歯根端切除で治らなければ抜歯を検討しなくていけない場合もあります。
Case13
-
- 原因
- 慢性根尖性歯周炎
-
- 治療内容
- 再植歯根端切除術
-
- 治療費用
- ¥66,000
他院で行った根管治療後、違和感と痛みが取れないとのことでご来院された患者様です。再根管治療をご提案させて頂きましたが、治療回数をかけたくないとのご希望のため、リスクを説明し、再植歯根端切除術をご提案させて頂き、治療を行いました。症状も消え、大変ご満足して頂けました。
<リスク・副作用>
外科手術のため、術後に出血、痛みや腫れ、違和感を伴います。口腔内の状態によっては適応できないことがあります。歯根端切除で治らなければ抜歯を検討しなくていけない場合もあります。
Case14
-

-

術後半年レントゲン
-
- 原因
- 左上1、2番歯根嚢胞
-
- 治療内容
- 歯根端切除法
-
- 治療費用
- ¥77,000×2
前歯の違和感が治らず、他院では治療を断られたとのことでご来院された患者様です。左上1、2番に口蓋側まで及ぶ嚢胞が存在したため、歯根端切除術を行いました。経過良好です。
<リスク・副作用>
外科手術のため、術後に出血、痛みや腫れ、違和感を伴います。口腔内の状態によっては適応できないことがあります。歯根端切除で治らなければ抜歯を検討しなくていけない場合もあります。
歯根端切除術の費用
※費用は税込価格です。
| 種類 | 内容 | 税込価格 |
|---|---|---|
| 歯根端切除術 | 前歯部 | ¥77,000 |
| 小臼歯部 | ¥88,000 | |
| 大臼歯部 | ¥110,000 |
| 種類 | 税込価格 |
|---|---|
| マイクロエンド後の歯根端切除術 | ¥44,000(一律) |
| パーフォレーションリペア (1箇所) |
¥55,000 |
治療上の注意点とリスク・副作用
- 歯根端切除術では、外科的手術ののため術後一次的に歯ぐきの腫れや痛みが出ますなどの術後の不快感が起きます。痛み止めや抗生物質でコントロールできます。
- 手術部位からの軽度の出血は通常のことですが、過剰な出血が見られる場合は、速やかに歯科医に相談する必要があります。
- 外科処置を伴うため治療後、切開線によっては歯ぐきが下がる場合があります。
歯や歯髄を残す治療のメニュー
-

- 根管治療
- 歯を残すためには精密な根管治療が必要です。当院では精密な根管治療を得意としております。
-

- 根管治療のリカバリー
- 根管治療の再治療・パーフォレーションの修復をし、歯の残す事を大切にしています。
-

- マイクロエンド
- マイクロエンドとはマイクロスコープを使用した精密な根管治療です。
-

- 歯牙移植
- 親知らずを欠損部位に移植する自家歯牙移植。
-

- 断髄治療
- 断髄治療は感染した一部分の神経をカットすることで、神経を保存する方法です。
-

- MTAを使用した治療
- MTA療法は根管内の無菌化精度の向上と根管の密封により再発リスクの軽減が可能となります。
-

- 歯根端切除
- 歯根端切除は根管治療で治らない根尖病変の治療法です。
-

- 治療費
- 両国Ai歯科クリニックの保険外治療の治療費のページ。
ウェブ診療予約COUNSELING
患者様とのコミュニケーションを重視し、
エビデンスに基づいた質の高い歯科治療を
おこなうことを心掛けております。
歯が悪くならないように予防をし、
悪くなった歯は可能な限り歯を残すことを
コンセプトに
スタッフ一同で患者様に
寄り添い対応いたしますので、
お気軽にご相談ください。
ACCESS
両国駅、森下駅から徒歩7分
〒130-0026
東京都墨田区両国4-6-3
M.D.Cビル1F
| 診療時間 | 月 | 火 | 水 | 木 | 金 | 土 | 日 | 祝 |
|---|---|---|---|---|---|---|---|---|
| 09:30~13:00 | ○ | ○ | ○ | ○ | ○ | ○ | × | × |
| 14:00~18:30 | ○ | ○ | ○ | ○ | ○ | △ | × | × |
△土曜午後 14:00~17:30
休診日:日曜・祝日
両国Ai歯科クリニックはJR総武線 両国駅東口徒歩7分、都営大江戸線 両国駅A5出口徒歩7分、都営新宿線 森下駅A2出口徒歩7分の場所にある歯科医院です。
土曜診療をしておりますので、お仕事や学校が忙しい患者様にも通院がしやすいので歯のことでお困りでしたらお気軽にご相談下さい。








































































