断髄治療とは

虫歯によって感染した一部分の神経をカットすることで、神経を保存する方法です。
神経は密閉された空間を維持しているため、一部分でも虫歯菌によって感染してしまうと神経内は全て虫歯菌で満たされてしまう、というのが保険診療での考え方で、現在でも通説となっています。
しかし、近年の研究では虫歯菌の神経内での感染は緩やかであることがわかったため、感染している神経のみを一部分カットし、残りの部分を保存することで大部分の神経を残すことが可能となりました。
断髄治療自体は現在、最先端治療であると共に、経験のある歯科医師は数限られているため、常に難しいテクニックとなります。
歯の神経を残したいと思っている方は残せる可能性がございます。一度、両国Ai歯科クリニックにご相談下さい。
神経を残す・取る
メリット・デメリット
神経を残すメリット
- 歯根破折のリスクが減る。
- 削る部分が少なくて済む。
- 治療回数が少なくて済む。
- 歯に熱い、冷たいなどの知覚がある。
- 歯が変色しない。
神経を取るデメリット
- 治療回数が増える。
- 治療方法が複雑になる。
- 再発のリスクが高くなる可能性がある。
- 虫歯になっても痛みが気付かない。
- 歯が変色しやすい。
- 歯の寿命が短くなるリスクがある。
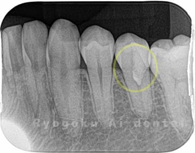
断髄治療の症例
Case01
-

虫歯を徹底的に除去します
-

感染している神経を除去し、洗浄・消毒
-

MTA(薬)を置きます
-
- 原因
- C3、インレー不適合
-
- 治療期間
- 1ヶ月
-
- 治療内容
- 断髄治療
-
- 治療費用
- 88,000円
虫歯の治療と銀歯のやり直しを希望され、銀歯を外したところ、虫歯が大きく、神経の処置が必要と判断。患者様と相談し、神経を残す断髄治療となったケース。
<リスク・副作用>
術後は痛み、腫れ、痺れなどの副作用が生じる場合があります。症状が再発する可能性があります。その場合は抜髄する必要があります。
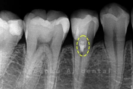
Case02
-
- 原因
- C3、インレー不適合
-
- 治療期間
- 1ヶ月
-
- 治療内容
- 断髄治療
-
- 治療費用
- 66,000円
虫歯の治療と銀歯のやり直しを希望され、銀歯を外したところ、虫歯が大きく、神経の処置が必要と判断。患者様と相談し、神経を残す断髄治療となったケース。
<リスク・副作用>
術後は痛み、腫れ、痺れなどの副作用が生じる場合があります。症状が再発する可能性があります。その場合は抜髄する必要があります。
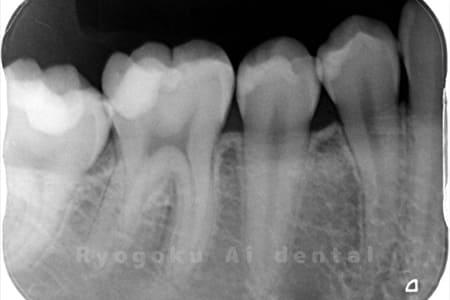
Case03
-
- 原因
- むし歯
-
- 治療期間
- 補綴装着期間を含めて3回
-
- 治療内容
- 断髄治療
-
- 治療費用
- 66,000円
違和感があるとのことでレントゲン撮影を行なったところ、プラスチックの被せ物の中で虫歯が広がっていると判断。レントゲンの状態からも神経にかなり近いため、患者様と相談し、断髄治療を行なったケースです。3年間のフォローアップ期間中で現在トラブルはなし。
<リスク・副作用>
術後は痛み、腫れ、痺れなどの副作用が生じる場合があります。症状が再発する可能性があります。その場合は抜髄する必要があります。
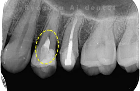
Case04
-
- 原因
- C3、重度カリエス
-
- 治療内容
- 17・15断髄治療
-
- 治療費用
- 154,000円
他院で神経をとるほどの虫歯があり、神経を残したいとのことで来院された患者様です。歯の神経を一部分取る断髄治療を行い、問題なく経過を追っています。
<リスク・副作用>
術後は痛み、腫れ、痺れなどの副作用が生じる場合があります。症状が再発する可能性があります。その場合は抜髄する必要があります。
Case05
-
- 原因
- 15部重度カリエス
-
- 治療内容
- 断髄治療
-
- 治療費用
- 66,000円
歯がしみるとのことで来院された患者様です。虫歯が神経まで及んでいましたが、神経を一部分カットする断髄治療を行いました。経過も良好です。
<リスク・副作用>
術後は痛み、腫れ、痺れなどの副作用が生じる場合があります。症状が再発する可能性があります。その場合は抜髄する必要があります。
Case06
-
- 原因
- 重度カリエス、知覚過敏
-
- 治療内容
- 断髄治療
-
- 治療費用
- 66,000円
他院で行った治療後の痛みが取れない、しみる症状が消えないとのことで来院された患者様です。神経を一部分カットする断髄治療を行い、しみる症状が消え、現在も良好な状態を維持しております。
<リスク・副作用>
術後は痛み、腫れ、痺れなどの副作用が生じる場合があります。症状が再発する可能性があります。その場合は抜髄する必要があります。
Case07
-
- 原因
- C3、重度カリエス
-
- 治療内容
- 親知らずの抜歯、37断髄治療
-
- 治療費用
- 88,000円
左下がしみるとのことでご来院された患者様です。親知らずが横に生えており、そのせいで歯ブラシができず、親知らずと共に手前の歯も大きな虫歯になっていたため、親知らずの抜歯後に手前の歯を断髄治療を行いました。
<リスク・副作用>
術後は痛み、腫れ、痺れなどの副作用が生じる場合があります。症状が再発する可能性があります。その場合は抜髄する必要があります。
Case08
-
- 原因
- 重度カリエス
-
- 治療内容
- 断髄治療
-
- 治療回数
- 1回
-
- 治療費用
- 66,000円
右下に違和感があるとのこでご来院。レントゲンでも神経に達する虫歯があり、神経の保存を行う断髄治療について説明し、同意を得て行いました。特に知覚過敏症状もなく、神経の反応も良好なため、今後は定期検診にて経過を追っていくこととなりました。
<リスク・副作用>
術後は痛み、腫れ、痺れなどの副作用が生じる場合があります。症状が再発する可能性があります。その場合は抜髄する必要があります。
Case09
-
- 原因
- 重度カリエス
-
- 治療日数
- 2ヶ月
-
- 治療回数
- 約4回
-
- 治療内容
- 断髄治療並びに補綴治療
-
- 治療費用
- 88,000円(断髄治療費)+仮歯(5,500円)+ジルコニアクラウン(165,000円)=258,500円
歯がしみるとのことでごラインされた患者様です。プラスチックが欠けており、中で大きく虫歯が広がっていました。神経の保存を患者様は希望されたため、断髄処置を行い、約2ヶ月後に被せ物の治療を行いました。
<リスク・副作用>
過度の咬合や衝撃で割れることがあります。術後は痛み、腫れ、痺れなどの副作用が生じる場合があります。症状が再発する可能性があります。その場合は抜髄する必要があります。
Case10
-
- 原因
- 重度カリエス
-
- 治療内容
- 断髄治療
-
- 治療費用
- 99,000円
-
- 担当医
- Dr 炭野
しみる症状が消えないとのことでご来院された患者様です。神経の保存を希望されたため、断髄治療を行いました。しみる症状も消失し、経過も良好です。
<リスク・副作用>
過度の咬合や衝撃で割れることがあります。術後は痛み、腫れ、痺れなどの副作用が生じる場合があります。症状が再発する可能性があります。その場合は抜髄する必要があります。
Case11
-
- 原因
- 重度カリエス
-
- 治療内容
- 断髄治療
-
- 治療費用
- 99,000円
-
- 担当医
- Dr 炭野
しみる症状が消えないとのことでご来院された患者様です。もともとの虫歯が大きく、神経の除去について説明した上で、保存を希望されたため、断髄治療を行いました。しみる症状もなく、経過は良好です。
<リスク・副作用>
過度の咬合や衝撃で割れることがあります。術後は痛み、腫れ、痺れなどの副作用が生じる場合があります。症状が再発する可能性があります。その場合は抜髄する必要があります。
Case10
-
- 原因
- 重度カリエス
-
- 治療内容
- 断髄治療
-
- 治療費用
- 99,000円
-
- 担当医
- Dr 炭野
しみる症状が消えないとのことでご来院された患者様です。神経の保存を希望されたため、断髄治療を行いました。しみる症状も消失し、経過も良好です。
<リスク・副作用>
過度の咬合や衝撃で割れることがあります。術後は痛み、腫れ、痺れなどの副作用が生じる場合があります。症状が再発する可能性があります。その場合は抜髄する必要があります。
Case11
-
- 原因
- 急性歯髄炎
-
- 治療内容
- 断髄治療
-
- 治療回数
- 1回
-
- 治療費用
- 154,000円(2歯分)
他院で被せ物の治療を行ったが、しみる症状が取れないとのことでご来院された患者様です。可逆性の歯髄炎と判断し、断髄治療を行いました。現在は症状もなく、経過良好です。
<リスク・副作用>
術後は痛み、腫れ、痺れなどの副作用が生じる場合があります。症状が再発する可能性があります。その場合は抜髄する必要があります。
Case12
-
- 原因
- 重度カリエス
-
- 治療内容
- 断髄治療、セラミッククラウン修復
-
- 治療費用
- 断髄治療:77,000円
セラミッククラウン修復:121,000円
-
- 担当医
- Dr. 炭野
左上の歯がしみるとのことでご来院された患者様です。虫歯を全ての虫歯をとることで、神経が露出するため、感染している神経の除去を目的とした断髄治療を行い、その後、セラミックで治療しました。経過良好です。
<リスク・副作用>
過度の咬合や衝撃で割れることがあります。術後は痛み、腫れ、痺れなどの副作用が生じる場合があります。症状が再発する可能性があります。その場合は抜髄する必要があります。
Case13
-
- 原因
- C3重度齲蝕
-
- 治療内容
- 断髄治療
-
- 治療費用
- 77,000円
-
- 担当医
- Dr. 炭野
神経にほど近い大きな虫歯があり、虫歯を除去していったところ、神経の治療が必要となりました。神経を全て除去の必要性はなく、一部健康な神経を残せる状態だったため、断髄治療を行いました。経過良好です。
<リスク・副作用>
術後は痛み、腫れ、などの副作用が生じる場合があります。術後一定期間の後症状が再発する場合は抜髄する必要があります。
断髄治療の費用
※費用は税込価格です。
| 種類 | 内容 | 税込価格 |
|---|---|---|
| 断髄 | 前歯部 | ¥55,000 |
| 小臼歯部 | ¥77,000 | |
| 大臼歯部 | ¥99,000 |
歯や歯髄を残す治療のメニュー
-

- 根管治療
- 歯を残すためには精密な根管治療が必要です。当院では精密な根管治療を得意としております。
-

- 根管治療のリカバリー
- 根管治療の再治療・パーフォレーションの修復をし、歯の残す事を大切にしています。
-

- マイクロエンド
- マイクロエンドとはマイクロスコープを使用した精密な根管治療です。
-

- 歯牙移植
- 親知らずを欠損部位に移植する自家歯牙移植。
-

- 断髄治療
- 断髄治療は感染した一部分の神経をカットすることで、神経を保存する方法です。
-

- MTAを使用した治療
- MTA療法は根管内の無菌化精度の向上と根管の密封により再発リスクの軽減が可能となります。
-

- 歯根端切除
- 歯根端切除は根管治療で治らない根尖病変の治療法です。
-

- 治療費
- 両国Ai歯科クリニックの保険外治療の治療費のページ。
ウェブ診療予約COUNSELING
患者様とのコミュニケーションを重視し、
エビデンスに基づいた質の高い歯科治療を
おこなうことを心掛けております。
歯が悪くならないように予防をし、
悪くなった歯は可能な限り歯を残すことを
コンセプトに
スタッフ一同で患者様に
寄り添い対応いたしますので、
お気軽にご相談ください。
ACCESS
両国駅、森下駅から徒歩7分
〒130-0026
東京都墨田区両国4-6-3
M.D.Cビル1F
| 診療時間 | 月 | 火 | 水 | 木 | 金 | 土 | 日 | 祝 |
|---|---|---|---|---|---|---|---|---|
| 09:30~13:00 | ○ | ○ | ○ | ○ | ○ | ○ | × | × |
| 14:00~18:30 | ○ | ○ | ○ | ○ | ○ | △ | × | × |
△土曜午後 14:00~17:30
休診日:日曜・祝日
両国Ai歯科クリニックはJR総武線 両国駅東口徒歩7分、都営大江戸線 両国駅A5出口徒歩7分、都営新宿線 森下駅A2出口徒歩7分の場所にある歯科医院です。
土曜診療をしておりますので、お仕事や学校が忙しい患者様にも通院がしやすいので歯のことでお困りでしたらお気軽にご相談下さい。













































