MTAセメントとは

MTAセメントのMTAとは「Mineral Trioxide Aggregate」の頭文字の略です。成分は建築用セメントと類似しており、粒子を細かくし、有害物質を取り除いたものが歯科用セメントとして使用されています。
MTAセメントは虫歯の治療、歯の根の治療などに使用されます。
虫歯が大きく、神経に達してしまった場合、従来なら神経をとらずに神経を保護するために歯科材料で封鎖して行きます。この場合、再発率が高くなったり、抜歯せざるを得ないことがあります。
かわりにMTAセメントを使用することでMTAセメントは強いアルカリ性のため殺菌効果が高いとされ封鎖能力に優れ、外部からの細菌の侵入を防ぐほか、歯を治す作用もあります。
従来の虫歯治療であれば抜歯が必要な虫歯も、MTAセメントの使用によって抜歯せずに残せることもあります。
MTAセメントの特徴
-
- 特徴 1
- MTAセメントは歯質接着性があるため、歯に対して機械的、化学的に接着することが出来る。
-
- 特徴 2
- MTAセメントは固まる際にわずかに膨張する性質があり、隙間なくしっかり密封させる封鎖性に優れている。
-
- 特徴 3
- MTAセメントは固まると強度が増し歯に適切な硬さになる。
-
- 特徴 4
- MTAセメントは固まると強アルカリ性を示すようになり高い殺菌性を発揮する。
-
- 特徴 5
- MTAセメントは固まると生体親和性が良い。
-
- 特徴 6
- MTAセメントは高い親水性を持つため、ガッタ・パーチャポイント使用時のように完璧に乾燥した状態でなくても使用が可能。
-
- 特徴 7
- MTAセメントには持続的に少しずつ水酸化カルシウムを放出するので、吸収されてしまった歯の根や周囲の骨の再生を促す。
MTAセメントによる
神経を残す治療
大きく重度な虫歯で、歯の神経にまで虫歯の原因菌の感染が及ぶと神経を取り除く処置が必要になります。
神経を取った歯でも咬む感覚は残りますから、修復すれば今まで通りに咬むことができますが、歯の神経の有無はその歯の寿命を大きく左右します。
神経を取ることにより栄養されなくなった歯は折れやすく、割れやすくなります。
折れたり割れたりした歯は残念ながら抜歯になる可能性が高いのです。極力歯の神経を残し、歯の寿命を延ばすために、当院では「MTAセメント」を用いた歯髄(歯の神経)温存療法を行っております。
この治療法は歯髄炎の場合に適用する方法です。適応症例であれば歯の神経を残すことができる可能性があるので、あきらめずにご相談下さい。
MTAセメントの
メリット・デメリット
MTAセメントのメリット
- 治療回数を減らせる。
- 歯を削る量を抑えられる。
- 歯の寿命を伸ばせる。
MTAセメントのデメリット
- 自由診療なので治療費が高くなる。
- すべての症例に適応するわけではない。
- 歯の生活反応がない場合は抜髄(歯の神経を取る)する必要がある。
MTAセメントよる
治療の症例
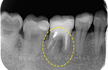
Case01
-

虫歯を徹底的に除去します
-

感染している神経を除去し、洗浄・消毒
-

MTA(薬)を置きます
-
- 原因
- C3、インレー不適合
-
- 治療期間
- 1ヶ月
-
- 治療内容
- 断髄治療
-
- 治療費用
- ¥88,000
虫歯の治療と銀歯のやり直しを希望され、銀歯を外したところ、虫歯が大きく、神経の処置が必要と判断。患者様と相談し、神経を残す断髄治療となったケース。
<リスク・副作用>
術後は痛み、腫れ、痺れなどの副作用が生じる場合があります。
Case02
-
- 原因
- 右上7番パーフォレーション
-
- 治療内容
- パーフォレーションリペア、再植治療
-
- 治療費用
- ¥55,000
右上の痛みが取れないとのことでご来院された患者様です。マイクロスコープで歯の中に穴が空いているのがわかったため、根管内からのアプローチが難しいことから再植治療を行い、180°回転させました。現在は痛みもひき、患者様も満足されています。
<リスク・副作用>
手術後は痛み、腫れ、痺れ、青あざなどの副作用が生じます。痛みは痛み止めを処方しますが、腫れ、青あざは1週間程度生じる場合があります。また、部位によっては神経の走行が複雑で、痺れが残り、長期的にお薬を処方する場合があります。
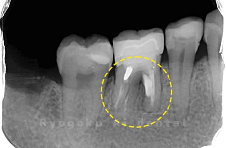
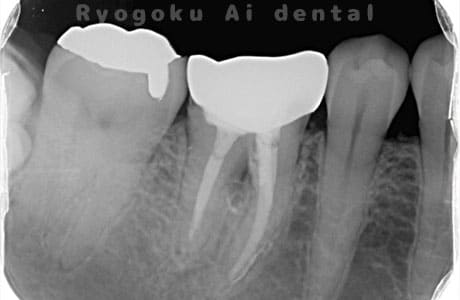
Case03
-
- 原因
- 歯牙破折
-
- 治療内容
- MTA治療
-
- 治療費用
- ¥55,000
右下の奥の歯が割れているとのことで他院で抜歯を宣告され、保存希望で当医院来院された患者様です。歯周ポケットもなくなり、現在、問題なく経過しており、患者様も満足されております。
<リスク・副作用>
手術後は痛み、腫れ、痺れ、青あざなどの副作用が生じます。痛みは痛み止めを処方しますが、腫れ、青あざは1週間程度生じる場合があります。また、部位によっては神経の走行が複雑で、痺れが残り、長期的にお薬を処方する場合があります。
Case04
-
- 原因
- 右下6番パーフォレーション
-
- 治療内容
- パーフォレーションリペア
-
- 治療費用
- ¥66,000
右下奥歯が他院で行った治療後、腫れが引かないとのことでご来院された患者様です。近心根の遠心壁にパーフォレーションを認めたため、外科的にパーフォレーション部の修復を行いました。経過良好です。
<リスク・副作用>
手術後は痛み、腫れ、痺れ、青あざなどの副作用が生じます。痛みは痛み止めを処方しますが、腫れ、青あざは1週間程度生じる場合があります。また、部位によっては神経の走行が複雑で、痺れが残り、長期的にお薬を処方する場合があります。
Case05
-

-

-

-

術後2ヶ月
-
- 原因
- 右下6番近心根パーフォーレーション
-
- 治療内容
- 外科的パーフォレーションリカバリー治療
-
- 治療費用
- ¥66,000
右下の奥から2番目の歯に穴が空いており、腫れが引かず、他院で抜歯と診断された患者様です。被せ物を外さずに、穴が空いている部分に外科的にアクセスし、その部分を修復手術を行いました。治療後も再発せず、経過良好です。
<リスク・副作用>
手術後は痛み、腫れ、痺れ、青あざなどの副作用が生じます。痛みは痛み止めを処方しますが、腫れ、青あざは1週間程度生じる場合があります。また、部位によっては神経の走行が複雑で、痺れが残り、長期的にお薬を処方する場合があります。
歯や歯髄を残す治療のメニュー
-

- 根管治療
- 歯を残すためには精密な根管治療が必要です。当院では精密な根管治療を得意としております。
-

- 根管治療のリカバリー
- 根管治療の再治療・パーフォレーションの修復をし、歯の残す事を大切にしています。
-

- マイクロエンド
- マイクロエンドとはマイクロスコープを使用した精密な根管治療です。
-

- 歯牙移植
- 親知らずを欠損部位に移植する自家歯牙移植。
-

- 断髄治療
- 断髄治療は感染した一部分の神経をカットすることで、神経を保存する方法です。
-

- MTAを使用した治療
- MTA療法は根管内の無菌化精度の向上と根管の密封により再発リスクの軽減が可能となります。
-

- 歯根端切除
- 歯根端切除は根管治療で治らない根尖病変の治療法です。
-

- 治療費
- 両国Ai歯科クリニックの保険外治療の治療費のページ。
ウェブ診療予約COUNSELING
患者様とのコミュニケーションを重視し、
エビデンスに基づいた質の高い歯科治療を
おこなうことを心掛けております。
歯が悪くならないように予防をし、
悪くなった歯は可能な限り歯を残すことを
コンセプトに
スタッフ一同で患者様に
寄り添い対応いたしますので、
お気軽にご相談ください。
ACCESS
両国駅、森下駅から徒歩7分
〒130-0026
東京都墨田区両国4-6-3
M.D.Cビル1F
| 診療時間 | 月 | 火 | 水 | 木 | 金 | 土 | 日 | 祝 |
|---|---|---|---|---|---|---|---|---|
| 09:30~13:00 | ○ | ○ | ○ | ○ | ○ | ○ | × | × |
| 14:00~18:30 | ○ | ○ | ○ | ○ | ○ | △ | × | × |
△土曜午後 14:00~17:30
休診日:日曜・祝日/p>
両国Ai歯科クリニックはJR総武線 両国駅東口徒歩7分、都営大江戸線 両国駅A5出口徒歩7分、都営新宿線 森下駅A2出口徒歩7分の場所にある歯科医院です。
土曜診療をしておりますので、お仕事や学校が忙しい患者様にも通院がしやすいので歯のことでお困りでしたらお気軽にご相談下さい。



















