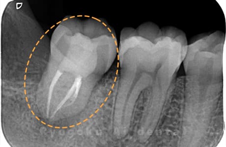
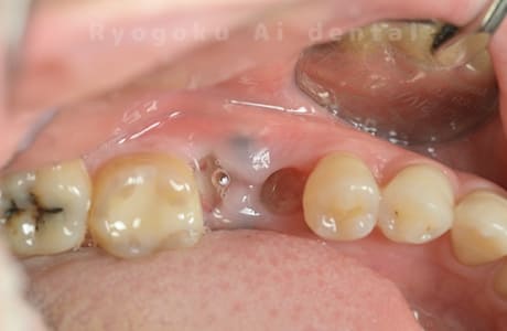
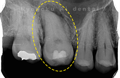
自家歯牙移植とは

抜歯と診断されたと親知らずを欠損部位に移植することで機能を取り戻す治療です。
親知らずは本来、20代にかけて最後に生えてくる歯です。最後に生えてくる歯であるため、歯磨きの習慣から歯ブラシがあまり当てられなかったり、歯ブラシが当てにくい部分に生えてくるため、非常に虫歯になりやすいです。
そのため、虫歯になる前に抜いてしまう場合がほとんどです。
本来抜いてしまう親知らずを利用して、抜歯となってしまった歯と置き換えるのが自家歯牙移植です。
自家歯牙移植の適用条件とは
-
- Apply 1
- 移植する親知らずがあること。
-
- Apply 2
- 歯根膜が歯にあること。
-
- Apply 3
- 歯根が複雑ではないこと。
-
- Apply 4
- 移植する部位と大きさが合っていること。
自家歯牙移植の
メリット・デメリット
自家歯牙移植のメリット
- 歯根膜があると自然な食感を得ることができます。
- インプラントより低価格で、身体的負担も少ない治療です。
- 自家歯牙移植後の歯は矯正治療で動かすことが可能です。
- 自分の歯であるため、アレルギー反応が出にくい。
- 健康な歯を削らずに済むため、ブリッジに比べて歯への影響が少ない。
自家歯牙移植のデメリット
- インプラントより難易度の高い治療を要求されることがあります。
- 天然歯なので歯のメンテナンスを怠ると虫歯になります。
- 移植に適した歯が必要。
- 移植する部位先に十分な骨がないと移植ができない。
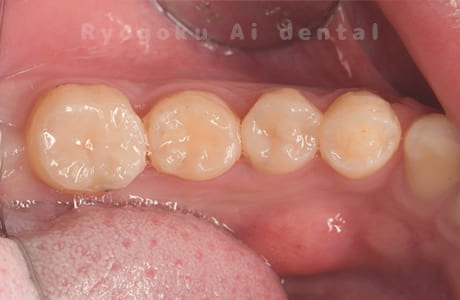
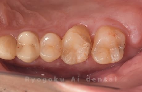
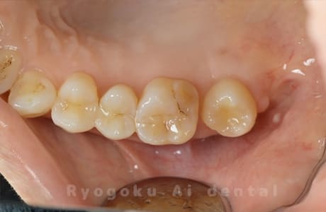
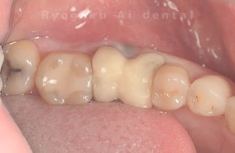
自家歯牙移植の症例
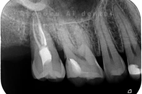
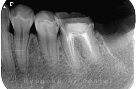
Case01
-
- 原因
- 慢性根尖性歯周炎
-
- 治療期間
- 3ヶ月
-
- 治療内容
- 自家歯牙移植手術+マイクロエンド+ダイレクトボンディング
-
- 治療費用
- ¥220,000
他院で根尖病変が大きく、抜歯と判断され、インプラント手術を提案された患者様です。親知らずが残存していたため、自家歯牙移植手術を行いました。
<リスク・副作用>
治療後、痛みや違和感、出血、腫れなどが出る事があります。喫煙者、糖尿病などの方の場合、歯が生着しない場合があります。
Case02
-
- 原因
- C4
-
- 治療期間
- 3ヶ月
-
- 治療内容
- 自家歯牙移植手術+マイクロエンド+ダイレクトボンディング
-
- 治療費用
- 220,000円
他院で虫歯が大きく、抜歯と判断され、インプラント手術を提案された患者様です。親知らずが残存していたため、自家歯牙移植手術を行いました。
<リスク・副作用>
治療後、痛みや違和感、出血、腫れなどが出る事があります。喫煙者、糖尿病などの方の場合、歯が生着しない場合があります。
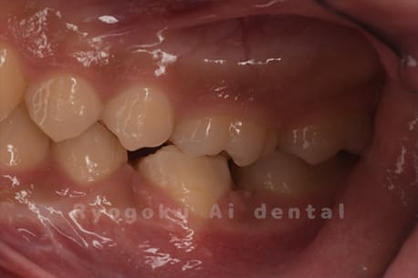
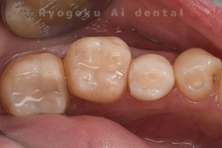
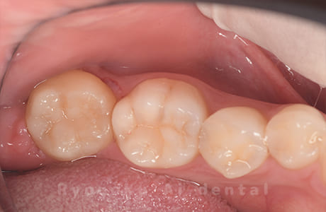
Case03
-
- 原因
- 重度カリエス、慢性根尖性歯周炎
-
- 治療内容
- 自家歯牙移植
-
- 治療費用
- 220,000円
他院で右下の根の治療を行い、セラミックを被せる説明をされていたが、根の治療が終わらないため転院された患者さんです。隣の親知らずの抜歯の必要性と、根の治療を行なっている歯牙の予後が悪いため、移植治療を提案し、右下の親知らずの抜歯と同時に、右下の奥歯(7番)への移植治療を行いました。被せ物を行う必要もなく、順調に経過してます。
<リスク・副作用>
治療後、痛みや違和感、出血、腫れなどが出る事があります。喫煙者、糖尿病などの方の場合、歯が生着しない場合があります。
Case04
-
- 原因
- 慢性根尖性歯周炎
-
- 治療内容
- 自家歯牙移植
-
- 治療費用
- 220,000円
他院で抜歯し、インプラントを進められた患者さんです。親知らずが残っていたため、移植治療がベストと判断し、治療を行いました。
<リスク・副作用>
治療後、痛みや違和感、出血、腫れなどが出る事があります。喫煙者、糖尿病などの方の場合、歯が生着しない場合があります。
Case05
-
- 原因
- 重度カリエス(C4)
-
- 治療内容
- 自家歯牙移植
-
- 治療費用
- 220,000円
他院で虫歯が大きいため、また、根っこが病気になっているため、親知らずとともに抜歯し、2本インプラントを進めらた患者様です。親知らず(8番)と共に7番目の歯を保存不可能と判断し、2本抜歯を行い、反対側の親知らずのみを1本分移植しました。当初は親知らずの部分までもインプラントを提案されていましたが、噛み合わせの関係上、特に必要ないことを納得していただき、7番目の歯のみに移植治療を行なった患者さんです。
<リスク・副作用>
治療後、痛みや違和感、出血、腫れなどが出る事があります。喫煙者、糖尿病などの方の場合、歯が生着しない場合があります。
Case06
-
- 原因
- 重度カリエス
-
- 治療内容
- 移植手術、マイクロエンド、ダイレクトボンディング
-
- 治療費用
- 220,000円
他院で親知らずと共に抜歯と診断された患者様です。親知らずの抜歯の必要性と左下奥歯の保存を試みた場合、歯の状態から根管治療、歯周外科、補綴の必要性から、移植治療を選択されました。大きな問題もなく、治療後も経過良好です。
<リスク・副作用>
治療後、痛みや違和感、出血、腫れなどが出る事があります。喫煙者、糖尿病などの方の場合、歯が生着しない場合があります。
Case07
-
- 原因
- 慢性根尖性歯周炎
-
- 治療内容
- 自家歯牙移植
-
- 治療費用
- 220,000円
抜歯と診断され、保存治療を希望された患者様です。保存不可能であったため、抜歯と診断しましたが、親知らずがあったため、抜歯と同時に自家歯牙移植を提案し、行いました。特に問題なく経過しております。
<リスク・副作用>
治療後、痛みや違和感、出血、腫れなどが出る事があります。喫煙者、糖尿病などの方の場合、歯が生着しない場合があります。
Case08
-
- 原因
- 歯の破折
-
- 治療内容
- 自家歯牙移植
-
- 治療費用
- 220,000円
左下の違和感でご来院された患者様です。歯が完全に割れており、保存不可能であったため、ご自身の親知らずの移植を行いました。大きなトラブルもなく、経過も良好な状態です。
<リスク・副作用>
治療後、痛みや違和感、出血、腫れなどが出る事があります。喫煙者、糖尿病などの方の場合、歯が生着しない場合があります。
Case09
-
- 原因
- 左下7番、重度カリエス
-
- 治療内容
- 右下8番を左下7番に自家歯牙移植
-
- 治療費用
- 220,000円(補綴費用は含まない)
左下の奥歯が痛いとのことで来院られました。保存不可能であったため、右下の親知らずを移植しました。
<リスク・副作用>
治療後、痛みや違和感、出血、腫れなどが出る事があります。喫煙者、糖尿病などの方の場合、歯が生着しない場合があります。
Case10
-
- 原因
- 右下6番 重度カリエス
-
- 治療内容
- 右下8を右下6へ移植に自家歯牙移植
-
- 治療期間
- 約1か月半
-
- 治療費用
- 220,000円
右下の銀歯が外れかかっているとのことでご来院された患者様です。虫歯が大きく、かつ歯が割れており、保存不可能と判断し、親知らずの移植を行いました。
<リスク・副作用>
治療後、痛みや違和感、出血、腫れなどが出る事があります。喫煙者、糖尿病などの方の場合、歯が生着しない場合があります。
Case11
-
- 原因
- 重度カリエス
-
- 治療内容
- 自家歯牙移植
-
- 治療期間
- 約2ヶ月
-
- 治療費用
- 220,000円
歯が欠けたとのことでご来院された患者様です。虫歯が大きく、保存不可能と判断し、親知らずの移植を行いました。経過良好で、ご本人様も満足されております。
<リスク・副作用>
治療後、痛みや違和感、出血、腫れなどが出る事があります。喫煙者、糖尿病などの方の場合、歯が生着しない場合があります。
Case12
-
- 原因
- 歯牙破折
-
- 治療内容
- 自家歯牙移植
-
- 治療費用
- 220,000円
右上の違和感が取れず、ご来院された患者様です。歯が割れており、抜歯を行い、反対側の親知らずを移植しました。
<リスク・副作用>
治療後、痛みや違和感、出血、腫れなどが出る事があります。喫煙者、糖尿病などの方の場合、歯が生着しない場合があります。
Case13

-
- 原因
- 重度カリエス
-
- 治療内容
- 自家歯牙移植
-
- 治療費用
- 220,000円
他院で治療終了を言われたが、物がよくはさまり、噛みにくいとのことでご来院された患者様です。親知らずが残っていたため、自家歯牙移植を提案し、行いました。一年以上経過した現在も経過良好です。
<リスク・副作用>
治療後、痛みや違和感、出血、腫れなどが出る事があります。喫煙者、糖尿病などの方の場合、歯が生着しない場合があります。
Case14

-
- 原因
- 右下7番慢性根尖性歯周炎、右下8番智歯周囲炎
-
- 治療内容
- 自家歯牙移植
-
- 治療費用
- 220,000円
右下の腫れが治らないとのことでご来院された患者様です。親知らずの抜歯の必要性もあったため、親知らずの移植を同時に行いました。現在も良好な状態です。
<リスク・副作用>
治療後、痛みや違和感、出血、腫れなどが出る事があります。喫煙者、糖尿病などの方の場合、歯が生着しない場合があります。
Case15
-
- 原因
- 重度カリエス
-
- 治療内容
- 自家歯牙移植
-
- 治療費用
- 220,000円
右下が痛いとのことでご来院された患者様です。埋まっている親知らずの抜歯も必要なため、虫歯の大きな奥歯を抜歯と同時に親知らずの移植を行いました。問題なく経過しております。
<リスク・副作用>
治療後、痛みや違和感、出血、腫れなどが出る事があります。喫煙者、糖尿病などの方の場合、歯が生着しない場合があります。
Case16
-
- 主訴
- 左下奥歯が割れていると言われた
-
- 原因
- 左下7番破折
-
- 治療内容
- 自家歯牙移植
-
- 治療費用
- 220,000円
他院で歯が割れていると診断を受けた患者様です。親知らずがあったため、自家歯牙移植を行いました。経過は良好です。
<リスク・副作用>
治療後、痛みや違和感、出血、腫れなどが出る事があります。喫煙者、糖尿病などの方の場合、歯が生着しない場合があります。
Case17
-
- 原因
- 重度カリエス、歯牙破折
-
- 治療内容
- 自家歯牙移植
-
- 治療費用
- 220,000円
他院で治療中で転院された患者様です。歯が割れていましたので、親知らずを使用し、移植を行いました。経過良好です。
<リスク・副作用>
治療後、痛みや違和感、出血、腫れなどが出る事があります。喫煙者、糖尿病などの方の場合、歯が生着しない場合があります。
Case18
-
- 原因
- 左上7番慢性根尖性歯周炎
-
- 治療内容
- 自家歯牙移植並びに部分矯正
-
- 治療費用
- 移植治療費 220,000円
部分矯正費 55,000円
他院で抜歯と宣告され、セカンドオピニオンでご来院された患者様です。右上の8番を右上の7番にスライド移植し、部分矯正で理想的な位置にもっていきました。患者様も満足されています。
<リスク・副作用>
治療後、痛みや違和感、出血、腫れなどが出る事があります。喫煙者、糖尿病などの方の場合、歯が生着しない場合があります。
Case19
-
- 原因
- 重度カリエス、インレー・クラウン二次カリエス
-
- 治療内容
- 47:自家歯牙移植 46:ダイレクトボンディング 45:ジルコニアクラウン
-
- 治療費用
- 約456,500円
虫歯が大きく、保存困難な右下7番を埋まっている親知らずを再利用しました。経過も良好です。
<リスク・副作用>
治療後、痛みや違和感、出血、腫れなどが出る事があります。喫煙者、糖尿病などの方の場合、歯が生着しない場合があります。
Case20
-
- 原因
- 歯牙破折
-
- 治療内容
- 自家歯牙移植
-
- 治療費用
- 220,000円
他院で治療していたが、一向によくならないとのことでご来院された患者様です。歯が割れており、保存が難しいため、残っている親知らずを移植しました。経過良好です。
<リスク・副作用>
治療後、痛みや違和感、出血、腫れなどが出る事があります。喫煙者、糖尿病などの方の場合、歯が生着しない場合があります。
Case21
-
- 原因
- 重度ペリオ
-
- 治療内容
- 自家歯牙移植
-
- 治療費用
- 220,000円
右下の白い被せ物が痛いとのことでご来院された患者様です。歯周病が進行しており、保存困難と判断し、残っている親知らずを移植しました。
<リスク・副作用>
治療後、痛みや違和感、出血、腫れなどが出る事があります。喫煙者、糖尿病などの方の場合、歯が生着しない場合があります。
Case22
-
- 原因
- 歯根破折
-
- 治療内容
- 自家歯牙移植、部分矯正
-
- 治療費用
- 移植費用220,000円
部分矯正費用55,000円
右下の歯茎の腫れが治らないとのことでご来院された患者様です。歯の根が割れており、保存不可能と判断し、親知らずの移植を行いました。上顎の親知らずを使用したため、スペースの閉鎖のため、部分矯正を併用しました。
<リスク・副作用>
治療後、痛みや違和感、出血、腫れなどが出る事があります。喫煙者、糖尿病などの方の場合、歯が生着しない場合があります。
Case23
-
- 原因
- 右下7番欠損、右下6番重度カリエス
-
- 治療内容
- 自家歯牙移植、ジルコニアクラウン修復
-
- 治療費用
- 約537,000円(移植費用、ジルコニアクラウン2歯分)
救急外来で右下の一番奥歯を抜歯し、後日当医院来院された患者様です。患者様と相談し、抜歯後日が浅いため、右上の親知らずの移植を提案し、行いました。親知らずの虫歯が大きかったため、被せ物も行いました。術後問題なく経過し、大変ご満足頂けました。
<リスク・副作用>
治療後、痛みや違和感、出血、腫れなどが出る事があります。喫煙者、糖尿病などの方の場合、歯が生着しない場合があります。ジルコニアは過度の咬合や衝撃で割れることがあります。術後は痛み、腫れ、痺れなどの副作用が生じる場合があります。
Case24
-
- 主訴
- 左下奥歯が重度の虫歯
-
- 治療内容
- 自家歯牙移植
-
- 治療費用
- 220,000円
親知らずを抜歯し、自家歯牙移植を行いました。経過は良好です。
<リスク・副作用>
治療後、痛みや違和感、出血、腫れなどが出る事があります。喫煙者、糖尿病などの方の場合、歯が生着しない場合があります。
Case25
-
- 主訴
- 奥歯が重度の虫歯
-
- 治療内容
- 自家歯牙移植
-
- 治療費用
- 220,000円
親知らずを抜歯し、自家歯牙移植を行いました。経過は良好です。
<リスク・副作用>
治療後、痛みや違和感、出血、腫れなどが出る事があります。喫煙者、糖尿病などの方の場合、歯が生着しない場合があります。
Case26
-
- 原因
- 歯牙破折
-
- 治療内容
- 自家歯牙移植
-
- 治療費用
- 220,000円
歯軋りが原因で奥歯を割ってしまった患者様です。下の親知らずを移植し、その際にサイナスリフトを行いました。問題なく経過し、患者様も大変満足されていました。
<リスク・副作用>
治療後、痛みや違和感、出血、腫れなどが出る事があります。喫煙者、糖尿病などの方の場合、歯が生着しない場合があります。
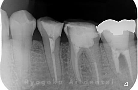
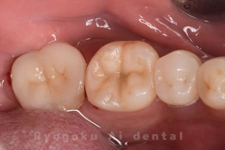
Case27
-

重度カリエス
歯牙移植咬合面術前 -

移植する親知らず
-

歯牙移植術直後咬合面
-

歯牙移植術後咬合面
-

歯牙移植術前側面
-

歯牙移植術中側面
-

歯牙移植術後側面
-

部分矯正術前咬合面
-

部分矯正術中咬合面
-

部分矯正術後咬合面
-

部分矯正術前側面
-

部分矯正術中側面
-

部分矯正術後側面
-
- 原因
- 重度カリエス
-
- 治療内容
- 自家歯牙移植、部分矯正
-
- 治療費用
- 220,000円(移植費用)
110,000円(部分矯正費用)
虫歯が大きく、保存不可能となった歯を上の親知らずと交換する自家歯牙移植を行いました。移植歯が小ぶりであったため、部分矯正を行い問題なく噛み合い、経過良好です。
<リスク・副作用>
治療後、痛みや違和感、出血、腫れなどが出る事があります。喫煙者、糖尿病などの方の場合、歯が生着しない場合があります。
Case26
-
- 主訴
- 重度カリエス
-
- 治療内容
- 自家歯牙移植
-
- 治療費用
- 220,000円
歯が折れたままのため、歯を入れて欲しいとのことでご来院された患者様です。親知らずが残っていたため、自家歯牙移植を行いました。
<リスク・副作用>
治療後、痛みや違和感、出血、腫れなどが出る事があります。喫煙者、糖尿病などの方の場合、歯が生着しない場合があります。
Case27
-
- 主訴
- 歯牙破折
-
- 治療内容
- 自家歯牙移植
-
- 治療費用
- 220,000円
歯が痛いとのことでご来院された患者様です。親知らずが残っていたため、自家歯牙移植を行いました。経過良好です。
<リスク・副作用>
治療後、痛みや違和感、出血、腫れなどが出る事があります。喫煙者、糖尿病などの方の場合、歯が生着しない場合があります。
Case28
-
- 主訴
- 重度カリエス
-
- 治療内容
- 自家歯牙移植
-
- 治療費用
- 220,000円
-
- 担当医
- Dr 炭野
左下の奥歯が痛いとのことでご来院された患者様です。親知らずが残っていたため、自家歯牙移植を行いました。経過良好で患者様も大変満足されておりました。
<リスク・副作用>
治療後、痛みや違和感、出血、腫れなどが出る事があります。喫煙者、糖尿病などの方の場合、歯が生着しない場合があります。
Case29
-
- 主訴
- クラウン重度2次カリエス
-
- 治療内容
- 自家歯牙移植
-
- 治療費用
- 220,000円
右下が痛いとのことでご来院された患者様です。被せ物の中が大きく虫歯になっており、保存不可能と判断し、残っていた親知らずの移植を行いました。
<リスク・副作用>
治療後、痛みや違和感、出血、腫れなどが出る事があります。喫煙者、糖尿病などの方の場合、歯が生着しない場合があります。
Case30
-
- 主訴
- 重度カリエス
-
- 治療内容
- 自家歯牙移植
-
- 治療費用
- 220,000円
-
- 担当医
- Dr 炭野
右下が痛いとのことでご来院された患者様です。被せ物の中が大きく虫歯になっており、保存不可能と判断し、残っていた親知らずの移植を行いました。
<リスク・副作用>
治療後、痛みや違和感、出血、腫れなどが出る事があります。喫煙者、糖尿病などの方の場合、歯が生着しない場合があります。
Case31
-
- 主訴
- 歯牙欠損
-
- 治療内容
- 自家歯牙移植
-
- 治療費用
- 220,000円
他院でインプラントを勧められたところに歯のないところに自分の親知らずを使用したいとのことでご来院された患者様です。欠損から2年が経過していることから、生着のリスクについて説明し、右上の親知らずを使用し、移植治療を行いました。現在も経過良好です。
<リスク・副作用>
左下の奥歯が痛いとのことでご来院された患者様です。埋まっている親知らずをスライド移植しました。患者様も満足されており、経過良好です。
Case32
-
- 主訴
- 歯牙欠損
-
- 治療内容
- 自家歯牙移植
-
- 治療費用
- 220,000円
他院で抜歯を行い、インプラント治療を勧められた患者様で、ご自身で調べ、親知らずの移植を希望され来院されました。右下の親知らずをそのまま移植歯で使用し、経過良好で大変ご満足して頂きました。
<リスク・副作用>
治療後、痛みや違和感、出血、腫れなどが出る事があります。喫煙者、糖尿病などの方の場合、歯が生着しない場合があります。
Case33
-
- 主訴
- 右下7番歯根破折
-
- 治療内容
- 自家歯牙移植
-
- 治療費用
- 220,000円
右下奥歯が痛いとのことでご来院された患者様です。歯根破折を認め、抜歯となりましたが、親知らずの移植を同時に行いました。経過良好です。
<リスク・副作用>
治療後、痛みや違和感、出血、腫れなどが出る事があります。喫煙者、糖尿病などの方の場合、歯が生着しない場合があります。
Case34
-
- 原因
- 左下の奥歯の歯根破折
-
- 治療内容
- 自家歯牙移植
-
- 治療費用
- 220,000円
左下奥歯が痛いとのことでご来院された患者様です。歯根破折を認め、抜歯となりましたが、親知らずの移植を同時に行いました。経過良好です。
<リスク・副作用>
治療後、痛みや違和感、出血、腫れなどが出る事があります。喫煙者、糖尿病などの方の場合、歯が生着しない場合があります。
Case35
-
- 主訴
- 左上歯牙欠損
-
- 治療内容
- 自家歯牙移植
-
- 治療費用
- 220,000円
他院で歯を抜歯したが、インプラントを勧められ、親知らずの移植を希望されご来院された患者様です。左下の親知らずの移植を行い、経過良好です。
<リスク・副作用>
治療後、痛みや違和感、出血、腫れなどが出る事があります。喫煙者、糖尿病などの方の場合、歯が生着しない場合があります。
Case36
-
- 主訴
- 左上6番歯牙破折
-
- 治療内容
- 自家歯牙移植
-
- 治療費用
- 220,000円
右上の奥歯が他院で抜歯と言われ、インプラントを勧めらた患者様です。親知らずが残っていたので、自家歯牙移植を行いました。大変満足していただけました。
<リスク・副作用>
治療後、痛みや違和感、出血、腫れなどが出る事があります。喫煙者、糖尿病などの方の場合、歯が生着しない場合があります。
Case36
-
- 主訴
- 重度カリエス
-
- 治療内容
- 自家歯牙移植
-
- 治療費用
- 220,000円
-
- 担当医
- Dr.炭野
奥歯の被せ物が外れ、痛みがあるとのことでご来院された患者様です。虫歯が大きく、保存できないと判断し、自家歯牙移植を提案させていただき、行いました。大変満足していただきました。今後は部分矯正にて隣の歯との隙間を埋めていく予定です。
<リスク・副作用>
治療後、痛みや違和感、出血、腫れなどが出る事があります。喫煙者、糖尿病などの方の場合、歯が生着しない場合があります。
Case37
-
- 原因
- 右下7番重度カリエス
-
- 治療内容
- 自家歯牙移植
-
- 治療費用
- 220,000円
右下奥歯の被せ物が取れたとのことで、親知らずの移植を行いました。経過良好です。
<リスク・副作用>
治療後、痛みや違和感、出血、腫れなどが出る事があります。喫煙者、糖尿病などの方の場合、歯が生着しない場合があります。
歯牙移植の費用
※費用は税込価格です。
| 種類 | 税込価格 |
|---|---|
| 自家歯牙移植手術 | ¥110,000 |
| 自家歯牙移植手術のマイクロエンド | ¥66,000 |
| 自家歯牙移植手術ダイレクトボンディング | ¥44,000 |
歯や歯髄を残す治療のメニュー
-

- 根管治療
- 歯を残すためには精密な根管治療が必要です。当院では精密な根管治療を得意としております。
-

- 根管治療のリカバリー
- 根管治療の再治療・パーフォレーションの修復をし、歯の残す事を大切にしています。
-

- マイクロエンド
- マイクロエンドとはマイクロスコープを使用した精密な根管治療です。
-

- 歯牙移植
- 親知らずを欠損部位に移植する自家歯牙移植。
-

- 断髄治療
- 断髄治療は感染した一部分の神経をカットすることで、神経を保存する方法です。
-

- MTAを使用した治療
- MTA療法は根管内の無菌化精度の向上と根管の密封により再発リスクの軽減が可能となります。
-

- 歯根端切除
- 歯根端切除は根管治療で治らない根尖病変の治療法です。
-

- 治療費
- 両国Ai歯科クリニックの保険外治療の治療費のページ。
ウェブ診療予約COUNSELING
患者様とのコミュニケーションを重視し、
エビデンスに基づいた質の高い歯科治療を
おこなうことを心掛けております。
歯が悪くならないように予防をし、
悪くなった歯は可能な限り歯を残すことを
コンセプトに
スタッフ一同で患者様に
寄り添い対応いたしますので、
お気軽にご相談ください。
ACCESS
両国駅、森下駅から徒歩7分
〒130-0026
東京都墨田区両国4-6-3
M.D.Cビル1F
| 診療時間 | 月 | 火 | 水 | 木 | 金 | 土 | 日 | 祝 |
|---|---|---|---|---|---|---|---|---|
| 09:30~13:00 | ○ | ○ | ○ | ○ | ○ | ○ | × | × |
| 14:00~18:30 | ○ | ○ | ○ | ○ | ○ | △ | × | × |
△土曜午後 14:00~17:30
休診日:日曜・祝日
両国Ai歯科クリニックはJR総武線 両国駅東口徒歩7分、都営大江戸線 両国駅A5出口徒歩7分、都営新宿線 森下駅A2出口徒歩7分の場所にある歯科医院です。
土曜診療をしておりますので、お仕事や学校が忙しい患者様にも通院がしやすいので歯のことでお困りでしたらお気軽にご相談下さい。







































































































































































































