オーダーメイドの入れ歯

誰でも入れ歯にはなりたくないものです。
しかし、入れ歯を使わないと機能回復できないケースもあります。
入れ歯は痛くて噛めないとか、入れ歯は硬いものは噛めないとか、あまり入れ歯の評判は世間的に良くはありません。
しかし、お口全体の咬み合わせを合わせて治療計画をしっかり立てて、適応症にあった入れ歯を選択して作ると、入れ歯でもかなりしっかり噛めるようになります。
入れ歯でこんなお悩みの方はご相談下さい
下記のような入れ歯のお悩みはご相談下さい。
Worries1
入れ歯が安定しない。
Worries2
しっかり噛むことができない。
Worries3
会話をしているときに外れることがある。
Worries4
歯ぐきにあたって痛みを感じる。
Worries5
食事の際に食べ物が詰まりやすい。
Worries6
入れ歯のにおいが気になる。
Worries7
インプラント治療ができないと言われた。
保険と自費の入れ歯はなにが違うの?

保険の入れ歯は保険適応内で決められた範囲内の素材や製作工程で入れ歯を作っていきます。保険適応するので費用的には非常に安く済ませることができるというメリットがあります。
対して、自費の入れ歯はよりお口にフィットする入れ歯を制作するために、保険適応外の高価な素材を使用したり、製作工程も保険の入れ歯より複雑な工程で入れ歯を作っていきます。
より安い費用での入れ歯制作を求めるなら保険の入れ歯を作ることをおススメします。
しかし、入れ歯をした時の不快な装着感を改善したりより良いフィット感を求めるなら断然、より精密に製作された自費の入れ歯をおススメします。
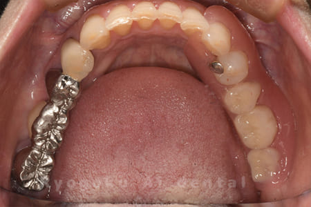
入れ歯の抜歯の症例
Case01
-
- 原因
- 右下5・6番歯根破折
-
- 治療内容
- ノンクラスプデンチャー
-
- 治療費用
- 約330,000円
右下の歯が割れているとのことでご来院された患者様です。全身疾患も考慮し、目立たない入れ歯を相談して決定し、大変満足いただけました。
<リスク・副作用>
清掃を怠ると歯周病が起こることがあります。年月の経過により骨が吸収する場合もあります。
自由診療の入れ歯の費用
※費用は税込価格です。
| 種類 | 税込価格 |
|---|---|
| 金属床(片顎) (コバルトクロム) |
¥550,000~ |
| 金属床(片顎) (白金加金) |
¥550,000~ |
| 金属床(片顎) (チタン) |
¥550,000~ |
| ノンクラスプデンチャー (1歯ごと) |
¥66,000 |
ウェブ診療予約COUNSELING
患者様とのコミュニケーションを重視し、
エビデンスに基づいた質の高い歯科治療を
おこなうことを心掛けております。
歯が悪くならないように予防をし、
悪くなった歯は可能な限り歯を残すことを
コンセプトに
スタッフ一同で患者様に
寄り添い対応いたしますので、
お気軽にご相談ください。
ACCESS
両国駅、森下駅から徒歩7分
〒130-0026
東京都墨田区両国4-6-3
M.D.Cビル1F
| 診療時間 | 月 | 火 | 水 | 木 | 金 | 土 | 日 | 祝 |
|---|---|---|---|---|---|---|---|---|
| 09:30~13:00 | ○ | ○ | ○ | ○ | ○ | ○ | × | × |
| 14:00~18:30 | ○ | ○ | ○ | ○ | ○ | △ | × | × |
△土曜午後 14:00~17:30
休診日:日曜・祝日
両国Ai歯科クリニックはJR総武線 両国駅東口徒歩7分、都営大江戸線 両国駅A5出口徒歩7分、都営新宿線 森下駅A2出口徒歩7分の場所にある歯科医院です。
土曜診療をしておりますので、お仕事や学校が忙しい患者様にも通院がしやすいので歯のことでお困りでしたらお気軽にご相談下さい。




