子供の将来の笑顔を作る
小児矯正

子どもたちの歯並びは、これからの健康な生活の土台となります。
当院では、小児矯正を通じて健康で美しい笑顔を育み、未来の自信を支えるお手伝いをしています。
お子様の歯並びが気になる方は、ぜひお気軽にご相談ください。大切な笑顔の未来、私たちと一緒に守りましょう。
当院の小児矯正歯科治療
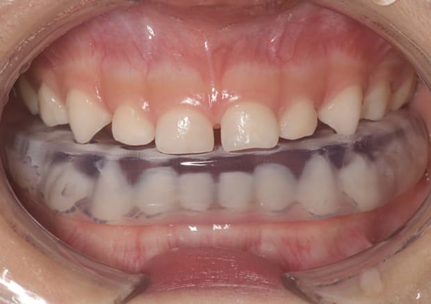
マウスピース型矯正装置の
プレオルソ
子さまの歯並びを、
痛みなく整える第一歩

プレオルソは、取り外し可能なマウスピース型の矯正装置で、歯並びや噛み合わせを改善し、顎の成長をサポートします。
痛みが少なく取り外しが可能な矯正装置で、口呼吸や指しゃぶりなどの習慣改善にも効果的です。
成長期の子どもたちに最適で、顎の拡大や歯の適切な位置を確保します。柔軟な装置設計により、治療中の負担を軽減し、自然な成長をサポートします。
子どもの成長を活かした床矯正
将来の美しい歯並びを、
成長を活かしてサポート

床矯正は、成長期の子どもの顎を広げて、顎の成長をコントロールしながら歯並びを整える治療法です。
取り外し可能な装置で、衛生的かつ痛みの少ない方法で、自然な成長を促します。
軽度から中程度の症例に効果的です。ただし、床矯正は軽度から中程度の症例に適しており、重度の歯列不正や骨格の問題には他の治療法との併用が必要な場合がありますので、ご相談ください。
3~6歳のお子様適用のVキッズ
お子さまの歯と成長を守る、
Vキッズ小児矯正

「Vキッズ」は、3歳から使用可能な取り外し可能な小児口腔機能育成装置です。
この装置は、歯並びを整えるだけでなく、口腔の成長を促進し、健康的な身体の発育を支援します。就寝中に装着することでストレスなく続けられ、歯磨きもしやすく、口腔内を清潔に保つことができます
小児矯正のよくある質問
お母さん、お父さんからよく聞かれる小児矯正にまつわる質問集です。
-
- 小児矯正はいつ始めるべきですか?
- 小児矯正の始める時期は乳歯列が揃った時期から行うことができますが、お子様の成長によってバラバラです。担当医と相談の上でスタート時期を決定いたします。
-
- 小児矯正の治療期間はどのくらいですか?
- 治療期間は治療内容によって異なりますので、担当医とご相談ください。
-
- 小児矯正の治療は痛みがありますか?
- 痛みに関しては、装置によって異なります。Vキッズやプレオルソに関しては全く痛みはありませんが、床矯正の場合、ネジを回した際に多少の違和感を感じます。
-
- 小児矯正をするメリットは何ですか?
- 歯並びや噛み合わせを改善し、将来的な大掛かりな矯正治療のリスクを減らします。また、発音の向上や自信を育む効果もあります。
-
- プレオルソやVキッズの違いは何ですか?
- プレオルソとVキッズの違いは年齢です。乳歯列から前歯部の生え変わりまでの期間はVキッズの使用が可能ですが、それ以降はプレオルソとなります。詳しくは担当医までお聞きください。
-
- 矯正治療中に注意すべきことは何ですか?
- 装置の使用時間を守り、定期的な歯磨きで口内を清潔に保つことが重要です。また、定期検診を欠かさず受けてください。
小児矯正の利点
歯並びの改善
美しい歯並びで、噛み合わせや虫歯・歯周病予防に効果的。
成長をサポート
顎の骨や顔面の構造を正しく導くことで、成長期の発育をサポートします。
発音や自信の向上
正しい歯並びは、発音や言葉の形成に影響を与えるため、話しやすくなります。また、見た目の改善により、子どもが笑顔に自信を持つことができ、人間関係や学校生活にもポジティブな影響を与えます。
将来の負担軽減
歯並びが整うことで、将来的な矯正治療の必要性を減らし、早めの治療が時間と費用の節約につながります。
小児矯正の費用
※費用は税込価格です。
| 種類 | 税込価格 |
|---|---|
| 矯正相談 | 無料 |
| 調整料(子供) | ¥0 |
| 床矯正 | ¥330,000 |
| プレオルソ | ¥110,000 |
| Vキッズ | ¥110,000 |
ウェブ診療予約COUNSELING
患者様とのコミュニケーションを重視し、
エビデンスに基づいた質の高い歯科治療を
おこなうことを心掛けております。
歯が悪くならないように予防をし、
悪くなった歯は可能な限り歯を残すことを
コンセプトに
スタッフ一同で患者様に
寄り添い対応いたしますので、
お気軽にご相談ください。
ACCESS
両国駅、森下駅から徒歩7分
〒130-0026
東京都墨田区両国4-6-3
M.D.Cビル1F
| 診療時間 | 月 | 火 | 水 | 木 | 金 | 土 | 日 | 祝 |
|---|---|---|---|---|---|---|---|---|
| 09:30~13:00 | ○ | ○ | ○ | ○ | ○ | ○ | × | × |
| 14:00~18:30 | ○ | ○ | ○ | ○ | ○ | △ | × | × |
△土曜午後 14:00~17:30
休診日:日曜・祝日
両国Ai歯科クリニックはJR総武線 両国駅東口徒歩7分、都営大江戸線 両国駅A5出口徒歩7分、都営新宿線 森下駅A2出口徒歩7分の場所にある歯科医院です。
土曜診療をしておりますので、お仕事や学校が忙しい患者様にも通院がしやすいので歯のことでお困りでしたらお気軽にご相談下さい。




