インプラント治療

失った歯を取り戻すことができるインプラント治療
インプラント治療とは、これまで入れ歯やブリッジでしか対応のできなかった歯を失った部分に、天然歯の根の部分の代わりをする人工歯根を入れて、再び噛む機能を回復させる治療のことです。
入れ歯では噛むことが難しかったものも噛めるようになり、取り外す必要もなくなります。
また、人前でも口元を気にせず、食事やおしゃべりが楽しくできるようになります。
インプラント治療は、お口の中の機能回復と、自然な審美性を追求した治療法です。
インプラント治療で
得られる利点
-
- Merit 1
-
咀嚼機能(噛む機能)の回復
インプラントは入れ歯と違い、しっかり骨と結合するため、噛む機能が回復し、通常の食生活を堪能できます。
-
- Merit 2
-
笑顔の回復
入れ歯のようにズレたり動くことはありませんので、大きく口をあけて笑うことができるようになります。
-
- Merit 3
-
審美性(見た目)の回復
インプラント治療はもとの歯と同様な色、大きさで形成されますから、見た目に全く分かりません。
-
- Merit 4
-
発音・発生機能の回復
無歯による空気の抜けもなく、入れ歯がズレる心配がありませんから、しっかり発音することが可能になります。
-
- Merit 5
-
周囲の歯を傷めません
インプラントは、ブリッジや入れ歯のように周りの歯を削ったり、きれいな歯を傷つけることはありません。また、無歯による周りの歯の骨吸収を防ぐことができます。
他の治療との比較
歯を失った場合に機能や見た目を回復する為の方法としてブリッジ、入れ歯、インプラントの3つの治療の選択肢があります。
これらの治療法には利点もあれば欠点もあります。ここではこれら3つの治療法について比較紹介します。
| インプラント | ブリッジ | 入れ歯 | |
|---|---|---|---|
![]() |
![]() |
![]() |
|
| 利点 |
|
|
|
| 欠点 |
|
|
|
インプラント治療の
流れ
-
STEP 1
- 触診
- 問題となっている歯牙を精密にチェックします。
-
-
-
STEP 2
- レントゲン検査
- レントゲン写真にて、問題となっている歯牙の状態を確認します。
根の治療にて治る見込みがない場合や歯が割れている場合は抜歯となります。 -
-
-
STEP 3
- CT撮影と診断
- インプラントの手術に向けてCTを撮影します。
-
-
-
STEP 4
- インプラント治療開始
- 骨の状態や歯の割れている状態によって、先に歯を抜いてからインプラント治療を行う場合と、抜歯と同時にインプラント治療を行う場合の2種類あります。
-
STEP 5
- (必要に応じてのみ)骨造成・移植
- インプラントを入れた際に必要に応じて骨を作る手術も行います。さらに必要に応じて歯茎の移植も行います。
-
STEP 6
- 型取り
- インプラントが問題なく骨と付いているのを確認できたら型取りを行います。
-
-
-
STEP 7
- インプラント治療終了
- 最終的な被せ物をセットして終わりとなります。その後はインプラントが長持ちするようにメンテナンスを定期的におこないます。
-
-
インプラント治療の
症例
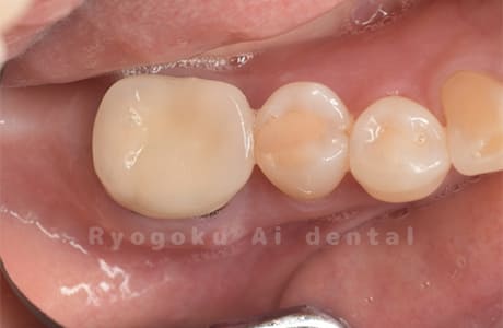
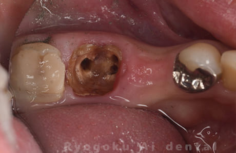
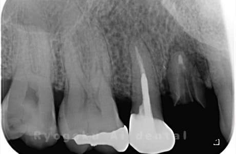
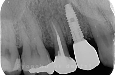
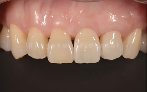
Case01
-
- 原因
- 左上2番、歯の破折
-
- 治療内容
- 左上2番インプラント治療
-
- 治療期間
- 約12ヶ月
-
- 治療費用
- 約77万円(左上2番のみの治療費用)
写真向かって右の前歯2本をやり変えてます。左上2番は根の病気の範囲が大きく、また、歯も割れていたため、抜歯を行い、インプラント治療を行いました。また、左上1番は根の治療を行い、被せ物を行ないました。
<リスク・副作用>
術後は顔面の腫脹に加え、青あざができる場合があります。過度な衝撃や咬合を加えると補綴物の破折、脱落の可能性があります。
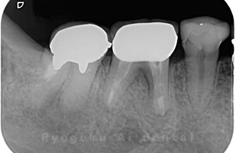
Case02
-
- 原因
- 歯根破折
-
- 治療内容
- インプラント治療
-
- 治療費用
- 約550,000円
歯根破折を起こしている歯に抜歯と同時に骨造成を行い、インプラント治療を行いました。患者様も満足していただけました。
<リスク・副作用>
治療後、痛みや違和感、出血、腫れなどが出る事があります。喫煙者、糖尿病などの方の場合、歯が生着しない場合があります。
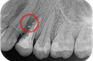
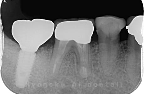
Case03
-

術前
-

術前
-
- 原因
- 歯根破折
-
- 治療内容
- インプラント治療
-
- 治療費用
- 1,200,000円
左下の歯が腫れているとのことでご来院された患者様です。歯が割れていたため、抜歯となり、2本分歯がなくなったため、インプラントを2本入れました。手術時の痛みもなく、大きなトラブルもなく、非常に満足されています。
<リスク・副作用>
治療後、痛みや違和感、出血、腫れなどが出る事があります。喫煙者、糖尿病などの方の場合、歯が生着しない場合があります。
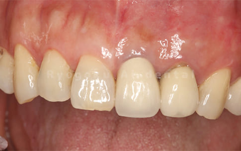
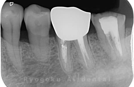
Case04
-

術前
-

術中
-

術後
-

左上犬歯パーフォレーション
-

切開
-

インプラント埋入直後
-

インプラント術後
-

前歯部補綴不適
-

前歯部補綴除去後
-

クラウンレングスニング後
-

術後
-
- 原因
- 左上犬歯パーフォレーション、前歯部補綴不適
-
- 治療内容
- インプラント治療、クラウンレングスニング
-
- 治療費用
- 約1,200,000円
左上の犬歯が治療途中のままで治したいとのことでご来院された患者様です。歯の中に大きな穴が空いており、保存不可能で合ったため、インプラント治療と同時に前歯の被せ物のやり変えをおこなった患者様です。経過良好です。
<リスク・副作用>
手術後は痛み、腫れ、痺れ、青あざなどの副作用が生じます。痛みは痛み止めを処方しますが、腫れ、青あざは1週間程度生じる場合があります。また、部位によっては神経の走行が複雑で、痺れが残り、長期的にお薬を処方する場合があります。
Case05
-

前歯部重度カリエス
-

術中
-

術後
-

前歯部重度カリエス
-

抜去
-

骨造成
-

インプラント術後
-
- 原因
- 前歯部重度カリエス
-
- 治療内容
- インプラント治療並びにセラミック補綴治療
-
- 治療期間
- 約1年
-
- 治療費用
- 約800,000円
前歯の歯が取れたとのことでご来院された患者様です。前歯が完全に折れており、インプラント治療を提案させていただき、治療させて頂きました。大きな問題もなく、大変満足していただけました。
<リスク・副作用>
手術後は痛み、腫れ、痺れ、青あざなどの副作用が生じます。痛みは痛み止めを処方しますが、腫れ、青あざは1週間程度生じる場合があります。また、部位によっては神経の走行が複雑で、痺れが残り、長期的にお薬を処方する場合があります。
Case06
-

前歯部重度カリエス
-

抜去
-

骨造成
-

インプラント術後
-
- 原因
- 歯牙破折
-
- 治療内容
- インプラント治療
-
- 治療費用
- 約960,000円
被せていたブリッジの部分が腫れて痛いとのことでご来院された患者様です。ブリッジを支えていた支台歯が折れており、抜歯となったため、インプラント治療に移行させて頂きました。
<リスク・副作用>
手術後は痛み、腫れ、痺れ、青あざなどの副作用が生じます。痛みは痛み止めを処方しますが、腫れ、青あざは1週間程度生じる場合があります。また、部位によっては神経の走行が複雑で、痺れが残り、長期的にお薬を処方する場合があります。
Case07
-
- 原因
- 右下6番歯根破折
-
- 治療内容
- インプラント治療
-
- 治療費用
- 約600,000円
右下の腫れが治らないとの事でご来院された患者様です。歯が割れていたため、抜歯を行い、骨に代わるお薬を入れ、インプラントを埋入致しました。経過良好で大変満足していただけました。
<リスク・副作用>
治療後、痛みや違和感、出血、腫れなどが出る事があります。喫煙者、糖尿病などの方の場合、歯が生着しない場合があります。
Case08
-
- 原因
- 左下7番歯根破折
-
- 治療内容
- インプラント治療
-
- 治療費用
- 約600,000円
左下の腫れが治らないとの事でご来院された患者様です。歯が割れていたため、抜歯を行い、骨に代わるお薬を入れ、インプラントを埋入致しました。経過良好で大変満足していただけました。
<リスク・副作用>
治療後、痛みや違和感、出血、腫れなどが出る事があります。喫煙者、糖尿病などの方の場合、歯が生着しない場合があります。
Case09
-
- 原因
- 左下5、6、7欠損
-
- 治療内容
- インプラント治療
-
- 治療費用
- 約700,000円
欠損部に歯が欲しいとのことでご来院された患者様です。インプラント治療を行い、現在も経過良好です。
<リスク・副作用>
治療後、痛みや違和感、出血、腫れなどが出る事があります。喫煙者、糖尿病などの方の場合、歯が生着しない場合があります。
Case10
-

術前
-

術後
-
- 原因
- 左下6番欠損
-
- 治療内容
- インプラント治療
-
- 治療費用
- 約600,000円
左下の奥歯に歯を入れて欲しいとのことでご来院された患者様です。インプラント治療が最適とご提案させて頂き、治療を行いました。経過も良好で、大変満足して頂けました。
<リスク・副作用>
治療後、痛みや違和感、出血、腫れなどが出る事があります。喫煙者、糖尿病などの方の場合、歯が生着しない場合があります。
Case11
-
- 原因
- 右上4番歯牙破折
-
- 治療内容
- インプラント治療
-
- 治療費用
- 約600,000円
左下の奥歯に歯を入れて欲しいとのことでご来院された患者様です。インプラント治療が最適とご提案させて頂き、治療を行いました。経過も良好で、大変満足して頂けました。
<リスク・副作用>
治療後、痛みや違和感、出血、腫れなどが出る事があります。喫煙者、糖尿病などの方の場合、歯が生着しない場合があります。
Case12
-
- 原因
- 右上5番歯根破折
-
- 治療内容
- インプラント治療
-
- 治療費用
- 約600,000円
左上に違和感があるとのことでご来院された患者様です。歯が割れているため、抜歯と診断し、即時でインプラント埋入を行いました。大変ご満足して頂けました。
<リスク・副作用>
治療後、痛みや違和感、出血、腫れなどが出る事があります。喫煙者、糖尿病などの方の場合、歯が生着しない場合があります。
Case12
-
- 原因
- 左下7番歯牙破折
-
- 治療内容
- インプラント治療
-
- 治療費用
- 約600,000円
左下の奥歯が痛いとのことでご来院された患者様です。歯が完全に割れており、保存が不可能であったため、抜歯を行い、その際に骨に変わるお薬を入れ、十分な治癒を待ってからインプラント治療を行いました。経過良好で、大変満足されました。
<リスク・副作用>
治療後、痛みや違和感、出血、腫れなどが出る事があります。喫煙者、糖尿病などの方の場合、歯が生着しない場合があります。
Case13
-
- 原因
- 歯根破折
-
- 治療内容
- インプラント治療
-
- 治療費用
- 約600,000円
奥歯が痛いとのことでご来院された患者様です。ブリッジ治療と共に相談し、インプラントをご選択されました。大変満足して頂けました。
<リスク・副作用>
治療後、痛みや違和感、出血、腫れなどが出る事があります。喫煙者、糖尿病などの方の場合、歯が生着しない場合があります。
Case14
-
- 原因
- 歯の欠損
-
- 治療内容
- インプラント治療
-
- 治療費用
- 約540,000円
奥歯が痛いとのことでご来院された患者様です。ブリッジ治療と共に相談し、インプラントをご選択されました。大変満足して頂けました。
<リスク・副作用>
治療後、痛みや違和感、出血、腫れなどが出る事があります。喫煙者、糖尿病などの方の場合、歯が生着しない場合があります。
インプラント治療の費用
※費用は税込価格です。
| 種類 | 税込価格 |
|---|---|
| インプラント 埋入オペ | ¥220,000~ |
| インプラント 上部構造 | ¥220,000~ |
| CTレントゲン撮影 | ¥25,000 |
| インプラントTEC (臼歯) |
¥22,000 |
| インプラントTEC (前歯) |
¥33,000 |
| GBR (インプラント1本あたり) |
¥110,000~ |
| インプラント光機能化 (インプラント1本あたり) |
¥110,000 |
治療上の注意点とリスク・副作用
- 術後は顔面の腫脹に加え、青あざができる場合があります。
- 骨の中には複雑に神経が走行しています。神経の走行においては一時的な麻痺が起こる場合があります。基本的には一過性の場合がほとんどで、日常生活には差し支えない程度に回復していきます。
- 当院では手術の結果が確実に得られる術式をとっています。そのため、やむを得ず手術の範囲、切開量が大きくなる場合があります。
- タバコを吸う人は吸わない人と約4倍の失敗リスクがあります。禁煙が難しい方は、最低手術前後の3週間は禁煙して頂きます。
- 医療においてはさまざまな状況や予期せぬこともあります。しかし、安心して治療を受けて頂けるよう精神誠意で治療を行い、何かありましたらその都度、対応を行なっていきます。不安なことがあれば、ぜひスタッフにお聴きください。
ウェブ診療予約COUNSELING
患者様とのコミュニケーションを重視し、
エビデンスに基づいた質の高い歯科治療を
おこなうことを心掛けております。
歯が悪くならないように予防をし、
悪くなった歯は可能な限り歯を残すことを
コンセプトに
スタッフ一同で患者様に
寄り添い対応いたしますので、
お気軽にご相談ください。
ACCESS
両国駅、森下駅から徒歩7分
〒130-0026
東京都墨田区両国4-6-3
M.D.Cビル1F
| 診療時間 | 月 | 火 | 水 | 木 | 金 | 土 | 日 | 祝 |
|---|---|---|---|---|---|---|---|---|
| 09:30~13:00 | ○ | ○ | ○ | ○ | ○ | ○ | × | × |
| 14:00~18:30 | ○ | ○ | ○ | ○ | ○ | △ | × | × |
△土曜午後 14:00~17:30
休診日:日曜・祝日
両国Ai歯科クリニックはJR総武線 両国駅東口徒歩7分、都営大江戸線 両国駅A5出口徒歩7分、都営新宿線 森下駅A2出口徒歩7分の場所にある歯科医院です。
土曜診療をしておりますので、お仕事や学校が忙しい患者様にも通院がしやすいので歯のことでお困りでしたらお気軽にご相談下さい。


















































































