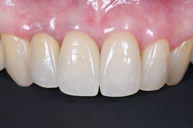
笑顔を取り戻す
前歯のセラミック治療

前歯は、お顔全体の印象を大きく左右する大切な部分です。
「歯の黄ばみが気になる」
「欠けた前歯が目立つ」
「すきっ歯を治したい」
「銀歯が気になる」など、
前歯のお悩みは尽きないものです。
当院では、そんな前歯のお悩みを、天然歯と見分けがつかないほど自然で美しいセラミック治療で解決いたします。あなたの理想の笑顔を一緒に実現しませんか?
当院の前歯のセラミック治療のこだわり
当院では、そんな前歯のお悩みを、天然歯と見分けがつかないほど自然で美しいセラミック治療で解決いたします。
あなたの理想の笑顔を一緒に実現しませんか?
-
- Commitment 1
- 精密な診断と治療計画
-
- Commitment 2
- 高品質なセラミック素材の使用
-
- Commitment 3
- 熟練した歯科技工士との連携
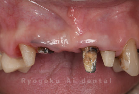
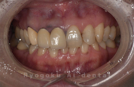
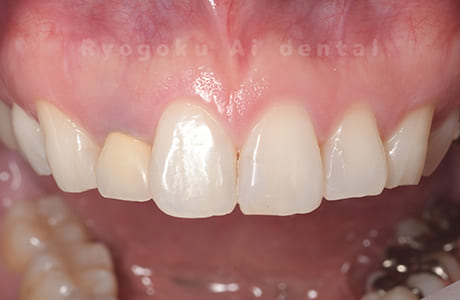
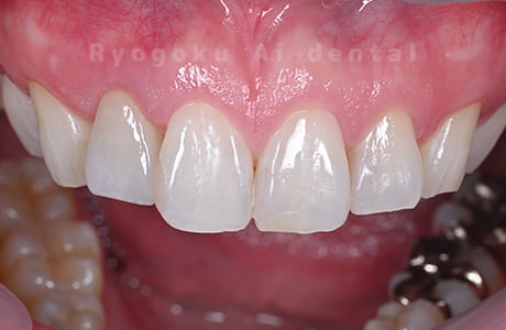
前歯のセラミック補綴治療の症例
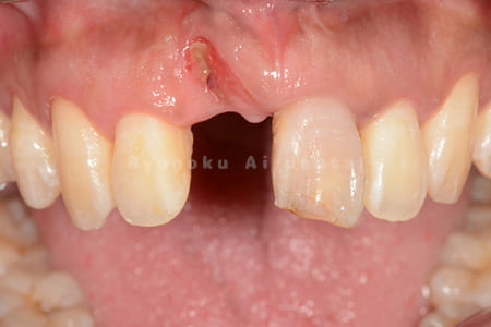
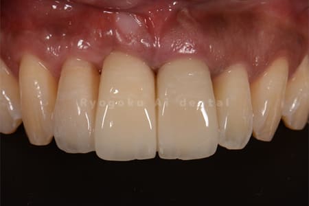
Case01
-
- 原因
- 前歯部前装冠不適合、重度2次カリエス
-
- 治療内容
- ジルコニアセラミック修復、MTM(部分矯正)、クラウンレングスニング
-
- 治療費用
- 約700,000円
-
- 担当医
- Dr.炭野
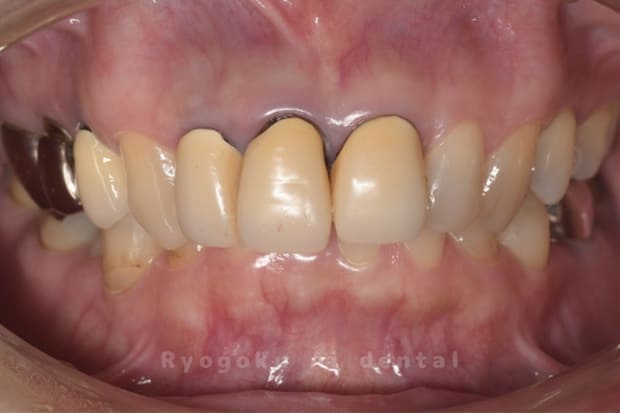
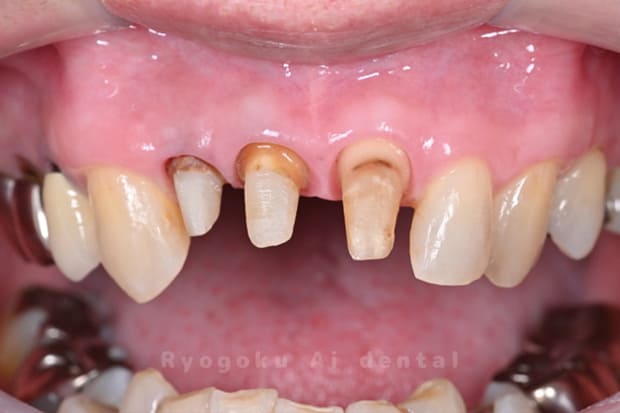
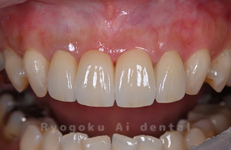
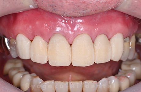
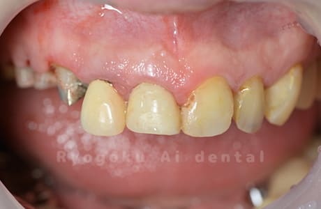
前歯の被せ物をやり変えたいとのことでご来院された患者様です。被せ物を外すと、虫歯が大きかったため、矯正で歯を引っ張り上げ、手術を行い、セラミックの被せ桃を行いました。大変満足して頂きました。
<リスク・副作用>
強い衝撃などにより欠けたりすることがある。
経年的に劣化(変色)してくる可能性がある。
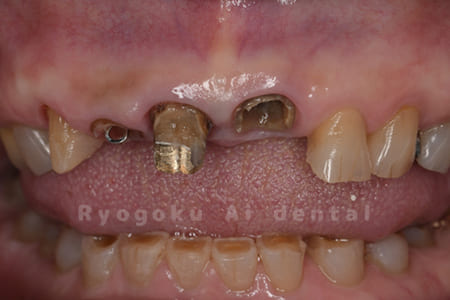
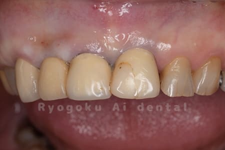
Case02
-
- 原因
- 右上1番歯牙破折
-
- 治療内容
- ソケットプリザベーション、ジルコニアセラミックブリッジ
-
- 治療費用
- 約854,000円
前歯がぐらぐらするとのことでご来院された患者様です。年齢とお体の事情、口腔内との兼ね合いからインプラント治療は選択せず、ジルコニアセラミックブリッジでの治療を行いました。大変満足されております。
<リスク・副作用>
強い衝撃などにより欠けたりすることがある。
経年的に劣化(変色)してくる可能性がある。
Case03
-
- 原因
- 前歯部補綴不適合
-
- 治療内容
- リッジオーギュメンテーション、ジルコニアセラミックブリッジ修復
-
- 治療費用
- 約700,000円
他院で治療途中であったが、治療に不安があり、当医院での転院となった患者様です。仮歯の状態を外すと、抜歯した部位の歯肉のボリュームが足りないため、ボリュームを回復させる手術を行い、ジルコニアブリッジで修復しました。
<リスク・副作用>
過度の咬合や衝撃で割れることがあります。
Case04
-
- 原因
- 右上1番、不良補綴
-
- 治療期間
- 3ヶ月
-
- 治療内容
- 前歯部ジルコニアセラミッククラウン
-
- 治療費用
- 350,000円
前歯2本の被せ物を希望された患者様です。
<リスク・副作用>
過度の咬合や衝撃で割れることがあります。
Case05
-
- 原因
- 前歯部の自然脱落、慢性根尖性歯周炎
-
- 治療期間
- 10ヶ月
-
- 治療内容
- 結合組織移植術、感染根管処置、ジルコニアセラミックブリッジ
-
- 治療費用
- 約550,000円
前歯が自然と取れた方をジルコニアセラミックブリッジで修復したケースです。
<リスク・副作用>
術後腫脹、疼痛。顔面に青あざができる場合があります。
Case06
-
- 原因
- 前歯部補綴不適合
-
- 治療内容
- ジルコニアセラミッククラウンでの再補綴治療
-
- 治療費用
- 374,000円
前歯の形、色が気になるとのことでご来院された患者様です。前歯を白く仕上げてほしいとのことで、周りの歯よりも若干白く仕上げることとなりました。
<リスク・副作用>
過度の咬合や衝撃で割れることがあります。
Case07
-
- 原因
- 前歯部不良補綴
-
- 治療内容
- ジルコニアセラミッククラウン、ダイレクトボンディングでの再補綴治療
-
- 治療費用
- 572,000円
前歯をきれいにしたいとのこでご来院された患者様です。前歯の6本分を治療しました。患者様の満足度も高く、高評価をいただきました。
<リスク・副作用>
過度の咬合や衝撃で割れることがあります。
Case08
-
- 原因
- 重度カリエス
-
- 治療日数
- 約半年
-
- 治療内容
- クラウンレングスニング、根管治療、ジルコニアクラウン
-
- 治療費用
- 約1,200,000円
前歯が動くとのことでご来院された患者様です。虫歯が大きく保存困難な状態でしたが、ご本人様と十分話し合い、抜歯を行わず、手術をすることで歯を抜かず保存しました。
<リスク・副作用>
過度の咬合や衝撃で割れることがあります。手術後は痛み、腫れ、痺れ、青あざなどの副作用が生じます。痛みは痛み止めを処方しますが、腫れ、青あざは1週間程度生じる場合があります。また、部位によっては神経の走行が複雑で、痺れが残り、長期的にお薬を処方する場合があります。
Case09
-
- 原因
- 重度カリエス
-
- 治療日数
- 10ヶ月
-
- 治療内容
- クラウンレングスニング、ポンティックシールド、セラミッククラウン修復
-
- 治療費用
- 約1,500,000円
前歯の腫れが治らないとのことでご来院された患者様です。虫歯も大きかったですが、手術を行い、歯牙の保存を行いました。現在も問題なく経過しております。
<リスク・副作用>
過度の咬合や衝撃で割れることがあります。手術後は痛み、腫れ、痺れ、青あざなどの副作用が生じます。痛みは痛み止めを処方しますが、腫れ、青あざは1週間程度生じる場合があります。また、部位によっては神経の走行が複雑で、痺れが残り、長期的にお薬を処方する場合があります。
Case10
-
- 原因
- 前歯部不良補綴
-
- 治療内容
- APF、ダイレクトボンディング、セラミック補綴、ホワイトニング
-
- 治療費用
- 約350,000円
前歯部の歯茎の色ならびに被せ物をやりかえたいとのことでご来院された患者様です。特に歯茎の色に対して、かなりショックをうけられておりました。歯茎も綺麗に治り、満足していただけました。
<リスク・副作用>
手術後は痛み、腫れ、痺れ、青あざなどの副作用が生じます。痛みは痛み止めを処方しますが、腫れ、青あざは1週間程度生じる場合があります。また、部位によっては神経の走行が複雑で、痺れが残り、長期的にお薬を処方する場合があります。
Case11
-
- 原因
- 前歯部不良補綴物
-
- 治療内容
- MTM、クラウンレングスニング、ジルコニアセラミッククラウン修復
-
- 治療費用
- 約540,000円
前歯の被せ物をやりかえたいとのことでご来院された患者様です。被せ物を外した歯の状態が悪かったため、部分矯正にて骨に埋まっている歯を出し、手術を行い、歯茎のラインを整え、被せ物を行いました。患者様も満足されております。
<リスク・副作用>
手術後は痛み、腫れ、痺れ、青あざなどの副作用が生じます。痛みは痛み止めを処方しますが、腫れ、青あざは1週間程度生じる場合があります。また、部位によっては神経の走行が複雑で、痺れが残り、長期的にお薬を処方する場合があります。
Case12
-

前歯部重度カリエス
-

術中
-

術後
-

前歯部重度カリエス
-

抜去
-

骨造成
-

インプラント術後
-
- 原因
- 前歯部重度カリエス
-
- 治療内容
- インプラント治療並びにセラミック補綴治療
-
- 治療期間
- 約1年
-
- 治療費用
- 約800,000円
前歯の歯が取れたとのことでご来院された患者様です。前歯が完全に折れており、インプラント治療を提案させていただき、治療させて頂きました。大きな問題もなく、大変満足していただけました。
<リスク・副作用>
手術後は痛み、腫れ、痺れ、青あざなどの副作用が生じます。痛みは痛み止めを処方しますが、腫れ、青あざは1週間程度生じる場合があります。また、部位によっては神経の走行が複雑で、痺れが残り、長期的にお薬を処方する場合があります。
Case13
-
- 原因
- 重度カリエス
-
- 治療内容
- 部分矯正、クラウンレングスニング、ジルコニアセラミッククラウン
-
- 治療費用
- 約242,000円
前歯の被せ物がぐらつく、とのことでご来院された患者様です。被せ物を外すと大きな虫歯となっておりましたが、患者様は保存を希望されたため、部分矯正を行い、埋まっている歯を引っ張り、保存を行いました。被せ物の出来栄えも満足していただき、経過も良好です。
<リスク・副作用>
手術後は痛み、腫れ、痺れ、青あざなどの副作用が生じます。痛みは痛み止めを処方しますが、腫れ、青あざは1週間程度生じる場合があります。また、部位によっては神経の走行が複雑で、痺れが残り、長期的にお薬を処方する場合があります。過度の咬合や衝撃で割れることがあります。
Case14
-
- 原因
- レジン前装冠不適
-
- 治療内容
- ジルコニアセラミッククラウン治療
-
- 治療費用
- 176,000円+11,000円(仮歯)
前歯を治したいとのことでご来院された患者さまです。ジルコニアセラミッククラウンで修復し、大変満足して頂けました。
<リスク・副作用>
過度の咬合や衝撃で割れることがあります。
Case15
-
- 原因
- 前歯部不良補綴
-
- 治療内容
- クラウンレングスニング治療、セラミック修復治療
-
- 治療費用
- 約1,232,000円
-
- 担当医
- Dr.炭野
前歯を治したいとのことでご来院された患者様です。セラミックの被せ物で治療を行いました。大変満足して頂けました。
<リスク・副作用>
過度の咬合や衝撃で割れることがあります。術後は痛み、腫れ、痺れなどの副作用が生じる場合があります。症状が再発する可能性があります。その場合は抜髄する必要があります。
Case16
-
- 原因
- 重度カリエス、前歯部被せ物脱離
-
- 治療内容
- 前歯部ジルコニアセラミッククラウン修復、クラウンレングスニング
-
- 治療費用
- 約1,300,000円
-
- 担当医
- Dr.炭野
他院で前歯の治療を放置してきており、続きの治療を希望された患者様です。海外への留学もあり、スケジュールを組ませていただき、進めさせて頂きました。大きな問題もなく、被せ物にも非常に満足して頂けました。
<リスク・副作用>
手術後は痛み、腫れ、痺れ、青あざなどの副作用が生じます。痛みは痛み止めを処方しますが、腫れ、青あざは1週間程度生じる場合があります。また、部位によっては神経の走行が複雑で、痺れが残り、長期的にお薬を処方する場合があります。過度の咬合や衝撃で割れることがあります。
Case17
-
- 原因
- 下顎前歯部重度カリエス
-
- 治療内容
- ジルコニアセラミッククラウン修復、クラウンレングスニング治療
-
- 治療費用
- 約1,300,000円(6歯分)
-
- 担当医
- Dr.炭野
下の前歯を綺麗に治療してほしいとのことでご来院された患者様です。手術も行い、一部穴が空いていた部分を手術の際に修復し、セラミック治療を行いました。奥歯も被せ物を今後やりかえる予定です。
<リスク・副作用>
手術後は痛み、腫れ、痺れ、青あざなどの副作用が生じます。痛みは痛み止めを処方しますが、腫れ、青あざは1週間程度生じる場合があります。また、部位によっては神経の走行が複雑で、痺れが残り、長期的にお薬を処方する場合があります。過度の咬合や衝撃で割れることがあります。
Case18
-
- 原因
- 前歯を治したい
-
- 治療内容
- 右上2番接着性ブリッジ
-
- 治療費用
- 220,000円
前歯の欠損部が接着剤でつけたままであり、インプラントかブリッジ、接着性ブリッジ、入れ歯を説明し、接着性ブリッジを選択され、治療を行いました。大変満足して頂けました。
<リスク・副作用>
過度の咬合や衝撃で割れることがあります。
詰め物・被せ物の費用
※費用は税込価格です。
| 種類 | 税込価格 |
|---|---|
| フルジルコニア | ¥165,000 |
| ジルコニアセラミック(前歯) | ¥176,000 |
| TEC | ¥11,000 |
| E-maxクラウン・ アンレー |
¥122,000 |
| ゴールドクラウン | ¥165,000 |
| E-maxインレー | ¥77,000 |
| ゴールドインレー | ¥99,000 |
| ダイレクトボンディング | ¥66,000 |
| 前歯の ダイレクトボンディング |
¥132,000 |
歯を白く美しくするのメニュー
-

- セラミック治療
- 身体に優しく、見た目も白く綺麗なメタルフリー治療のご紹介。
-

- 前歯のセラミック補綴治療
- 前歯のセラミック補綴治療で笑顔を取り戻しませんか?
-

- ダイレクトボンディング
- 歯の削る量が少ないことと、歯にかなり近い色を再現できるダイレクトボンディング。
-

- ホワイトニング
- ホワイトニングで歯を白くして印象をアップしませんか?
-

- 失活歯のブリーチング
- ホワイトニングで歯を白くして印象をアップしませんか?
-

- ガミースマイル改善治療
- ガミースマイルでお悩みの方はお気軽にご相談ください。
-

- 治療費
- 両国Ai歯科クリニックの保険外治療の治療費のページ。
ウェブ診療予約COUNSELING
患者様とのコミュニケーションを重視し、
エビデンスに基づいた質の高い歯科治療を
おこなうことを心掛けております。
歯が悪くならないように予防をし、
悪くなった歯は可能な限り歯を残すことを
コンセプトに
スタッフ一同で患者様に
寄り添い対応いたしますので、
お気軽にご相談ください。
ACCESS
両国駅、森下駅から徒歩7分
〒130-0026
東京都墨田区両国4-6-3
M.D.Cビル1F
| 診療時間 | 月 | 火 | 水 | 木 | 金 | 土 | 日 | 祝 |
|---|---|---|---|---|---|---|---|---|
| 09:30~13:00 | ○ | ○ | ○ | ○ | ○ | ○ | × | × |
| 14:00~18:30 | ○ | ○ | ○ | ○ | ○ | △ | × | × |
△土曜午後 14:00~17:30
休診日:日曜・祝日
両国Ai歯科クリニックはJR総武線 両国駅東口徒歩7分、都営大江戸線 両国駅A5出口徒歩7分、都営新宿線 森下駅A2出口徒歩7分の場所にある歯科医院です。
土曜診療をしておりますので、お仕事や学校が忙しい患者様にも通院がしやすいので歯のことでお困りでしたらお気軽にご相談下さい。






































































