ホワイトニングで白く
綺麗な歯を

皆様は笑うときに歯が黄ばんでいたりして、笑おうとしても口元を隠してしまいなかなか思い切り笑えないということはありませんか?
あなたも白く美しい歯を手に入れて、 もっとステキな笑顔になってみませんか?ここでは歯を美しい白さにする「ホワイトニング」についてご紹介します。
ホワイトニングとは、歯に薬液をつけて歯の汚れや着色を漂白して、歯の色調を明るくすることにより白くする方法です。
当院のホワイトニング
- ホームホワイトニング
- オフィスホワイトニング
- 失活歯のブリーチング
当院のホワイトニングの比較と特徴
ホワイトニングとは、プラスチックやセラミックといった人工的な材料で白くするのではなく、特殊な薬剤を使用することで、歯の中の色素を分解させる方法です。そのため、歯を削ることなく、自然な白さを得ることができます。また、当医院のホワイトニングは国で許可された薬剤を使用しております。
| 種類 | オフィスホワイトニング | ホームホワイトニング ①カスタムトレー法 ②既製トレー法(オパールGO) |
|---|---|---|
| 特徴 | 歯科医院で行う | ご自身のご自宅でで行う |
| 期間 | 約2時間(施術チェアにて行う) |
|
| メリット |
|
|
| デメリット |
|
|
| 価格(税込) | 49,800円 (2回目以降は3ヶ月以内で38,800円) |
①39,800円 ②29,800円 |
ホワイトニングのよくある質問
よく聞かれるホワイトニングにまつわる質問集です。
-
- 希望する白さになるのでしょうか?
- 必ず効果はあるのですが、もちろん限界もあります。歯専用の色見本で現在の白さの確認と希望の白さをお伝えください。実現可能かどうかお知らせ致します。
-
- ホワイトニング中やその後に痛みや不快感はありますか?
- 薬剤により、のどがいがいがした感じや歯肉が炎症をおこす事がまれにありますが、すぐにおさまります。また、オフィスブリーチング同様、一時的に痛みを感じる事がありますが、1〜3日中断する事ですぐにおさまります。それでも痛みが続く場合は歯科医師にご相談ください。
-
- ホワイトニング中に注意する事はありますか?
- なるべくならタバコ、コーヒー、ウーロン茶、カレー、しょう油、赤ワイン等の色素の強い食品は避けるようにしましょう。
-
- ホワイトニングが受けられない人もいますか?
- エナメル質や象牙質に形成不全があり、それによる変色のある方は、十分な効果が得られない事があります。妊婦や授乳時の方。問題はないのですが、あえてこの時期に行う必要はないと思います。
-
- 治療済みの歯もホワイトニングできますか?
- 詰め物や被せ物は漂白できません。お口の中、全体のホワイトニングを考える場合にはホワイトニングの後にその色に合わせ、つめ物やかぶせ物を替える必要があります。
-
- ホワイトニング後に歯の白さを長持ちさせるにはどうしたら良いですか?
- タバコ、コーヒー、ウーロン茶、コーラ、赤ワイン等の常飲は着色の原因となるので控えた方が無難ですが、実際の生活の中ではなかなか難しい方が多いと思います。術後もこまめに定期検診やクリーニング・PMTCなどをおこなうことをおススメします。
ホワイトニングで笑顔の
第一印象アップを!

第一印象は、最初の0.6秒の「見た目」で55%が決まるとも言われています。
『笑顔は第一印象アップの最大の武器』
白く輝く歯は、清潔で健康な印象を相手に与えます。
ホワイトニングは天然歯自体を白くする唯一方法です。皆様もホワイトニングで白い歯を手に入れて第一印象のアップをしてみませんか?
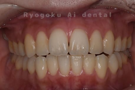
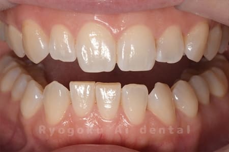
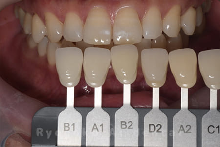
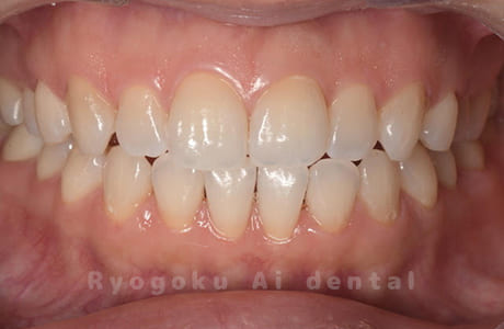
ホワイトニング治療の症例
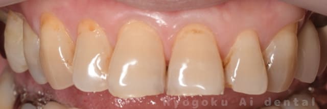
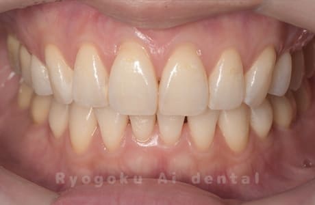
Case01
-
- 治療内容
- ホワイトニング
-
- 治療方法
- デュアルホワイトニング
-
- 治療費用
- 56,000円
結婚式前に歯を白くしたいとのことでご来院された患者様です。結婚式の日程に合わせて、クリニックで行うオフィスホワイトニングとお家で行うホームホワイトニングの両方での施術を行いました。
<リスク・副作用>
歯の色の変化には個人差がある場合があります。また歯がしみたり、後戻りはする場合があります。
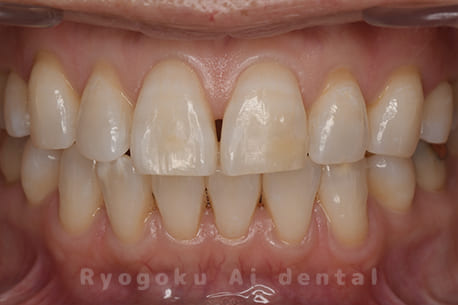
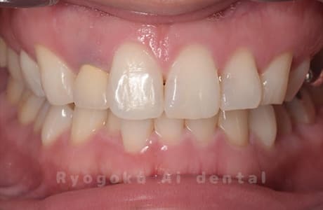
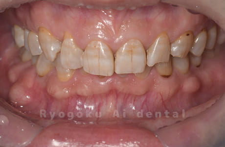
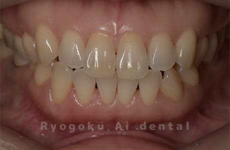
Case02
-
- 治療内容
- デュアルホワイトニング
-
- 治療方法
- オフィスホワイトニング1回、ホームホワイトニング1回
-
- 治療費用
- 56,000円
治療期間も短く、歯の白さにも患者様には満足して頂けました。
<リスク・副作用>
歯の色の変化には個人差がある場合があります。また歯がしみたり、後戻りはする場合があります。
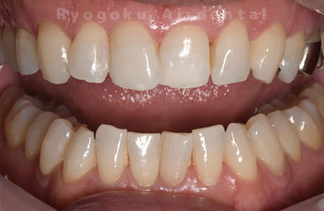
Case03
-
- 治療内容
- デュアルホワイトニング
-
- 治療方法
- デュアルホワイトニング
2時間+10日間 既製トレー法
-
- 治療費用
- 56,000円
治療期間も短く、歯の白さにも患者様には満足して頂けました。
<リスク・副作用>
歯の色の変化には個人差がある場合があります。また歯がしみたり、後戻りはする場合があります。
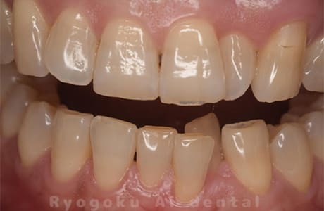
Case04
-
- 治療内容
- オフィスホワイトニング+ホームホワイトニング
-
- 治療費用
- 89,600円
-
- 担当
- DH 中村
オフィスホワイトニングとホームホワイトニングを併用したデュアルホワイトニングのケースです。
<リスク・副作用>
歯の色の変化には個人差がある場合があります。また歯がしみたり、後戻りはする場合があります。
Case05
-
- 治療内容
- オフィスホワイトニング+ホームホワイトニング
-
- 治療費用
- オフィスホワイトニング49,800円
ホームホワイトニング39,800円
-
- 担当
- DH 中村
オフィスホワイトニングとホームホワイトニングを併用したデュアルホワイトニングのケースです。
<リスク・副作用>
歯の色の変化には個人差がある場合があります。また歯がしみたり、後戻りはする場合があります。
Case06
-
- 治療内容
- ホームホワイトニング(カスタムトレー法)
-
- 治療費用
- 39,800円
-
- 担当
- DH 中村
ホームホワイトニング(カスタムトレー法)のケースです。
<リスク・副作用>
歯の色の変化には個人差がある場合があります。また歯がしみたり、後戻りはする場合があります。
Case07
-
- 治療内容
- オフィスホワイトニング
-
- 治療費用
- 49,800円
-
- 担当
- DH 中村
オフィスホワイトニングで歯を白くしたケースです。
<リスク・副作用>
歯の色の変化には個人差がある場合があります。また歯がしみたり、後戻りはする場合があります。
Case08
-
- 治療内容
- オフィスホワイトニング+ホームホワイトニング
-
- 治療費用
- オフィスホワイトニング49,800円
ホームホワイトニング39,800円
-
- 担当
- DH 中村
オフィスホワイトニングとホームホワイトニングを併用したデュアルホワイトニングのケースです。
<リスク・副作用>
歯の色の変化には個人差がある場合があります。また歯がしみたり、後戻りはする場合があります。
Case09
-
- 原因
- 前歯部不良補綴
-
- 治療内容
- APF、ダイレクトボンディング、セラミック補綴、ホワイトニング
-
- 治療費用
- 約350,000円
前歯部の歯茎の色ならびに被せ物をやりかえたいとのことでご来院された患者様です。特に歯茎の色に対して、かなりショックをうけられておりました。歯茎も綺麗に治り、満足していただけました。
<リスク・副作用>
手術後は痛み、腫れ、痺れ、青あざなどの副作用が生じます。痛みは痛み止めを処方しますが、腫れ、青あざは1週間程度生じる場合があります。また、部位によっては神経の走行が複雑で、痺れが残り、長期的にお薬を処方する場合があります。
Case10
-
- 治療内容
- オフィスホワイトニング
-
- 施術時間
- 約2時間半
-
- 治療費用
- 49,800円
-
- 担当
- DH 橋爪
オフィスホワイトニングで歯を白くしたケースです。
<リスク・副作用>
歯の色の変化には個人差がある場合があります。また歯がしみたり、後戻りはする場合があります。
Case11
-
- 治療内容
- ホームホワイトニング
-
- 施術時間
- 2週間
-
- 治療費用
- 39,800円
-
- 担当
- DH 橋爪
ホームホワイトニングで歯を白くしたケースです。
<リスク・副作用>
歯の色の変化には個人差がある場合があります。また歯がしみたり、後戻りはする場合があります。
Case12
-
- 治療内容
- オフィスホワイトニング&ホームホワイトニング
-
- 施術時間
- 2時間(オフィスホワイトニング)、2週間(ホームホワイトニング)
-
- 治療費用
- ホームとホワイトニング:39,800円+オフィスホワイトニング:49,800円
-
- 担当
- DH 中村
オフィスホワイトニングとホームホワイトニングで歯を白くしたケースです。
<リスク・副作用>
歯の色の変化には個人差がある場合があります。また歯がしみたり、後戻りはする場合があります。
Case13
-
- 治療内容
- オフィスホワイトニング
-
- 施術時間
- 2時間
-
- 治療費用
- 49,800円
-
- 担当
- DH 中村
オフィスホワイトニングで歯を白くしたケースです。
<リスク・副作用>
歯の色の変化には個人差がある場合があります。また歯がしみたり、後戻りはする場合があります。
Case14
-
- 治療内容
- オフィスホワイトニング&ホームホワイトニング
-
- 施術時間
- 2時間(オフィスホワイトニング)、2週間(ホームホワイトニング)
-
- 治療費用
- ホームとホワイトニング:39,800円+オフィスホワイトニング:49,800円
-
- 担当
- DH 中村
オフィスホワイトニングとホームホワイトニングで歯を白くしたケースです。
<リスク・副作用>
歯の色の変化には個人差がある場合があります。また歯がしみたり、後戻りはする場合があります。
Case15
-
- 治療内容
- オフィスホワイトニング&ホームホワイトニング
-
- 施術時間
- 2時間(オフィスホワイトニング)、2週間(ホームホワイトニング)
-
- 治療費用
- ホームとホワイトニング:39,800円+オフィスホワイトニング:49,800円
-
- 担当
- DH 中村
オフィスホワイトニングとホームホワイトニングで歯を白くしたケースです。
<リスク・副作用>
歯の色の変化には個人差がある場合があります。また歯がしみたり、後戻りはする場合があります。
Case16
-
- 治療内容
- オフィスホワイトニング
-
- 施術回数
- 1回
-
- 治療費用
- 49,800円
-
- 担当
- DH 中村
オフィスホワイトニング1回で歯を白くしたケースです。
<リスク・副作用>
歯の色の変化には個人差がある場合があります。また歯がしみたり、後戻りはする場合があります。
Case17
-
- 治療内容
- オフィスホワイトニング+ホームホワイトニング
-
- 施術回数
- オフィスホワイトニング(1回)+ホームホワイトニング(2週間)
-
- 治療費用
- 49,800円+39,800円
-
- 担当
- DH 中村
オフィスホワイトニングとホームホワイトニングで歯を白くしたケースです。
<リスク・副作用>
歯の色の変化には個人差がある場合があります。また歯がしみたり、後戻りはする場合があります。
Case18
-
- 治療内容
- ホームホワイトニング(カスタムトレー法)
-
- 施術回数
- ホームホワイトニング(カスタムトレー法)(2週間)
-
- 治療費用
- 39,800円
-
- 担当
- DH 中村
ホームホワイトニング(カスタムトレー法)で歯を白くしたケースです。
<リスク・副作用>
歯の色の変化には個人差がある場合があります。また歯がしみたり、後戻りはする場合があります。
Case19
-
- 治療内容
- オフィスホワイトニング(1回)
-
- 施術回数
- オフィスホワイトニング(1回)
-
- 治療費用
- 49,800円
-
- 担当
- DH 中村
オフィスホワイトニング(1回)で歯を白くしたケースです。
<リスク・副作用>
歯の色の変化には個人差がある場合があります。また歯がしみたり、後戻りはする場合があります。
Case20
-
- 治療内容
- ホームホワイトニング(カスタムトレー法)
-
- 施術回数
- 10日間
-
- 治療費用
- 39,800円
-
- 担当
- DH 中村
ホームホワイトニング(カスタムトレー法)で10日間で歯を白くしたケースです。
<リスク・副作用>
歯の色の変化には個人差がある場合があります。また歯がしみたり、後戻りはする場合があります。
Case21
-
- 治療内容
- ホームホワイトニング(カスタムトレー法)
-
- 施術回数
- 10日間
-
- 治療費用
- 39,800円
-
- 担当
- DH 中村
ホームホワイトニング(カスタムトレー法)で10日間で歯を白くしたケースです。
<リスク・副作用>
歯の色の変化には個人差がある場合があります。また歯がしみたり、後戻りはする場合があります。
Case22
-
- 治療内容
- ホームホワイトニング(既成トレー法)、オフィスホワイトニング
-
- 治療費用
- ホームホワイトニング(既成トレー法):29,800円
オフィスホワイトニング:49,800円
-
- 担当
- DH 橋爪
ホームホワイトニング(既成トレー法)、オフィスホワイトニングで歯を白くしたケースです。
<リスク・副作用>
歯の色の変化には個人差がある場合があります。また歯がしみたり、後戻りはする場合があります。
Case23
-
- 治療内容
- ホームホワイトニング(カスタムトレー法)
-
- 施術回数
- 10日間
-
- 治療費用
- 39,800円
-
- 担当
- DH 橋爪
ホームホワイトニング(カスタムトレー法)で10日間で歯を白くしたケースです。
<リスク・副作用>
歯の色の変化には個人差がある場合があります。また歯がしみたり、後戻りはする場合があります。
Case24
-
- 治療内容
- ホームホワイトニング(既成トレー法)
-
- 治療費用
- 29,800円
-
- 担当
- DH 橋爪
ホームホワイトニング(既成トレー法)で歯を白くしたケースです。
<リスク・副作用>
歯の色の変化には個人差がある場合があります。また歯がしみたり、後戻りはする場合があります。
ホワイトニングの費用
※費用は税込価格です。
| 種類 | 内容 | 税込価格 |
|---|---|---|
| オフィス ホワイトニング |
¥49,800 (2回目以降は3ヶ月以内で¥38,800) |
|
| ホーム ホワイトニング |
約2週間 カスタムトレー法 |
¥39,800 |
| 10日間 既製トレー法 (オパールGO) |
¥29,800 | |
治療上の注意点・リスク副作用
- ホワイトニングは保険適用外の治療です。
- ホワイトニングよる歯の色の変化には個人差がある場合があります。
- ホワイトニングで歯がしみる場合があります。
- ホワイトニングは後戻りはするので気になる場合は定期的に受けることをおススメします。
歯を白く美しくするのメニュー
-

- セラミック治療
- 身体に優しく、見た目も白く綺麗なメタルフリー治療のご紹介。
-

- 前歯のセラミック補綴治療
- 前歯のセラミック補綴治療で笑顔を取り戻しませんか?
-

- ダイレクトボンディング
- 歯の削る量が少ないことと、歯にかなり近い色を再現できるダイレクトボンディング。
-

- ホワイトニング
- ホワイトニングで歯を白くして印象をアップしませんか?
-

- 失活歯のブリーチング
- ホワイトニングで歯を白くして印象をアップしませんか?
-

- ガミースマイル改善治療
- ガミースマイルでお悩みの方はお気軽にご相談ください。
-

- 治療費
- 両国Ai歯科クリニックの保険外治療の治療費のページ。
ウェブ診療予約COUNSELING
患者様とのコミュニケーションを重視し、
エビデンスに基づいた質の高い歯科治療を
おこなうことを心掛けております。
歯が悪くならないように予防をし、
悪くなった歯は可能な限り歯を残すことを
コンセプトに
スタッフ一同で患者様に
寄り添い対応いたしますので、
お気軽にご相談ください。
ACCESS
両国駅、森下駅から徒歩7分
〒130-0026
東京都墨田区両国4-6-3
M.D.Cビル1F
| 診療時間 | 月 | 火 | 水 | 木 | 金 | 土 | 日 | 祝 |
|---|---|---|---|---|---|---|---|---|
| 09:30~13:00 | ○ | ○ | ○ | ○ | ○ | ○ | × | × |
| 14:00~18:30 | ○ | ○ | ○ | ○ | ○ | △ | × | × |
△土曜午後 14:00~17:30
休診日:日曜・祝日
両国Ai歯科クリニックはJR総武線 両国駅東口徒歩7分、都営大江戸線 両国駅A5出口徒歩7分、都営新宿線 森下駅A2出口徒歩7分の場所にある歯科医院です。
土曜診療をしておりますので、お仕事や学校が忙しい患者様にも通院がしやすいので歯のことでお困りでしたらお気軽にご相談下さい。



























































