ガミースマイル改善治療について

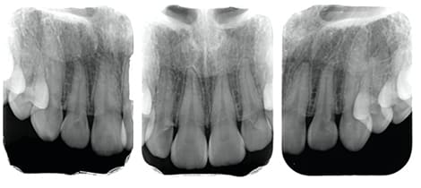
歯の見え方が小さく、笑った際に大きく歯茎が見えてしまう場合、歯茎をカットし、歯の周囲の歯槽骨を削合することで埋まっている歯を出す手術となります。
歯を削ることや被せ物を行うことは本手術において行いません。本来の歯の状態に改善する手術です。
ガミースマイル改善治療の
流れ
-
STEP 1
- 術前診査診断
-
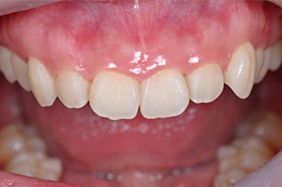
手術前の状態の記録を取ります。
-
-
-
STEP 2
- クリーニング
- 手術前にクリーニングを行います。
-
-
-
STEP 3
- 手術
- ガミースマイル改善のための外科手術をおこないます。
-
-
-
STEP 4
- 術後
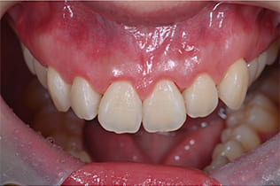
- 手術後の状態の確認と記録を取ります。
-
-
ガミースマイル改善治療の
症例
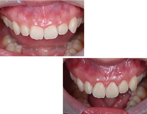
Case01
-
- 原因
- ガミースマイル
-
- 治療回数
- 1回
-
- 治療期間
- 術後治癒も含めて約1か月
-
- 治療内容
- ガミースマイル改善治療
-
- 治療費用
- 121,000円
(1ブロックあたり、6前歯部分)
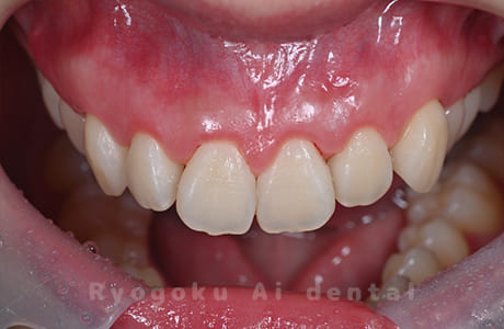
笑った時に歯茎が見えてしまうガミースマイルを改善したいとのことでご来院された患者様です。術後も大変満足していただきました。
<リスク・副作用>
手術の成功のために切開のラインが治療部位より広くなる場合があります。手術後に疼痛、腫れ、青あざ、痺れ等の症状が生じる場合があります。多くは2〜3日、長くても1週間程度で日常生活に影響がなく回復致しますが、稀に長期間症状が続く場合があります。
治療上の注意点とリスク・副作用
- 手術の成功のために切開のラインが治療部位より広くなる場合があります。
- 手術後に疼痛、腫れ、青あざ、痺れ等の症状が生じる場合があります。多くは2〜3日、長くても1週間程度で日常生活に影響がなく回復致しますが、稀に長期間症状が続く場合があります。
- 手術結果が思わしくない場合、再手術を行う可能性があります。
- 手術内容以外の処置に関してのレントゲン撮影並びに治療は別途保険内での費用が発生致します。
- 手術費用以外にお薬代として1,000円程度の費用が別途発生致します。
- 手術の成功のため、手術前にはお口全体のクリーニング(歯石取り等)をお願い致しております。
- 術後は後戻りの確認のため、1ヶ月後、3ヶ月後、6ヶ月後で定期検診を推奨致しております。その際はお口の中のお写真の撮影とクリーニングを行います(保険内での費用が発生します)。
- 手術前後のお口の写真並びにレントゲン等は個人が特定できないことに配慮し、学会・ホームページ等で使用させていただく場合があります。使用を承諾できない場合は事前にスタッフまでお声がけください。
- 上記内容以外にご不明がございましたら、お気軽に担当医もしくはスタッフまでご相談ください。
歯を白く美しくするのメニュー
-

- セラミック治療
- 身体に優しく、見た目も白く綺麗なメタルフリー治療のご紹介。
-

- 前歯のセラミック補綴治療
- 前歯のセラミック補綴治療で笑顔を取り戻しませんか?
-

- ダイレクトボンディング
- 歯の削る量が少ないことと、歯にかなり近い色を再現できるダイレクトボンディング。
-

- ホワイトニング
- ホワイトニングで歯を白くして印象をアップしませんか?
-

- 失活歯のブリーチング
- ホワイトニングで歯を白くして印象をアップしませんか?
-

- ガミースマイル改善治療
- ガミースマイルでお悩みの方はお気軽にご相談ください。
-

- 治療費
- 両国Ai歯科クリニックの保険外治療の治療費のページ。
ウェブ診療予約COUNSELING
患者様とのコミュニケーションを重視し、
エビデンスに基づいた質の高い歯科治療を
おこなうことを心掛けております。
歯が悪くならないように予防をし、
悪くなった歯は可能な限り歯を残すことを
コンセプトに
スタッフ一同で患者様に
寄り添い対応いたしますので、
お気軽にご相談ください。
ACCESS
両国駅、森下駅から徒歩7分
〒130-0026
東京都墨田区両国4-6-3
M.D.Cビル1F
| 診療時間 | 月 | 火 | 水 | 木 | 金 | 土 | 日 | 祝 |
|---|---|---|---|---|---|---|---|---|
| 09:30~13:00 | ○ | ○ | ○ | ○ | ○ | ○ | × | × |
| 14:00~18:30 | ○ | ○ | ○ | ○ | ○ | △ | × | × |
△土曜午後 14:00~17:30
休診日:日曜・祝日
両国Ai歯科クリニックはJR総武線 両国駅東口徒歩7分、都営大江戸線 両国駅A5出口徒歩7分、都営新宿線 森下駅A2出口徒歩7分の場所にある歯科医院です。
土曜診療をしておりますので、お仕事や学校が忙しい患者様にも通院がしやすいので歯のことでお困りでしたらお気軽にご相談下さい。












