見た目が綺麗で身体に
優しいセラミックス治療

当院の審美セラミック治療は白く美しい見た目の審美性はもちろん、銀歯などの金属を使わないで、オールセラミックやジルコニアなどのメタルフリーの素材を使って治療を行うことで、金属アレルギーや金属イオンによる歯肉の黒ずみのリスクを減らすことを考慮した上で治療をします。
なお金属を使用しないので、見た目も白く天然歯に近い自然な仕上がりを得ることができます。
また、歯肉との適合も良いため、被せ物周辺の歯肉の健康も維持できます。両国Ai歯科クリニックは金属を使用しないメタルフリーによる審美補綴をしております。ご興味がある方はお気軽にご相談ください。
治療ごとの利点と欠点
| 素材・治療法 | メリット | デメリット |
|---|---|---|
| オールセラミック |
|
|
| ジルコニア |
|
|
| メタルボンド |
|
|
| ハイブリッド セラミック |
|
|
理想的な素材の
ジルコニア

ジルコニアとは白いダイヤモンドとも言われる材質で非常に硬く、割れにく特徴をもっています。
しかし、色合いの表現と透明感が難しいため、前歯においてはジルコニアを内枠として、外枠をセラミックのコーティングを施すことで、自然な色合いを表現できます。
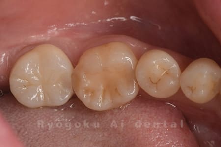
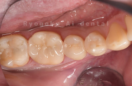
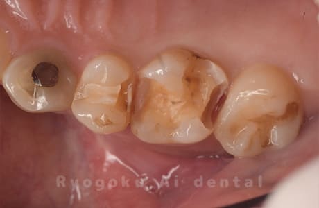
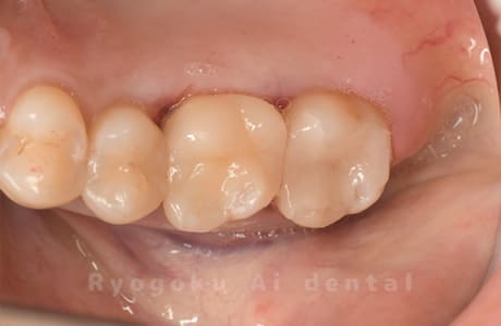
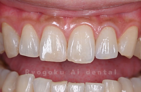
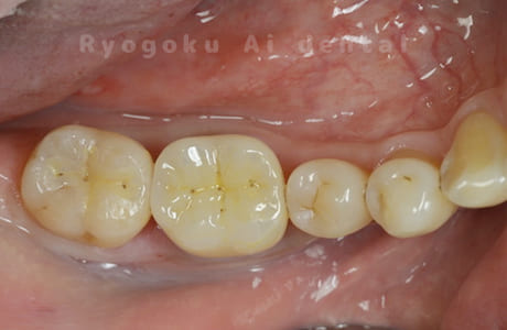
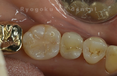
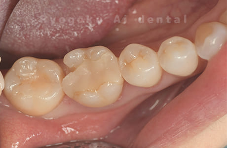
セラミック治療の症例
Case01
-
- 原因
- 右上1番、不良補綴
-
- 治療期間
- 3ヶ月
-
- 治療内容
- 前歯部ジルコニアセラミッククラウン
-
- 治療費用
- 350,000円
前歯2本の被せ物を希望された患者様です。
<リスク・副作用>
過度の咬合や衝撃で割れることがあります。
Case02
-
- 原因
- 縁下カリエス、慢性根尖性歯周炎、不良補綴
-
- 治療期間
- 約6ヶ月
-
- 治療内容
- クラウンレングスニング、マイクロエンド、フルジルコニアクラウン
-
- 治療費用
- 約840,000円
虫歯が神経まで及ぶと共に、歯茎の中まで虫歯が及んでいました。根の治療(マイクロエンド・根管治療)を行なった後、クラウンレングスニング・歯周外科を行い、ジルコニアの被せ物を行った患者様です。
<リスク・副作用>
過度の咬合や衝撃で割れることがあります。
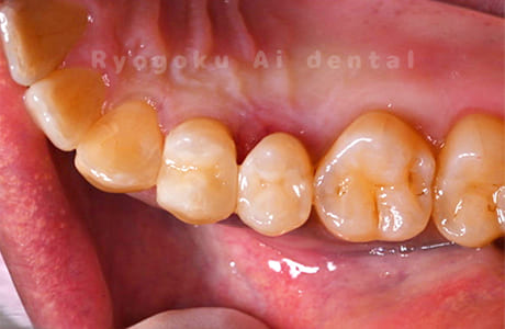
Case03
-
- 原因
- 前歯部の自然脱落、慢性根尖性歯周炎
-
- 治療期間
- 10ヶ月
-
- 治療内容
- 結合組織移植術、感染根管処置、ジルコニアセラミックブリッジ
-
- 治療費用
- 約550,000円
前歯が自然と取れた方をジルコニアセラミックブリッジで修復したケースです。
<リスク・副作用>
術後腫脹、疼痛。顔面に青あざができる場合があります。
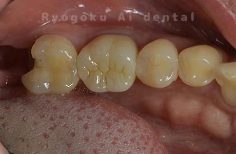
Case04
-
- 原因
- 被せ物の黒ずみが気になる
-
- 治療期間
- 治療回数3回(根管治療を含まない)
-
- 治療内容
- E-maxクラウン(2歯)
-
- 治療費用
- 約220,000円
被せ物が黒くなった、というご相談でご来院された患者様です。元々の被せ物が金属のフレームにセラミックをコーティングする被せ物をE-maxという金属を使わない被せ物に変更させて頂きました。
<リスク・副作用>
過度の咬合や衝撃で割れることがあります。
Case05
-
- 原因
- 重度カリエス
-
- 治療内容
- ジルコニアクラウン
-
- 治療費用
- 165,000円
他院で治療終了と言われ、転院された患者様です。土台を外し、土台をやり変え、ジルコニアクラウンで型取りを行いました。
<リスク・副作用>
過度の咬合や衝撃で割れることがあります。
Case06
-
- 原因
- しみる症状がある
-
- 治療内容
- ジルコニアクラウン
-
- 治療費用
- 165,000円
他院で治療終了となり、しみる症状があると相談された患者さんです。プラスチックの被せ物の隙間が空いてることとプラスチックの被せ物が大きいため、耐久性と審美性を患者さんと相談し、ジルコニアクラウンで治療を行いました。
<リスク・副作用>
過度の咬合や衝撃で割れることがあります。
Case07
-
- 原因
- 虫歯
-
- 治療内容
- セラミッククラウン
-
- 治療費用
- 110,000円
銀歯が浮いた感じがする、と相談された患者さんです。銀歯を外し、虫歯治療を行い、セラミックの被せ物で治療を行いました。
<リスク・副作用>
過度の咬合や衝撃で割れることがあります。
Case08
-
- 原因
- 虫歯
-
- 治療内容
- セラミックインレー
-
- 治療費用
- 77,000円
奥歯の黒い点が気になるということで来院された患者さんです。白い詰め物を外したところ、虫歯が中で大きく広がっていたため、患者さんと相談し、セラミックインレーで治療を行いました。
<リスク・副作用>
過度の咬合や衝撃で割れることがあります。
Case09
-
- 原因
- 虫歯
-
- 治療内容
- セラミックインレー
-
- 治療費用
- 77,000円
虫歯の治療を行い、白い材料での治療を希望された為、セラミックインレーで治療を行った患者さんです。
<リスク・副作用>
過度の咬合や衝撃で割れることがあります。
Case10
-
- 原因
- インレー2次カリエス、コンタクトカリエス
-
- 治療内容
- セラミックインレー、ダイレクトボンディング
-
- 治療費用
- 77,000円+66,000円
銀歯の部分が噛むと違和感があるとのことで来院されました。右上4番5番の歯の治療をセラミックインレーとダイレクトボンディングで治療した症例です。
<リスク・副作用>
過度の咬合や衝撃で割れることがあります。
Case11
-
- 原因
- インレー2次カリエス、ならびにインレー脱離
-
- 治療内容
- セラミッククラウン、セラミックインレー
-
- 治療費用
- 123,000円×2(セラミッククラン)、77,000円(セラミックインレー)
銀歯が取れて、ご来院された患者様です。奥歯2本をセラミッククラウン、手前の小臼歯をセラミックインレーで治療を行いました。
<リスク・副作用>
過度の咬合や衝撃で割れることがあります。
Case12
-
- 原因
- インレー不適
-
- 治療日数
- 3回
-
- 治療内容
- ダイレクトボンディング、セラミックインレー
-
- 治療費用
- 143,000円
銀歯を白くしたいとのことでご来院された患者様です。セラミックインレーとダイレクトボンディングを組み合わせて治療させて頂きました。仕上がりも満足して頂き、経過も良好です。
<リスク・副作用>
過度の咬合や衝撃で割れることがあります。
また、ダイレクトボンディングは強い衝撃などにより欠けたりすることがある。経年的に劣化(変色)してくる可能性がある。
Case13
-
- 原因
- 前歯部補綴不適合
-
- 治療内容
- ジルコニアセラミッククラウンでの再補綴治療
-
- 治療費用
- 374,000円
前歯の形、色が気になるとのことでご来院された患者様です。前歯を白く仕上げてほしいとのことで、周りの歯よりも若干白く仕上げることとなりました。
<リスク・副作用>
過度の咬合や衝撃で割れることがあります。
Case14
-
- 原因
- 前歯部不良補綴
-
- 治療内容
- ジルコニアセラミッククラウン、ダイレクトボンディングでの再補綴治療
-
- 治療費用
- 572,000円
前歯をきれいにしたいとのこでご来院された患者様です。前歯の6本分を治療しました。患者様の満足度も高く、高評価をいただきました。
<リスク・副作用>
過度の咬合や衝撃で割れることがあります。
Case15
-
- 原因
- インレー不適合
-
- 治療内容
- セラミックインレーでの再治療
-
- 治療費用
- 77,000円
銀歯が気になるとのことで、セラミックで治療を行いました。
<リスク・副作用>
過度の咬合や衝撃で割れることがあります。
Case16
-
- 原因
- インレー不適合
-
- 治療内容
- セラミッククラウン
-
- 治療費用
- 122,000円
銀歯に引っ掛かりがあるとのことで、奥の銀歯をセラミックの材料で治療致しました。
<リスク・副作用>
過度の咬合や衝撃で割れることがあります。
Case17
-
- 原因
- CR破折
-
- 治療内容
- セラミックインレー修復
-
- 治療費用
- 77,000円
歯が欠けたとのことでご来院された患者様です。他院でのプラスチックが大きく欠けていたため、セラミック治療へと変更し、治療を行いました。
<リスク・副作用>
過度の咬合や衝撃で割れることがあります。
Case18
-
- 原因
- 重度カリエス
-
- 治療日数
- 約3ヶ月
-
- 治療内容
- クラウンレングスニング、ジルコニアクラウン
-
- 治療費用
- 214,500円
他院で抜歯と診断された患者様です。十分な説明の下、歯を保存するクラウンレングスニングとジルコニアクラウンでの治療を行いました。治療後も問題なく経過しております。
<リスク・副作用>
過度の咬合や衝撃で割れることがあります。手術後は痛み、腫れ、痺れ、青あざなどの副作用が生じます。痛みは痛み止めを処方しますが、腫れ、青あざは1週間程度生じる場合があります。また、部位によっては神経の走行が複雑で、痺れが残り、長期的にお薬を処方する場合があります。
Case19
-
- 原因
- セラミッククラウン破折
-
- 治療日数
- 2回
-
- 治療内容
- ジルコニアクラウン
-
- 治療費用
- 165,000円(仮歯は別途費用)
他院でのセラミッククラウンが破折したのでやりかえたいとのことでご来院された患者様です。仕上がりにも満足して頂けました。
<リスク・副作用>
過度の咬合や衝撃で割れることがあります。
Case20
-
- 原因
- 重度カリエス
-
- 治療日数
- 約半年
-
- 治療内容
- クラウンレングスニング、根管治療、ジルコニアクラウン
-
- 治療費用
- 約1,200,000円
前歯が動くとのことでご来院された患者様です。虫歯が大きく保存困難な状態でしたが、ご本人様と十分話し合い、抜歯を行わず、手術をすることで歯を抜かず保存しました。
<リスク・副作用>
過度の咬合や衝撃で割れることがあります。手術後は痛み、腫れ、痺れ、青あざなどの副作用が生じます。痛みは痛み止めを処方しますが、腫れ、青あざは1週間程度生じる場合があります。また、部位によっては神経の走行が複雑で、痺れが残り、長期的にお薬を処方する場合があります。
Case21
-
- 原因
- 重度カリエス
-
- 治療日数
- 2ヶ月
-
- 治療回数
- 約4回
-
- 治療内容
- 断髄治療並びに補綴治療
-
- 治療費用
- 88,000円(断髄治療費)+仮歯(5,500円)+ジルコニアクラウン(165,000円)=258,500円
歯がしみるとのことでごラインされた患者様です。プラスチックが欠けており、中で大きく虫歯が広がっていました。神経の保存を患者様は希望されたため、断髄処置を行い、約2ヶ月後に被せ物の治療を行いました。
<リスク・副作用>
過度の咬合や衝撃で割れることがあります。術後は痛み、腫れ、痺れなどの副作用が生じる場合があります。症状が再発する可能性があります。その場合は抜髄する必要があります。
Case22
-
- 原因
- インレー2次カリエス
-
- 治療内容
- 左上6番→ダイレクトボンディング
左上7番→セラミックインレー
-
- 治療費用
- ダイレクトボンディング66,000円
セラミックインレー77,000円
奥歯の銀歯を白くしたいとのことでご来院された患者様です。経過良好です。
<リスク・副作用>
治療中もしくは治療後に急に痛みが出る場合があります。感染が強い場合には痛みが激しいことがありますので、その際は痛み止め、抗生剤を処方する場合があります。
また、ダイレクトボンディングは強い衝撃などにより欠けたりすることがある。経年的に劣化(変色)してくる可能性がある。
Case23
-
- 原因
- インレー2次カリエス
-
- 治療内容
- セラミックインレー
-
- 治療費用
- 77,000円
奥歯の銀歯を白くしたいとのことでご来院された患者様です。経過良好です。
<リスク・副作用>
過度の咬合や衝撃で割れることがあります。術後は痛み、腫れ、痺れなどの副作用が生じる場合があります。症状が再発する可能性があります。その場合は抜髄する必要があります。
Case24
-
- 原因
- インレー2次カリエス
-
- 治療内容
- セラミックインレー修復
-
- 治療費用
- 77,000円
銀歯の中が大きく虫歯になっており、外してセラミックインレーにて治療を行いました。
<リスク・副作用>
過度の咬合や衝撃で割れることがあります。術後は痛み、腫れ、痺れなどの副作用が生じる場合があります。症状が再発する可能性があります。その場合は抜髄する必要があります。
Case24
-
- 原因
- 左上6番セラミックインレー2次カリエス、左上7番インレー2次カリエス
-
- 治療内容
- 26セラミックインレー、27ダイレクトボンディング
-
- 治療費用
- 143,000円
他院で行ったセラミックインレーの中が大きな虫歯となっており、再治療を行ったケースです。
<リスク・副作用>
治療中もしくは治療後に急に痛みが出る場合があります。感染が強い場合には痛みが激しいことがありますので、その際は痛み止め、抗生剤を処方する場合があります。
また、ダイレクトボンディングは強い衝撃などにより欠けたりすることがある。経年的に劣化(変色)してくる可能性がある。
Case25
-
- 原因
- 重度カリエス
-
- 治療日数
- 10ヶ月
-
- 治療内容
- クラウンレングスニング、ポンティックシールド、セラミッククラウン修復
-
- 治療費用
- 約1,500,000円
前歯の腫れが治らないとのことでご来院された患者様です。虫歯も大きかったですが、手術を行い、歯牙の保存を行いました。現在も問題なく経過しております。
<リスク・副作用>
過度の咬合や衝撃で割れることがあります。手術後は痛み、腫れ、痺れ、青あざなどの副作用が生じます。痛みは痛み止めを処方しますが、腫れ、青あざは1週間程度生じる場合があります。また、部位によっては神経の走行が複雑で、痺れが残り、長期的にお薬を処方する場合があります。
Case26
-
- 原因
- セラミックインレー破折
-
- 治療内容
- セラミッククラウン
-
- 治療費用
- 122,000円
右下の歯がかけたとのことでご来院された患者様です。患者様も大変満足されております。
<リスク・副作用>
過度の咬合や衝撃で割れることがあります。術後は痛み、腫れ、痺れなどの副作用が生じる場合があります。症状が再発する可能性があります。その場合は抜髄する必要があります。
Case27
-
- 原因
- インレー2次カリエス
-
- 治療内容
- セラミックインレー修復、ダイレクトボンディング
-
- 治療費用
- 220,000円
銀歯を白くしたい、とのことでご来院された患者様です。
<リスク・副作用>
過度の咬合や衝撃で割れることがあります。術後は痛み、腫れ、痺れなどの副作用が生じる場合があります。
また、ダイレクトボンディングは強い衝撃などにより欠けたりすることがある。経年的に劣化(変色)してくる可能性がある。
Case28
-
- 原因
- インレー2次カリエス
-
- 治療内容
- セラミックインレー修復、ダイレクトボンディング
-
- 治療費用
- 220,000円
銀歯を白くしたい、とのことでご来院された患者様です。
<リスク・副作用>
過度の咬合や衝撃で割れることがあります。術後は痛み、腫れ、痺れなどの副作用が生じる場合があります。
また、ダイレクトボンディングは強い衝撃などにより欠けたりすることがある。経年的に劣化(変色)してくる可能性がある。
Case29
-
- 原因
- 重度カリエス
-
- 治療内容
- セラミックインレー修復
-
- 治療費用
- 154,000円
歯がしみるとのことでご来院された患者様です。セラミックインレーで治療を行いました。
<リスク・副作用>
過度の咬合や衝撃で割れることがあります。術後は痛み、腫れ、痺れなどの副作用が生じる場合があります。
Case30
-
- 原因
- CR不適合
-
- 治療内容
- セラミックインレー治療
-
- 治療費用
- 77,000円
-
- 担当医
- Dr. 炭野
以前に治療したプラスチックの材料が欠けたため、セラミックにて治療を行いました。
<リスク・副作用>
過度の咬合や衝撃で割れることがあります。術後は痛み、腫れ、痺れなどの副作用が生じる場合があります。
Case31
-
- 原因
- 44・45重度カリエス
-
- 治療内容
- セラミックインレー治療
-
- 治療費用
- 154,000円
-
- 担当医
- Dr. 炭野
銀歯の中が虫歯になっており、セラミックの材料で再治療を行いました。
<リスク・副作用>
過度の咬合や衝撃で割れることがあります。術後は痛み、腫れ、痺れなどの副作用が生じる場合があります。
Case32
-
- 原因
- 17セラミックインレー破折
-
- 治療内容
- セラミックインレー治療
-
- 治療費用
- 122,000円
-
- 担当医
- Dr. 炭野
他院で行ったセラミック修復が割れたため、再治療で再度セラミックを入れました。
<リスク・副作用>
過度の咬合や衝撃で割れることがあります。術後は痛み、腫れ、痺れなどの副作用が生じる場合があります。
Case33
-
- 原因
- インレー2次カリエス
-
- 治療内容
- セラミッククラウン治療
-
- 治療費用
- 122,000円
-
- 担当医
- Dr. 炭野
銀歯の中が大きく虫歯になっており、虫歯治療後にセラミックにて再治療を行いました。
<リスク・副作用>
過度の咬合や衝撃で割れることがあります。術後は痛み、腫れ、痺れなどの副作用が生じる場合があります。
Case34
-
- 原因
- 左上7番セラミック破折
-
- 治療内容
- ジルコニアクラウン
-
- 治療費用
- 165,000円
他院で行ったセラミックがかけたとのことでご来院された患者様です。ジルコニアクラウンで再治療しました。
<リスク・副作用>
過度の咬合や衝撃で割れることがあります。術後は痛み、腫れ、痺れなどの副作用が生じる場合があります。
Case35
-
- 原因
- 重度カリエス
-
- 治療内容
- クラウンレングスニング、ジルコニアクラウン
-
- 治療費用
- 429,000円
他院で抜歯と言われた方です。手術をこない、保存を試みました。経過は良好です。
<リスク・副作用>
過度の咬合や衝撃で割れることがあります。術後は痛み、腫れ、痺れなどの副作用が生じる場合があります。
Case36
-
- 原因
- セラミック破折
-
- 治療内容
- セラミックインレー修復
-
- 治療費用
- 77,000円
他院で行ったセラミックが割れたとのことでご来院された患者様です。当医院での保証期間を説明し、再度セラミックで修復致しました。
<リスク・副作用>
過度の咬合や衝撃で割れることがあります。術後は痛み、腫れ、痺れなどの副作用が生じる場合があります。
Case37
-
- 原因
- 補綴物二次カリエス
-
- 治療内容
- 24番ダイレクトボンディング、25番セラミックインレー修復、26・27番セラミッククラウン修復
-
- 治療費用
- 387,000円
歯がしみるとのことでご来院された患者様です。銀歯の中が大きく虫歯になっておりました。セラミックの材料で再治療を行いました。
<リスク・副作用>
過度の咬合や衝撃で割れることがあります。術後は痛み、腫れ、痺れなどの副作用が生じる場合があります。
Case38
-
- 原因
- 重度カリエス
-
- 治療内容
- セラミッククラウン修復
-
- 治療費用
- 120,000円
重度のカリエスをセラミッククラウンで修復したケースです。
<リスク・副作用>
過度の咬合や衝撃で割れることがあります。術後は痛み、腫れ、痺れなどの副作用が生じる場合があります。
Case39
-
- 原因
- セラミックインレー破折
-
- 治療内容
- セラミックインレー修復
-
- 治療費用
- 77,000円
他院で行ったセラミックインレーが破折したため、やりかえを行いました。当医院では5年の保証を設けています。
<リスク・副作用>
過度の咬合や衝撃で割れることがあります。術後は痛み、腫れ、痺れなどの副作用が生じる場合があります。
Case40
-
- 原因
- 縁下カリエス
-
- 治療内容
- クラウンレングスニング、ジルコニアクラウン修復
-
- 治療費用
- 約220,000円
被せ物の中から臭いがするとのことで、被せ物を外したところ大きな虫歯となっていました。このまま被せてしまうと被せ物が外れやすいため、埋まっている歯を出すためのクラウンレングスニング処置を行い、その後、ジルコニアクラウンで被せ物を行いました。
<リスク・副作用>
手術後は痛み、腫れ、痺れ、青あざなどの副作用が生じます。痛みは痛み止めを処方しますが、腫れ、青あざは1週間程度生じる場合があります。また、部位によっては神経の走行が複雑で、痺れが残り、長期的にお薬を処方する場合があります。
Case41
-
- 原因
- 銀歯を白くしたい
-
- 治療内容
- 35ダイレクトボンディング、36セラミックインレー
-
- 治療費用
- 35:66,000円、36:77,000円
2本の銀歯を白くしたいとのことでご来院されました。手前の小臼歯はダイレクトボンディングで行いました。
<リスク・副作用>
過度の咬合や衝撃で割れることがあります。術後は痛み、腫れ、痺れなどの副作用が生じる場合があります。
Case41
-
- 原因
- 銀歯を白くしたい
-
- 治療内容
- セラミックインレー修復
-
- 治療費用
- 154,000円
2本の銀歯を白くしたいとのことでご来院されました患者様にセラミックインレーで修復したケースです。
<リスク・副作用>
過度の咬合や衝撃で割れることがあります。術後は痛み、腫れ、痺れなどの副作用が生じる場合があります。
Case42
-
- 原因
- 重度カリエス
-
- 治療内容
- ジルコニアクラウン修復
-
- 治療費用
- 170,500円(仮歯を含む)
重度のむし歯をジルコニアクラウンで修復したケースです。
<リスク・副作用>
過度の咬合や衝撃で割れることがあります。術後は痛み、腫れ、痺れなどの副作用が生じる場合があります。
Case43
-
- 原因
- 重度カリエス、インレー・クラウン二次カリエス
-
- 治療内容
- 47:自家歯牙移植 46:ダイレクトボンディング 45:ジルコニアクラウン
-
- 治療費用
- 約456,500円
虫歯が大きく、保存困難な右下7番を埋まっている親知らずを再利用しました。経過も良好です。
<リスク・副作用>
治療後、痛みや違和感、出血、腫れなどが出る事があります。喫煙者、糖尿病などの方の場合、歯が生着しない場合があります。
Case44
-
- 原因
- 前歯部不良補綴
-
- 治療内容
- APF、ダイレクトボンディング、セラミック補綴、ホワイトニング
-
- 治療費用
- 約350,000円
前歯部の歯茎の色ならびに被せ物をやりかえたいとのことでご来院された患者様です。特に歯茎の色に対して、かなりショックをうけられておりました。歯茎も綺麗に治り、満足していただけました。
<リスク・副作用>
手術後は痛み、腫れ、痺れ、青あざなどの副作用が生じます。痛みは痛み止めを処方しますが、腫れ、青あざは1週間程度生じる場合があります。また、部位によっては神経の走行が複雑で、痺れが残り、長期的にお薬を処方する場合があります。
Case45
-
- 原因
- インレー2次カリエス
-
- 治療内容
- セラミックインレー修復
-
- 治療費用
- 77,000円
インレー2次カリエスをセラミックインレーで修復したケースです。
<リスク・副作用>
過度の咬合や衝撃で割れることがあります。術後は痛み、腫れ、痺れなどの副作用が生じる場合があります。
Case46
-
- 原因
- FMC 2次カリエス
-
- 治療内容
- ジルコニアクラウン修復
-
- 治療費用
- 165,000円(仮歯5,500円)
FMC2次カリエスをジルコニアクラウンで修復したケースです。
<リスク・副作用>
過度の咬合や衝撃で割れることがあります。術後は痛み、腫れ、痺れなどの副作用が生じる場合があります。
Case47
-
- 原因
- セラミックインレー 2次カリエス
-
- 治療内容
- セラミックインレー修復
-
- 治療費用
- 77,000円
セラミックインレー 2次カリエスをセラミックインレーで修復したケースです。
<リスク・副作用>
過度の咬合や衝撃で割れることがあります。術後は痛み、腫れ、痺れなどの副作用が生じる場合があります。
Case48
-
- 原因
- 前歯部不良補綴物
-
- 治療内容
- MTM、クラウンレングスニング、ジルコニアセラミッククラウン修復
-
- 治療費用
- 約540,000円
前歯の被せ物をやりかえたいとのことでご来院された患者様です。被せ物を外した歯の状態が悪かったため、部分矯正にて骨に埋まっている歯を出し、手術を行い、歯茎のラインを整え、被せ物を行いました。患者様も満足されております。
<リスク・副作用>
手術後は痛み、腫れ、痺れ、青あざなどの副作用が生じます。痛みは痛み止めを処方しますが、腫れ、青あざは1週間程度生じる場合があります。また、部位によっては神経の走行が複雑で、痺れが残り、長期的にお薬を処方する場合があります。
Case49
-
- 原因
- 重度カリエス
-
- 治療内容
- セラミックインレー修復
-
- 治療費用
- 77,000円
重度カリエスをセラミックインレーで修復したケースです。
<リスク・副作用>
過度の咬合や衝撃で割れることがあります。術後は痛み、腫れ、痺れなどの副作用が生じる場合があります。
Case50
-
- 原因
- 右下5番欠損
-
- 治療内容
- ジルコニアブリッジ修復
-
- 治療費用
- 525,000円(別途仮歯33,000円)
右下の奥歯が以前から歯がなく、また、両サイドの歯も虫歯の治療を希望され、ご来院されました。インプラント治療も検討しましたが、患者様と相談し、ジルコニアブリッジを選択致しました。大変満足していただけました。
<リスク・副作用>
過度の咬合や衝撃で割れることがあります。術後は痛み、腫れ、痺れなどの副作用が生じる場合があります。
Case51
-
- 原因
- 重度カリエス
-
- 治療内容
- クラウンレングスニング、ジルコニアクラウン修復
-
- 治療費用
- 約460,000円
重度カリエスにクラウンレングスニングを施しジルコニアクラウンで修復したケースです。
<リスク・副作用>
手術後は痛み、腫れ、痺れ、青あざなどの副作用が生じます。痛みは痛み止めを処方しますが、腫れ、青あざは1週間程度生じる場合があります。また、部位によっては神経の走行が複雑で、痺れが残り、長期的にお薬を処方する場合があります。ジルコニアは過度の咬合や衝撃で割れることがあります。術後は痛み、腫れ、痺れなどの副作用が生じる場合があります。
Case52
-
- 原因
- セラミックインレー破折、メタルインレー不適合
-
- 治療内容
- ダイレクトボンディング、セラミックインレー修復
-
- 治療費用
- 220,000円(セラミックインレー2歯分、ダイレクボンディング1歯分)
他院で行ったセラミックインレーの破折とメタルインレーの脱離、並びに、メタルインレーのやり変えを主訴にご来院された患者様です。ダイレクトボンディングとセラミックインーにて治療を行いました。
<リスク・副作用>
治療中もしくは治療後に急に痛みが出る場合があります。感染が強い場合には痛みが激しいことがありますので、その際は痛み止め、抗生剤を処方する場合があります。
また、ダイレクトボンディングは強い衝撃などにより欠けたりすることがある。経年的に劣化(変色)してくる可能性がある。セラミックインレーは過度の咬合や衝撃で割れることがあります。術後は痛み、腫れ、痺れなどの副作用が生じる場合があります。
Case53
-
- 原因
- 右下7番欠損、右下6番重度カリエス
-
- 治療内容
- 自家歯牙移植、ジルコニアクラウン修復
-
- 治療費用
- 約537,000円(移植費用、ジルコニアクラウン2歯分)
救急外来で右下の一番奥歯を抜歯し、後日当医院来院された患者様です。患者様と相談し、抜歯後日が浅いため、右上の親知らずの移植を提案し、行いました。親知らずの虫歯が大きかったため、被せ物も行いました。術後問題なく経過し、大変ご満足頂けました。
<リスク・副作用>
治療後、痛みや違和感、出血、腫れなどが出る事があります。喫煙者、糖尿病などの方の場合、歯が生着しない場合があります。ジルコニアは過度の咬合や衝撃で割れることがあります。術後は痛み、腫れ、痺れなどの副作用が生じる場合があります。
Case54
-
- 原因
- セラミックインレー破折
-
- 治療内容
- セラミックインレー
-
- 治療費用
- 77,000円
他院で行なったセラミックインレーが破折したため、やりかえを行いました。
<リスク・副作用>
過度の咬合や衝撃で割れることがあります。術後は痛み、腫れ、痺れなどの副作用が生じる場合があります。
Case55
-
- 原因
- CR不適、重度カリエス
-
- 治療内容
- セラミックインレー修復、ダイレクトボンディング
-
- 治療費用
- 77,000円×2=154,000円(セラミックインレー)
66,000円(ダイレクトボンディング)
他院で行ったCR(プラスチック)治療が欠けて、しみるとのことでご来院されました。セラミック治療とダイレクトボンディングを併用し、治療を行いました。
<リスク・副作用>
過度の咬合や衝撃で割れることがあります。術後は痛み、腫れ、痺れなどの副作用が生じる場合があります。
Case56
-
- 原因
- CR不適、重度カリエス
-
- 治療内容
- セラミックインレー修復、ダイレクトボンディング
-
- 治療費用
- 77,000円(セラミックインレー)
66,000円×2=132,000円(ダイレクトボンディング)
他院で行ったCR(プラスチック)治療が欠けて、しみるとのことでご来院されました。セラミック治療とダイレクトボンディングを併用し、治療を行いました。
<リスク・副作用>
過度の咬合や衝撃で割れることがあります。術後は痛み、腫れ、痺れなどの副作用が生じる場合があります。
Case57
-
- 原因
- メタルアンレー不適
-
- 治療内容
- セラミッククラン修復、ダイレクトボンディング修復
-
- 治療費用
- 188,000円
銀歯をセラミックに変更したいとのことでご来院された患者様です。
<リスク・副作用>
過度の咬合や衝撃で割れることがあります。術後は痛み、腫れ、痺れなどの副作用が生じる場合があります。
Case58
-
- 原因
- メタルインレー、メタルクラウン不適
-
- 治療内容
- セラミックインレー、セラミッククラウン修復
-
- 治療費用
- 188,000円
銀歯をセラミックに変更したいとのことでご来院された患者様です。
<リスク・副作用>
過度の咬合や衝撃で割れることがあります。術後は痛み、腫れ、痺れなどの副作用が生じる場合があります。
Case59
-
- 原因
- メタルインレー不適
-
- 治療内容
- セラミックインレー修復
-
- 治療費用
- 77,000円
フロスをすると銀歯の部分に引っかかりがあるとのことで、セラミックでのやり換えを希望された患者様です。満足して頂き、今後はすこしずつ銀歯を白くしていく予定です。
<リスク・副作用>
過度の咬合や衝撃で割れることがあります。術後は痛み、腫れ、痺れなどの副作用が生じる場合があります。
Case60
-
- 原因
- 前装冠不適
-
- 治療内容
- セラミッククラウン修復
-
- 治療費用
- 約770,000円(4歯分)
前歯の被せ物をやりかえたいとのことでご来院された患者様です。被せ物のやりかえのみならず、他院で行った歯根端手術後もフィステルが消えないとのことで、再歯根端手術も別途行いました。経過良好です。
<リスク・副作用>
過度の咬合や衝撃で割れることがあります。術後は痛み、腫れ、痺れなどの副作用が生じる場合があります。
Case61
-
- 原因
- インレー不適、クラウン不適
-
- 治療内容
- セラミック治療
-
- 治療費用
- 244,000円
救急外来で右下の一番奥歯を抜歯し、後日当医院来院された患者様です。患者様と相談し、抜歯後日が浅いため、右上の親知らずの移植を提案し、行いました。親知らずの虫歯が大きかったため、被せ物も行いました。術後問題なく経過し、大変ご満足頂けました。
<リスク・副作用>
過度の咬合や衝撃で割れることがあります。術後は痛み、腫れ、痺れなどの副作用が生じる場合があります。
Case60
-
- 原因
- 重度カリエス
-
- 治療内容
- セラミック治療、ゴールドクラウン治療
-
- 治療費用
- 574,000円(4歯分)
被せ物の中が虫歯であったため、セラミックとゴールドの材料で治療のやりかえを行いました。
<リスク・副作用>
過度の咬合や衝撃で割れることがあります。術後は痛み、腫れ、痺れなどの副作用が生じる場合があります。
Case61
-

前歯部重度カリエス
-

術中
-

術後
-

前歯部重度カリエス
-

抜去
-

骨造成
-

インプラント術後
-
- 原因
- 前歯部重度カリエス
-
- 治療内容
- インプラント治療並びにセラミック補綴治療
-
- 治療期間
- 約1年
-
- 治療費用
- 約800,000円
前歯の歯が取れたとのことでご来院された患者様です。前歯が完全に折れており、インプラント治療を提案させていただき、治療させて頂きました。大きな問題もなく、大変満足していただけました。
<リスク・副作用>
手術後は痛み、腫れ、痺れ、青あざなどの副作用が生じます。痛みは痛み止めを処方しますが、腫れ、青あざは1週間程度生じる場合があります。また、部位によっては神経の走行が複雑で、痺れが残り、長期的にお薬を処方する場合があります。
Case62
-
- 原因
- 重度カリエス
-
- 治療内容
- セラミックインレー修復、ジルコニアクラウン修復
-
- 治療費用
- 242,000円
被せ物が外れたため、やり変え希望された患者様です。セラミックインレーとジルコニアクラウンで治療を行いました。
<リスク・副作用>
過度の咬合や衝撃で割れることがあります。術後は痛み、腫れ、痺れなどの副作用が生じる場合があります。
Case63
-
- 原因
- 重度カリエス
-
- 治療内容
- 断髄治療、セラミッククラウン修復
-
- 治療費用
- 断髄治療:77,000円
セラミッククラウン修復:121,000円
-
- 担当医
- Dr. 炭野
左上の歯がしみるとのことでご来院された患者様です。虫歯を全ての虫歯をとることで、神経が露出するため、感染している神経の除去を目的とした断髄治療を行い、その後、セラミックで治療しました。経過良好です。
<リスク・副作用>
過度の咬合や衝撃で割れることがあります。術後は痛み、腫れ、痺れなどの副作用が生じる場合があります。症状が再発する可能性があります。その場合は抜髄する必要があります。
Case63
-
- 原因
- クラウン2次カリエス
-
- 治療内容
- ジルコニアクラウン修復
-
- 治療費用
- 165,000円
右上の銀歯に違和感があるとのことでご来院された患者様です。被せ物をジルコニアクラウンに変更しました。
<リスク・副作用>
過度の咬合や衝撃で割れることがあります。術後は痛み、腫れ、痺れなどの副作用が生じる場合があります。症状が再発する可能性があります。その場合は抜髄する必要があります。
Case64
-
- 原因
- 重度カリエス
-
- 治療内容
- 部分矯正、クラウンレングスニング、ジルコニアセラミッククラウン
-
- 治療費用
- 約242,000円
前歯の被せ物がぐらつく、とのことでご来院された患者様です。被せ物を外すと大きな虫歯となっておりましたが、患者様は保存を希望されたため、部分矯正を行い、埋まっている歯を引っ張り、保存を行いました。被せ物の出来栄えも満足していただき、経過も良好です。
<リスク・副作用>
手術後は痛み、腫れ、痺れ、青あざなどの副作用が生じます。痛みは痛み止めを処方しますが、腫れ、青あざは1週間程度生じる場合があります。また、部位によっては神経の走行が複雑で、痺れが残り、長期的にお薬を処方する場合があります。過度の咬合や衝撃で割れることがあります。
Case64
-
- 原因
- 左上2番不良補綴
-
- 治療内容
- ジルコニアセラミッククラウン
-
- 治療費用
- 186,000円
前歯の被せ物をやりかえたいとの事でご来院された患者様です。仮歯を調整し、最終的な被せ物を行いました。大変満足していただき、経過も良好です。
<リスク・副作用>
過度の咬合や衝撃で割れることがあります。術後は痛み、腫れ、痺れなどの副作用が生じる場合があります。症状が再発する可能性があります。その場合は抜髄する必要があります。
Case65
-
- 原因
- 慢性根尖性歯周炎
-
- 治療内容
- マイクロエンド治療、ジルコニア補綴
-
- 治療費用
- 297,000円
左上の奥歯に違和感があるとのことでご来院された患者様です。マイクロスコープ下にて治療を行い、ジルコニア補綴を行いました。大変満足されております。
<リスク・副作用>
過度の咬合や衝撃で割れることがあります。術後は痛み、腫れ、痺れなどの副作用が生じる場合があります。症状が再発する可能性があります。その場合は抜髄する必要があります。
Case65
-
- 原因
- FMC不適
-
- 治療内容
- ジルコニア補綴治療、セラミックインレー修復
-
- 治療費用
- 253,000円
銀歯を白くしたいとのことでご来院された患者様です。ジルコニア治療とセラミックインレーで治療を行いました。経過良好です。
<リスク・副作用>
過度の咬合や衝撃で割れることがあります。術後は痛み、腫れ、痺れなどの副作用が生じる場合があります。症状が再発する可能性があります。その場合は抜髄する必要があります。
Case66
-
- 原因
- インレー脱離、2次カリエス
-
- 治療内容
- セラミッククラウン修復
-
- 治療費用
- 122,000円
被せ物が取れたとのことでご来院された患者様です。虫歯をしっかり取り除き、セラミックで被せ治しました。
<リスク・副作用>
過度の咬合や衝撃で割れることがあります。術後は痛み、腫れ、痺れなどの副作用が生じる場合があります。症状が再発する可能性があります。その場合は抜髄する必要があります。
Case67
-
- 原因
- FMC不適合
-
- 治療内容
- ジルコニアクラウン修復
-
- 治療費用
- 165,000円
上の奥歯の銀歯を治したいとのことでご来院された患者様です。ジルコニアクラウンで治療を行いました。
<リスク・副作用>
過度の咬合や衝撃で割れることがあります。術後は痛み、腫れ、痺れなどの副作用が生じる場合があります。症状が再発する可能性があります。その場合は抜髄する必要があります。
Case68
-
- 原因
- 左上3番不良補綴、左上2番カリエス
-
- 治療内容
- ダイレクトボンディング治療、ジルコニアセラミッククラウン治療
-
- 治療費用
- 約252,000円
糸切り歯の形、色が気になるとのことでご来院された患者様です。ジルコニアセラミッククラウンにて治療を行い、周りの歯の虫歯はダイレクトボンディングで行いました。大変満足して頂きました。
<リスク・副作用>
過度の咬合や衝撃で割れることがあります。術後は痛み、腫れ、痺れなどの副作用が生じる場合があります。症状が再発する可能性があります。その場合は抜髄する必要があります。
Case69
-
- 原因
- 不良補綴物
-
- 治療内容
- セラミックインレー修復
-
- 治療費用
- 77,000円
プラスチックの詰め物が虫歯になっており、やり変えとしてセラミックインレーで治療しました。
<リスク・副作用>
過度の咬合や衝撃で割れることがあります。術後は痛み、腫れ、痺れなどの副作用が生じる場合があります。症状が再発する可能性があります。その場合は抜髄する必要があります。
Case70
-
- 原因
- インレー脱離並びに不良補綴物、2次カリエス
-
- 治療内容
- セラミックインレー並びにセラミッククラウン治療
-
- 治療費用
- 77,000円+122,000円×2
奥歯の3本の歯の銀歯を治したいとのことでご来院された患者様です。奥歯の3本をまとめて治療し、経過良好です。仕上がりにも大変満足していただけました。
<リスク・副作用>
過度の咬合や衝撃で割れることがあります。術後は痛み、腫れ、痺れなどの副作用が生じる場合があります。症状が再発する可能性があります。その場合は抜髄する必要があります。
Case71
-
- 原因
- インレー2次カリエス
-
- 治療内容
- セラミックインレー修復
-
- 治療費用
- 77,000円
左下の奥歯の銀歯に引っ掛かりがあるとのことで、セラミック治療をご希望された患者様です。経過良好です。
<リスク・副作用>
過度の咬合や衝撃で割れることがあります。術後は痛み、腫れ、痺れなどの副作用が生じる場合があります。症状が再発する可能性があります。その場合は抜髄する必要があります。
Case72
-
- 原因
- インレー2次カリエス
-
- 治療内容
- ダイレクトボンディング、セラミックインレー修復
-
- 治療費用
- 143,000円
銀歯に引っ掛かりがあるため、セラミックでやり変えを希望された患者様です。経過良好です。
<リスク・副作用>
過度の咬合や衝撃で割れることがあります。術後は痛み、腫れ、痺れなどの副作用が生じる場合があります。症状が再発する可能性があります。その場合は抜髄する必要があります。
Case73
-
- 原因
- インレー2次カリエス、ゴールドクラウン2次カリエス
-
- 治療内容
- 自家歯牙移植、ジルコニアクラウン修復
-
- 治療費用
- 264,000円
ゴールドの被せ物がそれぞれ虫歯になっており、再度ゴールドの補綴でやり変えを希望された患者様です。経過良好で大変満足していただきました。
<リスク・副作用>
過度の咬合や衝撃で割れることがあります。術後は痛み、腫れ、痺れなどの副作用が生じる場合があります。症状が再発する可能性があります。その場合は抜髄する必要があります。
Case74
-
- 原因
- 重度カリエス
-
- 治療内容
- セラミックインレー修復
-
- 治療費用
- 77,000円
虫歯があるとのことでご来院された患者様です。虫歯をきれいに取り、セラミックインレーで治療しました。大変満足して頂けました。
<リスク・副作用>
過度の咬合や衝撃で割れることがあります。術後は痛み、腫れ、痺れなどの副作用が生じる場合があります。症状が再発する可能性があります。その場合は抜髄する必要があります。
Case75
-
- 原因
- CR破折(プラスチック)
-
- 治療内容
- ジルコニアクラウン治療
-
- 治療費用
- 165,000円
プラスチックの詰め物が壊れたとのことでご来院された患者様です。ジルコニアクラウンで修復いたしました。
<リスク・副作用>
過度の咬合や衝撃で割れることがあります。術後は痛み、腫れ、痺れなどの副作用が生じる場合があります。症状が再発する可能性があります。その場合は抜髄する必要があります。
Case76
-
- 原因
- 歯牙破折
-
- 治療内容
- ジルコニアクラウン
-
- 治療費用
- 165,000円
-
- 担当医
- Dr.炭野
歯が割れてしまったとのことで来院されました。歯ぎしりも行う方だったため、強度のあるジルコニアクラウンにて治療を行いました。
<リスク・副作用>
過度の咬合や衝撃で割れることがあります。術後は痛み、腫れ、痺れなどの副作用が生じる場合があります。症状が再発する可能性があります。その場合は抜髄する必要があります。
Case77
-
- 原因
- 2次齲蝕
-
- 治療内容
- セラミッククラウン
-
- 治療費用
- 122,000円
-
- 担当医
- Dr.炭野
以前治療した詰め物の境目から虫歯になり歯が割れてしまっています。残っている健康な歯も少ないため、被せる形のセラミッククラウンにて治療を行いました。
<リスク・副作用>
過度の咬合や衝撃で割れることがあります。術後は痛み、腫れ、痺れなどの副作用が生じる場合があります。症状が再発する可能性があります。その場合は抜髄する必要があります。
Case78
-
- 原因
- CR破折
-
- 治療内容
- セラミッククラウン
-
- 治療費用
- 122,000円
何度も同じところが欠けるとのことで、セラミッククラウンでの治療を行いました。大変満足して頂けました。
<リスク・副作用>
過度の咬合や衝撃で割れることがあります。術後は痛み、腫れ、痺れなどの副作用が生じる場合があります。症状が再発する可能性があります。その場合は抜髄する必要があります。
Case79
-
- 原因
- 2次齲蝕
-
- 治療内容
- ジルコニアクラウン
-
- 治療費用
- 165,000円
-
- 担当医
- Dr.炭野
以前治療した詰め物の境目から虫歯になっていました。虫歯を取り除き、被せる形で強度のあるジルコニアクラウンにて治療を行いました。
<リスク・副作用>
過度の咬合や衝撃で割れることがあります。術後は痛み、腫れ、痺れなどの副作用が生じる場合があります。症状が再発する可能性があります。その場合は抜髄する必要があります。
詰め物・被せ物の費用
※費用は税込価格です。
| 種類 | 税込価格 |
|---|---|
| フルジルコニア | ¥165,000 |
| ジルコニアセラミック(前歯) | ¥176,000 |
| TEC | ¥11,000 |
| E-maxクラウン・ アンレー |
¥122,000 |
| ゴールドクラウン | ¥165,000 |
| E-maxインレー | ¥77,000 |
| ゴールドインレー | ¥99,000 |
| ダイレクトボンディング | ¥66,000 |
| 前歯の ダイレクトボンディング |
¥132,000 |
歯を白く美しくするのメニュー
-

- セラミック治療
- 身体に優しく、見た目も白く綺麗なメタルフリー治療のご紹介。
-

- 前歯のセラミック補綴治療
- 前歯のセラミック補綴治療で笑顔を取り戻しませんか?
-

- ダイレクトボンディング
- 歯の削る量が少ないことと、歯にかなり近い色を再現できるダイレクトボンディング。
-

- ホワイトニング
- ホワイトニングで歯を白くして印象をアップしませんか?
-

- 失活歯のブリーチング
- ホワイトニングで歯を白くして印象をアップしませんか?
-

- ガミースマイル改善治療
- ガミースマイルでお悩みの方はお気軽にご相談ください。
-

- 治療費
- 両国Ai歯科クリニックの保険外治療の治療費のページ。
ウェブ診療予約COUNSELING
患者様とのコミュニケーションを重視し、
エビデンスに基づいた質の高い歯科治療を
おこなうことを心掛けております。
歯が悪くならないように予防をし、
悪くなった歯は可能な限り歯を残すことを
コンセプトに
スタッフ一同で患者様に
寄り添い対応いたしますので、
お気軽にご相談ください。
ACCESS
両国駅、森下駅から徒歩7分
〒130-0026
東京都墨田区両国4-6-3
M.D.Cビル1F
| 診療時間 | 月 | 火 | 水 | 木 | 金 | 土 | 日 | 祝 |
|---|---|---|---|---|---|---|---|---|
| 09:30~13:00 | ○ | ○ | ○ | ○ | ○ | ○ | × | × |
| 14:00~18:30 | ○ | ○ | ○ | ○ | ○ | △ | × | × |
△土曜午後 14:00~17:30
休診日:日曜・祝日
両国Ai歯科クリニックはJR総武線 両国駅東口徒歩7分、都営大江戸線 両国駅A5出口徒歩7分、都営新宿線 森下駅A2出口徒歩7分の場所にある歯科医院です。
土曜診療をしておりますので、お仕事や学校が忙しい患者様にも通院がしやすいので歯のことでお困りでしたらお気軽にご相談下さい。









































































































































































































































