当院の親知らずの抜歯
について

親知らずの抜歯は必要?
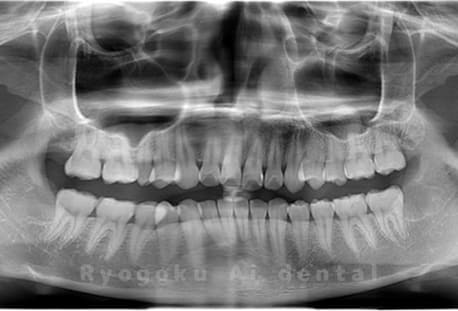
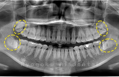
親知らずとは第3大臼歯のことを言います。すなわち、前歯から数えて8番目に歯ある場合が親知らずです。イラストの番号が8番の部分が親知らずです。
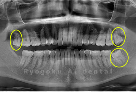
親知らずは、生え方によっては放っておくと、痛くなったり、周りの歯肉が腫れたりする場合があります。
歯肉に一部埋まっていてなかなか出てこない場合や横向きに生えてるときは腫れや痛みがひどくなり、悪化すると他の歯に悪影響を与えることがあります。そうなると抜歯しなくてはいけません。
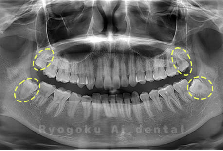
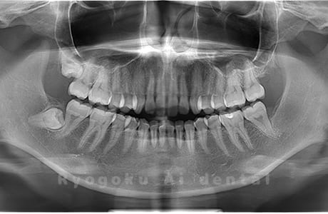
当院では、CTスキャンを完備しておりますので、より安全になるべく痛くないように心掛けて抜歯を行なっております。親知らずでお困りでしたら、当院にお気軽にご相談ください。
親知らずを抜歯する条件
親知らずは以下のような時は抜く必要があります。
-
- Conditions 1
- 親知らず周辺の歯肉が繰り返し腫れたり、痛いとき。
-
- Conditions 2
- 食べ物が挟まりやすく、親知らず手前の歯が虫歯になりそうなとき。
-
- Conditions 3
- 親知らずが横に押して、歯並びに影響が出ていている。
-
- Conditions 4
- 親知らずのあたりが臭う、膿がでる場合。
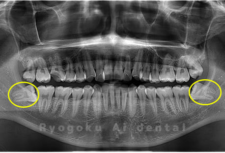
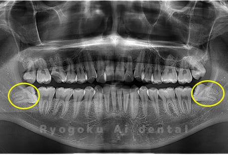
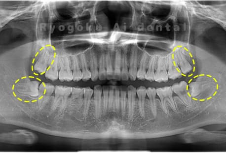
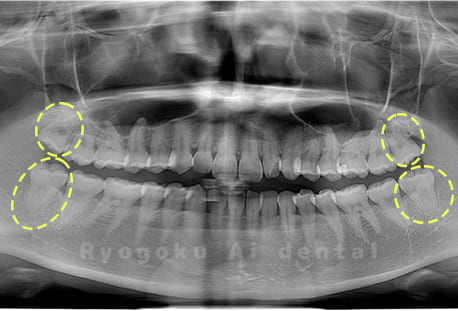
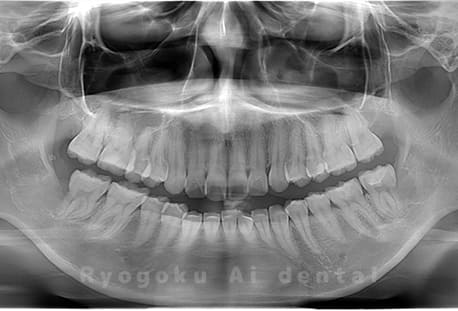
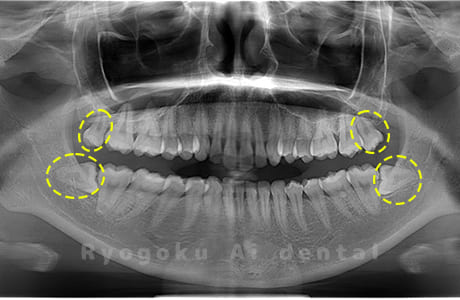
親知らずの種類
真っ直ぐ生えている親知らず
親知らずが真っ直ぐ生えているタイプです。
このタイプは真っ直ぐ生えていて咬み合わせに問題がなければ、抜歯しないケースもあります。ただし、虫歯になっていたり、痛みがあったり、咬み合わせが悪かったりすると抜歯をおすすめします。
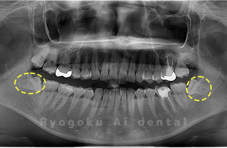
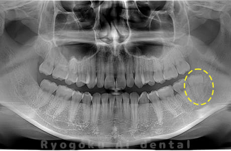
斜めに生えている親知らず
親知らずが斜めに生えて隣の歯にぶつかって圧迫してしまうタイプです。
このタイプが最も多いです。このタイプは虫歯になりやすいだけでなく、隣の歯を圧迫し、咬み合わせや歯並びに影響が出る場合もあるので抜歯をおすすめします。
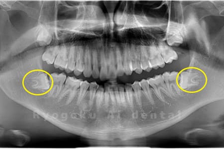
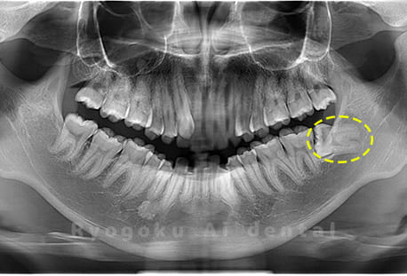
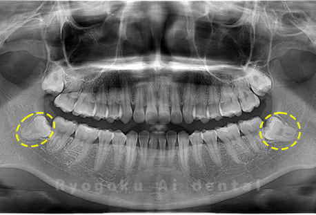
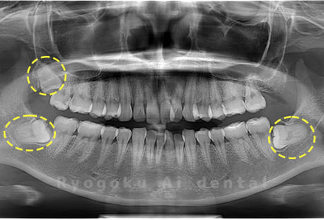
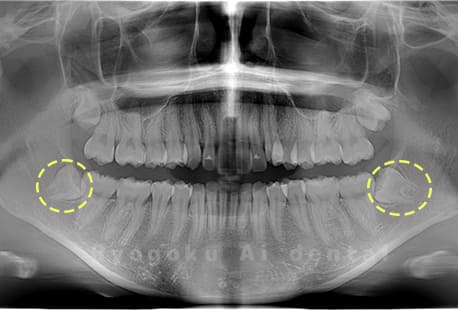
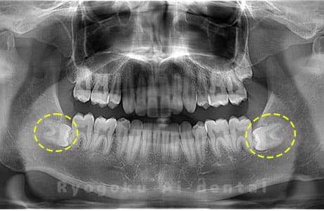
水平埋伏の親知らず
歯茎の中で完全に横に生えてしまうタイプです。
この親知らずを水平埋伏智歯と言います。このタイプはほとんどが下顎のケースです。真横に生えているので抜歯の際は難易度が高く2~3つに砕いて分けて抜歯をします。
抜歯後の注意点について
抜歯後に注意すべきポイントを詳しくご紹介しています。回復をスムーズに進めるためのアドバイスや、日常生活で気をつけるべきことをまとめていますので、抜歯を控えている方や術後の経過が気になる方はぜひご参考ください。
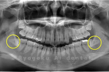
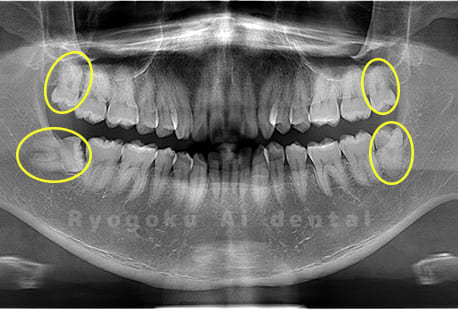
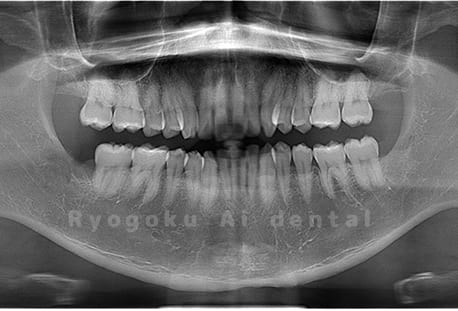
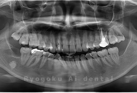
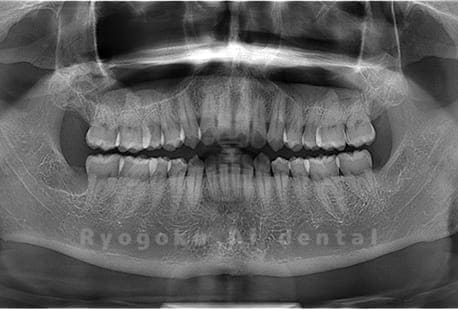
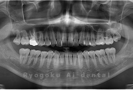
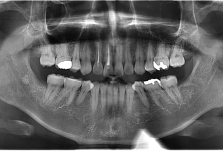
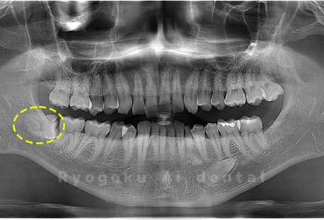
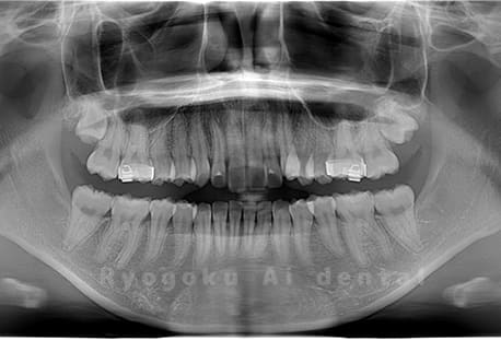
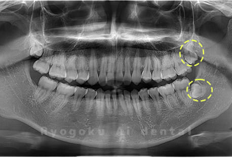
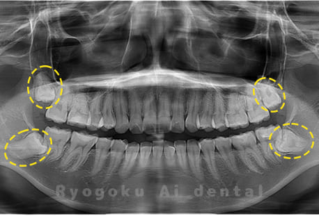
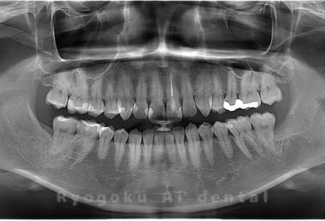
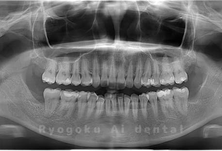
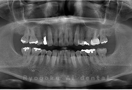
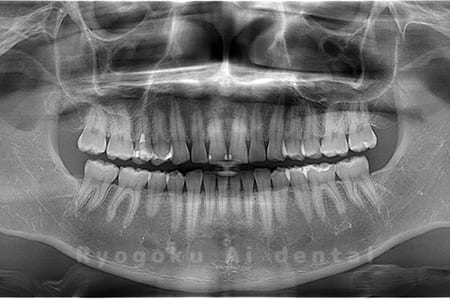
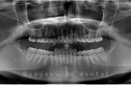
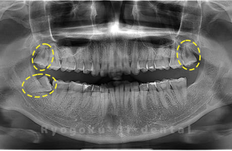
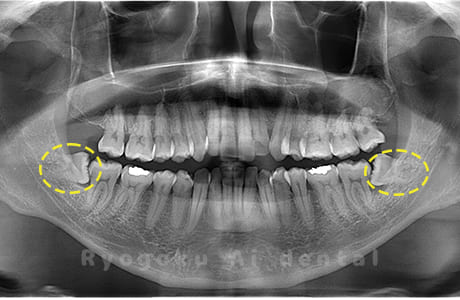
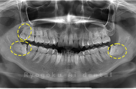
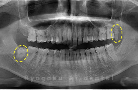
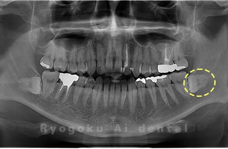
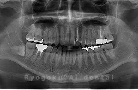
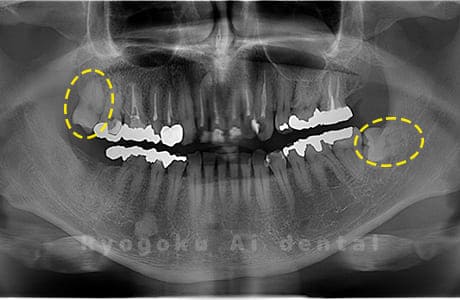
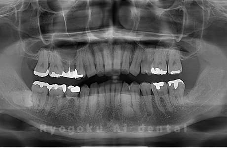
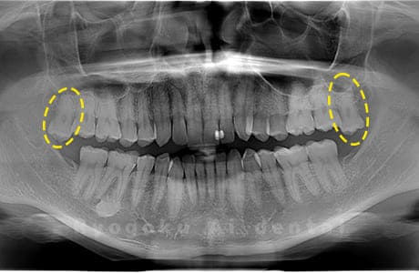
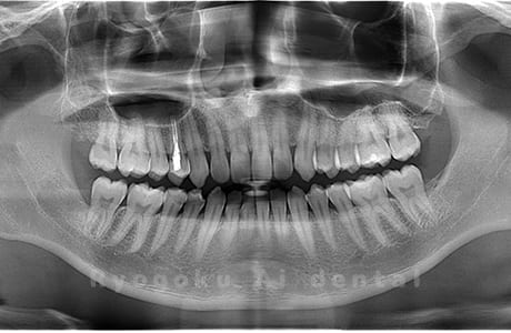
親知らずの抜歯の症例
Case01
-
- 原因
- 水平埋伏智歯
-
- 治療内容
- 下顎の水平埋伏智歯を抜歯
<リスク・副作用>
手術後は痛み、腫れ、痺れなどの副作用が生じる場合があります。
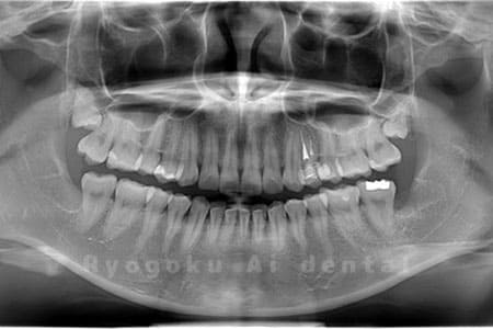
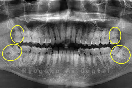
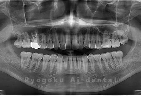
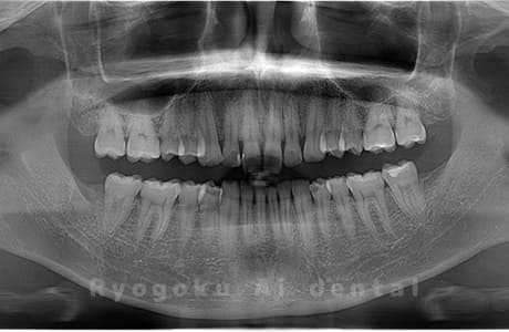
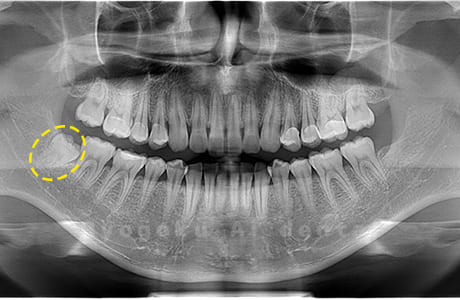
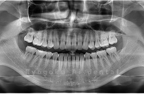
Case02
-
- 原因
- 下顎の水平埋伏智歯
-
- 治療内容
- 下顎の水平埋伏智歯を抜歯
<リスク・副作用>
手術後は痛み、腫れ、痺れなどの副作用が生じる場合があります。
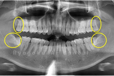
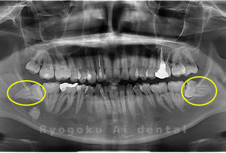
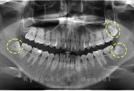
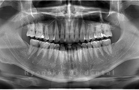
Case03
-
- 原因
- 上顎、下顎の親知らず
-
- 治療内容
- 上下4本の親知らずを抜歯したケースです。
<リスク・副作用>
手術後は痛み、腫れ、痺れなどの副作用が生じる場合があります。
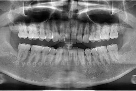
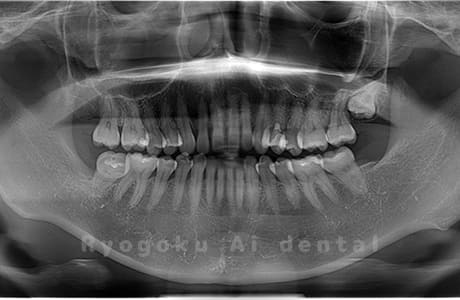
Case04
-
- 原因
- 上顎の親知らず、下顎の水平埋伏の親知らず
-
- 治療内容
- 上顎の親知らず、下顎の水平埋伏の親知らずを抜歯したケースです。
<リスク・副作用>
手術後は痛み、腫れ、痺れなどの副作用が生じる場合があります。
Case05
-
- 原因
- 下顎の親知らず2本
-
- 治療内容
- 下顎の親知らず2本を抜歯したケースです。
<リスク・副作用>
手術後は痛み、腫れ、痺れなどの副作用が生じる場合があります。
Case06
-
- 原因
- 上顎、下顎の親知らず4本
-
- 治療内容
- 上顎2本、下顎2本の親知らずを抜歯したケースです。
<リスク・副作用>
手術後は痛み、腫れ、痺れなどの副作用が生じる場合があります。
Case07
-
- 原因
- 上顎、下顎の親知らず4本
-
- 治療内容
- 上顎2本、下顎2本の親知らずを抜歯したケースです。
<リスク・副作用>
手術後は痛み、腫れ、痺れなどの副作用が生じる場合があります。
Case08
-
- 原因
- 下顎の水平埋伏智歯2本
-
- 治療内容
- 下顎の水平埋伏智歯2本を抜歯したケースです。
<リスク・副作用>
手術後は痛み、腫れ、痺れなどの副作用が生じる場合があります。
Case09
-
- 原因
- 下顎左の水平埋伏智歯
-
- 治療内容
- 下顎左の水平埋伏智歯を抜歯したケースです。
<リスク・副作用>
手術後は痛み、腫れ、痺れなどの副作用が生じる場合があります。
Case10
-
- 原因
- 下顎左の親知らず
-
- 治療内容
- 下顎左の親知らずを抜歯したケースです。
<リスク・副作用>
手術後は痛み、腫れ、痺れなどの副作用が生じる場合があります。
Case11
-
- 原因
- 下顎左右の親知らず
-
- 治療内容
- 下顎左右の親知らずを抜歯したケースです。
<リスク・副作用>
手術後は痛み、腫れ、痺れなどの副作用が生じる場合があります。
Case12
-
- 原因
- 下顎左の親知らず
-
- 治療内容
- 下顎左の親知らずを抜歯したケースです。
<リスク・副作用>
手術後は痛み、腫れ、痺れなどの副作用が生じる場合があります。
Case13
-
- 原因
- 上顎下顎3本の親知らず
-
- 治療内容
- 上顎下顎3本の親知らずを抜歯したケースです。
<リスク・副作用>
手術後は痛み、腫れ、痺れなどの副作用が生じる場合があります。
Case14
-
- 原因
- 重度カリエス、親知らず
-
- 治療内容
- 親知らずの抜歯、移植手術、マイクロエンド、ダイレクトボンディング
-
- 治療費用
- 220,000円
他院で親知らずと共に抜歯と診断された患者様です。親知らずの抜歯の必要性と左下奥歯の保存を試みた場合、歯の状態から根管治療、歯周外科、補綴の必要性から、移植治療を選択されました。大きな問題もなく、治療後も経過良好です。
<リスク・副作用>
治療後、痛みや違和感、出血、腫れなどが出る事があります。喫煙者、糖尿病などの方の場合、歯が生着しない場合があります。
Case15
-
- 原因
- 下顎左右2本の親知らず
-
- 治療内容
- 下顎左右2本の親知らずを抜歯したケースです。
<リスク・副作用>
手術後は痛み、腫れ、痺れなどの副作用が生じる場合があります。
Case16
-
- 原因
- 下顎左の親知らず
-
- 治療内容
- 下顎左の親知らずを抜歯したケースです。
<リスク・副作用>
手術後は痛み、腫れ、痺れなどの副作用が生じる場合があります。
Case17
-
- 原因
- 上顎左右、下顎左の親知らず3本
-
- 治療内容
- 上顎左右、下顎左の親知らずを3本抜歯したケースです。
<リスク・副作用>
手術後は痛み、腫れ、痺れなどの副作用が生じる場合があります。
Case18
-
- 原因
- 上顎右、下顎右の親知らず2本
-
- 治療内容
- 上顎右、下顎右の親知らずを2本抜歯したケースです。
<リスク・副作用>
手術後は痛み、腫れ、痺れなどの副作用が生じる場合があります。
Case19
-
- 原因
- 下顎右の親知らず
-
- 治療内容
- 下顎右の親知らずを抜歯したケースです。
<リスク・副作用>
手術後は痛み、腫れ、痺れなどの副作用が生じる場合があります。
Case20
-
- 原因
- 下顎右の親知らず
-
- 治療内容
- 下顎右の親知らずを抜歯したケースです。
<リスク・副作用>
手術後は痛み、腫れ、痺れなどの副作用が生じる場合があります。
Case21
-
- 原因
- 上下顎左右の4本の親知らず
-
- 治療内容
- 上下顎左右の4本のを抜歯したケースです。
<リスク・副作用>
手術後は痛み、腫れ、痺れなどの副作用が生じる場合があります。
Case22
-
- 原因
- 下顎左右の2本の親知らず
-
- 治療内容
- 下顎左右の2本のを抜歯したケースです。
<リスク・副作用>
手術後は痛み、腫れ、痺れなどの副作用が生じる場合があります。
Case23
-
- 原因
- 下顎右の1本の親知らず
-
- 治療内容
- 下顎右の1本の親知らずを抜歯したケースです。
<リスク・副作用>
手術後は痛み、腫れ、痺れなどの副作用が生じる場合があります。
Case24
-
- 原因
- 下顎左右の埋伏の親知らず
-
- 治療内容
- インプラント治療は他院でおこなっており、当院で下顎左右の埋伏の親知らずを抜歯したケースです。
<リスク・副作用>
手術後は痛み、腫れ、痺れなどの副作用が生じる場合があります。
Case25
-
- 原因
- 上下顎左右の埋伏の親知らず
-
- 治療内容
- 上下顎左右の埋伏の親知らず4本を抜歯したケースです。
<リスク・副作用>
手術後は痛み、腫れ、痺れなどの副作用が生じる場合があります。
Case26
-
- 原因
- 上下顎左右の埋伏の親知らず
-
- 治療内容
- 上下顎左右の埋伏の親知らず4本を抜歯したケースです。
<リスク・副作用>
手術後は痛み、腫れ、痺れなどの副作用が生じる場合があります。
Case27
-
- 原因
- 下顎左右の埋伏の親知らず
-
- 治療内容
- 下顎左右の埋伏の親知らず2本を抜歯したケースです。
<リスク・副作用>
手術後は痛み、腫れ、痺れなどの副作用が生じる場合があります。
Case28
-
- 原因
- 下顎左右の埋伏の親知らず
-
- 治療内容
- 下顎左右の埋伏の親知らず2本を抜歯したケースです。
<リスク・副作用>
手術後は痛み、腫れ、痺れなどの副作用が生じる場合があります。
Case29
-
- 原因
- 上下顎左右の埋伏の親知らず
-
- 治療内容
- 上下顎左右の親知らず4本を抜歯したケースです。
<リスク・副作用>
手術後は痛み、腫れ、痺れなどの副作用が生じる場合があります。
Case30
-
- 原因
- 上下顎左右の4本の親知らず
-
- 治療内容
- 上下顎左右の親知らず4本を抜歯したケースです。
<リスク・副作用>
手術後は痛み、腫れ、痺れなどの副作用が生じる場合があります。
Case31
-
- 原因
- 下顎右の埋伏の親知らず
-
- 治療内容
- 下顎右の埋伏の親知らず1本を抜歯したケースです。
<リスク・副作用>
手術後は痛み、腫れ、痺れなどの副作用が生じる場合があります。
Case32
-
- 原因
- 上顎右、下顎左右の3本の親知らず
-
- 治療内容
- 上顎右、下顎左右の3本の親知らずを抜歯したケースです。
<リスク・副作用>
手術後は痛み、腫れ、痺れなどの副作用が生じる場合があります。
Case33
-
- 原因
- 下顎左の埋伏の親知らず
-
- 治療内容
- 下顎左の1本の埋伏の親知らずを抜歯したケースです。
<リスク・副作用>
手術後は痛み、腫れ、痺れなどの副作用が生じる場合があります。
Case34
-
- 原因
- 下顎右の埋伏の親知らず
-
- 治療内容
- 下顎右の1本の埋伏の親知らずを抜歯したケースです。
<リスク・副作用>
手術後は痛み、腫れ、痺れなどの副作用が生じる場合があります。
Case35
-
- 原因
- 下顎左の埋伏の親知らず
-
- 治療内容
- 下顎左の1本の埋伏の親知らずを抜歯したケースです。
<リスク・副作用>
手術後は痛み、腫れ、痺れなどの副作用が生じる場合があります。
Case36
-
- 原因
- 下顎左右の埋伏の親知らず
-
- 治療内容
- 下顎左右の埋伏の親知らずを抜歯したケースです。
<リスク・副作用>
手術後は痛み、腫れ、痺れなどの副作用が生じる場合があります。
Case37
-
- 原因
- 上顎、下顎左右の埋伏の親知らず
-
- 治療内容
- 上顎、下顎左右の親知らずを抜歯したケースです。
<リスク・副作用>
手術後は痛み、腫れ、痺れなどの副作用が生じる場合があります。
Case37
-
- 原因
- 上顎、下顎左右の埋伏の親知らず
-
- 治療内容
- 上顎、下顎左右の親知らずを抜歯したケースです。
<リスク・副作用>
手術後は痛み、腫れ、痺れなどの副作用が生じる場合があります。
Case38
-
- 原因
- 下顎左右の埋伏の親知らず
-
- 治療内容
- 下顎左右の親知らずを抜歯したケースです。
<リスク・副作用>
手術後は痛み、腫れ、痺れなどの副作用が生じる場合があります。
Case39
-
- 原因
- 下顎左右の埋伏の親知らず
-
- 治療内容
- 下顎左右の親知らずを抜歯したケースです。
<リスク・副作用>
手術後は痛み、腫れ、痺れなどの副作用が生じる場合があります。
Case40
-
- 原因
- 上顎、下顎の左右の4本の親知らず
-
- 治療内容
- 上顎、下顎の左右の4本の親知らずを抜歯したケースです。
<リスク・副作用>
手術後は痛み、腫れ、痺れなどの副作用が生じる場合があります。
Case41
-
- 原因
- 下顎の左右の2本の親知らず
-
- 治療内容
- 下顎の左右の2本の親知らずを抜歯したケースです。
<リスク・副作用>
手術後は痛み、腫れ、痺れなどの副作用が生じる場合があります。
Case42
-
- 原因
- 下顎の左の親知らず
-
- 治療内容
- 下顎の左の親知らずを抜歯したケースです。
<リスク・副作用>
手術後は痛み、腫れ、痺れなどの副作用が生じる場合があります。
Case43
-
- 原因
- 下顎の左右の親知らず
-
- 治療内容
- 下顎の左右の親知らずを抜歯したケースです。
<リスク・副作用>
手術後は痛み、腫れ、痺れなどの副作用が生じる場合があります。
Case44
-
- 原因
- 上顎左埋伏親知らず、下顎左右の親知らず
-
- 治療内容
- 上顎左埋伏親知らず、下顎左右の親知らずを抜歯したケースです。
<リスク・副作用>
手術後は痛み、腫れ、痺れなどの副作用が生じる場合があります。
Case45
-
- 原因
- 下顎左右の親知らず
-
- 治療内容
- 下顎左右の親知らずを抜歯したケースです。
<リスク・副作用>
手術後は痛み、腫れ、痺れなどの副作用が生じる場合があります。
Case46
-
- 原因
- 下顎左右の親知らず
-
- 治療内容
- 下顎左右の親知らずを抜歯したケースです。
<リスク・副作用>
手術後は痛み、腫れ、痺れなどの副作用が生じる場合があります。
Case47
-
- 原因
- 上下顎左右の親知らず
-
- 治療内容
- 上下顎左右の4本の親知らずを抜歯したケースです。
<リスク・副作用>
手術後は痛み、腫れ、痺れなどの副作用が生じる場合があります。
Case48
-
- 原因
- 上下顎左右の親知らず
-
- 治療内容
- 上下顎左右の4本の親知らずを抜歯したケースです。
<リスク・副作用>
手術後は痛み、腫れ、痺れなどの副作用が生じる場合があります。
Case49
-
- 原因
- 上下顎左右の親知らず
-
- 治療内容
- 上下顎左右の4本の親知らずを抜歯したケースです。
<リスク・副作用>
手術後は痛み、腫れ、痺れなどの副作用が生じる場合があります。
Case50
-
- 原因
- 下顎左右の親知らず
-
- 治療内容
- 下顎左右の2本の親知らずを抜歯したケースです。
<リスク・副作用>
手術後は痛み、腫れ、痺れなどの副作用が生じる場合があります。
Case51
-
- 原因
- 下顎左右の親知らず
-
- 治療内容
- 下顎左右の2本の親知らずを抜歯したケースです。
<リスク・副作用>
手術後は痛み、腫れ、痺れなどの副作用が生じる場合があります。
Case52
-
- 原因
- 上下顎左右の親知らず
-
- 治療内容
- 上下顎左右の4本の親知らずを抜歯したケースです。
<リスク・副作用>
手術後は痛み、腫れ、痺れなどの副作用が生じる場合があります。
Case53
-
- 原因
- 上下顎左右の親知らず
-
- 治療内容
- 上下顎左右の4本の親知らずを抜歯したケースです。
<リスク・副作用>
手術後は痛み、腫れ、痺れなどの副作用が生じる場合があります。
Case54
-
- 原因
- 上顎右1本、下顎左1本、下顎右1本の親知らず
-
- 治療内容
- 上顎右1本、下顎左1本、下顎右1本の3本の親知らずを抜歯したケースです。
<リスク・副作用>
手術後は痛み、腫れ、痺れなどの副作用が生じる場合があります。
Case55
-
- 原因
- 下顎左の親知らず
-
- 治療内容
- 下顎左の1本の親知らずを抜歯したケースです。
<リスク・副作用>
手術後は痛み、腫れ、痺れなどの副作用が生じる場合があります。
Case56
-
- 原因
- 上下顎左の親知らず
-
- 治療内容
- 上下顎左の2本の親知らずを抜歯したケースです。
<リスク・副作用>
手術後は痛み、腫れ、痺れなどの副作用が生じる場合があります。
Case57
-
- 原因
- 上顎左1本、下顎左右2本の親知らず
-
- 治療内容
- 上顎左1本、下顎左右2本の親知らずを抜歯したケースです。
<リスク・副作用>
手術後は痛み、腫れ、痺れなどの副作用が生じる場合があります。
Case58
-
- 原因
- 上顎左右2本、下顎左右2本の親知らず
-
- 治療内容
- 上顎左右2本、下顎左右2本の親知らずを抜歯したケースです。
<リスク・副作用>
手術後は痛み、腫れ、痺れなどの副作用が生じる場合があります。
Case59
-
- 原因
- 下顎左右2本の親知らず
-
- 治療内容
- 下顎左右2本の親知らずを抜歯したケースです。
<リスク・副作用>
手術後は痛み、腫れ、痺れなどの副作用が生じる場合があります。
Case60
-
- 原因
- 上顎右、下顎左の親知らず
-
- 治療内容
- 上顎右、下顎左の親知らずを抜歯したケースです。
<リスク・副作用>
手術後は痛み、腫れ、痺れなどの副作用が生じる場合があります。
Case61
-
- 原因
- 上下顎右左の親知らず
-
- 治療内容
- 上顎2本、下顎2本の親知らずを抜歯したケースです。
<リスク・副作用>
手術後は痛み、腫れ、痺れなどの副作用が生じる場合があります。
Case62
-
- 原因
- 上下顎右左の親知らず
-
- 治療内容
- 上顎2本、下顎2本の親知らずを抜歯したケースです。
<リスク・副作用>
手術後は痛み、腫れ、痺れなどの副作用が生じる場合があります。
Case63
-
- 原因
- 上顎左、下顎右左の親知らず
-
- 治療内容
- 上顎左、下顎右左の親知らずを抜歯したケースです。
<リスク・副作用>
手術後は痛み、腫れ、痺れなどの副作用が生じる場合があります。
Case64
-
- 原因
- 上下顎右左の親知らず
-
- 治療内容
- 上顎2本、下顎2本の親知らずを抜歯したケースです。
<リスク・副作用>
手術後は痛み、腫れ、痺れなどの副作用が生じる場合があります。
Case65
-
- 原因
- 下顎左の親知らず
-
- 治療内容
- 下顎左の親知らずを抜歯したケースです。
<リスク・副作用>
手術後は痛み、腫れ、痺れなどの副作用が生じる場合があります。
Case66
-
- 原因
- 下顎左右の親知らず
-
- 治療内容
- 下顎左右の親知らずを抜歯したケースです。
<リスク・副作用>
手術後は痛み、腫れ、痺れなどの副作用が生じる場合があります。
Case66
-
- 原因
- 下顎左の親知らず
-
- 治療内容
- 下顎左の親知らずを抜歯したケースです。
<リスク・副作用>
手術後は痛み、腫れ、痺れなどの副作用が生じる場合があります。
Case67
-
- 原因
- 下顎左右の親知らず
-
- 治療内容
- 下顎左右の親知らずを抜歯したケースです。
<リスク・副作用>
手術後は痛み、腫れ、痺れなどの副作用が生じる場合があります。
Case68
-
- 原因
- 上下顎左の親知らず
-
- 治療内容
- 上下顎左の親知らずを抜歯したケースです。
<リスク・副作用>
手術後は痛み、腫れ、痺れなどの副作用が生じる場合があります。
Case69
-
- 原因
- 上下顎左右の親知らず
-
- 治療内容
- 上下顎左右4本の親知らずを抜歯したケースです。
<リスク・副作用>
手術後は痛み、腫れ、痺れなどの副作用が生じる場合があります。
Case70
-
- 原因
- 下顎右の親知らず
-
- 治療内容
- 下顎右の親知らずを抜歯したケースです。
<リスク・副作用>
手術後は痛み、腫れ、痺れなどの副作用が生じる場合があります。
Case71
-
- 原因
- 上下顎左右の親知らず
-
- 治療内容
- 上下顎左右の親知らず4本を抜歯したケースです。
<リスク・副作用>
手術後は痛み、腫れ、痺れなどの副作用が生じる場合があります。
Case72
-
- 原因
- 下顎左右の親知らず
-
- 治療内容
- 下顎左右の親知らずを抜歯したケースです。
<リスク・副作用>
手術後は痛み、腫れ、痺れなどの副作用が生じる場合があります。
Case73
-
- 原因
- 下顎左右の親知らず
-
- 治療内容
- 下顎左右の親知らずを抜歯したケースです。
<リスク・副作用>
手術後は痛み、腫れ、痺れなどの副作用が生じる場合があります。
Case74
-
- 原因
- 下顎左の親知らず
-
- 治療内容
- 下顎左の親知らずを抜歯したケースです。
<リスク・副作用>
手術後は痛み、腫れ、痺れなどの副作用が生じる場合があります。
Case75
-
- 原因
- 下顎左右の親知らず
-
- 治療内容
- 下顎左右の親知らずを抜歯したケースです。
<リスク・副作用>
手術後は痛み、腫れ、痺れなどの副作用が生じる場合があります。
Case76
-
- 原因
- 上下顎右の親知らず
-
- 治療内容
- 上下顎右の親知らずを抜歯したケースです。
<リスク・副作用>
手術後は痛み、腫れ、痺れなどの副作用が生じる場合があります。
Case77
-
- 原因
- 下顎左右の親知らず
-
- 治療内容
- 下顎左右の親知らずを抜歯したケースです。
<リスク・副作用>
手術後は痛み、腫れ、痺れなどの副作用が生じる場合があります。
Case78
-
- 原因
- 上下顎左右の親知らず
-
- 治療内容
- 上下顎左右の親知らずを抜歯したケースです。
<リスク・副作用>
手術後は痛み、腫れ、痺れなどの副作用が生じる場合があります。
Case79
-
- 原因
- 下顎左右の親知らず
-
- 治療内容
- 下顎左右の親知らずを抜歯したケースです。
<リスク・副作用>
手術後は痛み、腫れ、痺れなどの副作用が生じる場合があります。
Case80
-
- 原因
- 上顎左右、下顎右の親知らず
-
- 治療内容
- 上顎左右、下顎右の親知らずを抜歯したケースです。
<リスク・副作用>
手術後は痛み、腫れ、痺れなどの副作用が生じる場合があります。
Case81
-
- 原因
- 下顎左右の親知らず
-
- 治療内容
- 下顎左右の親知らずを抜歯したケースです。
<リスク・副作用>
手術後は痛み、腫れ、痺れなどの副作用が生じる場合があります。
Case82
-
- 原因
- 上下顎左右の親知らず
-
- 治療内容
- 上下顎左右の親知らずを抜歯したケースです。
<リスク・副作用>
手術後は痛み、腫れ、痺れなどの副作用が生じる場合があります。
Case83
-
- 原因
- 上顎右、下顎左右の親知らず
-
- 治療内容
- 上顎右、下顎左右の親知らずを抜歯したケースです。
<リスク・副作用>
手術後は痛み、腫れ、痺れなどの副作用が生じる場合があります。
Case84
-
- 原因
- 上顎右、下顎左の親知らず
-
- 治療内容
- 上顎右、下顎左の親知らずを抜歯したケースです。
<リスク・副作用>
手術後は痛み、腫れ、痺れなどの副作用が生じる場合があります。
Case85
-
- 原因
- 上顎右、下顎左右の親知らず
-
- 治療内容
- 上顎右、下顎左右の親知らずを抜歯したケースです。
<リスク・副作用>
手術後は痛み、腫れ、痺れなどの副作用が生じる場合があります。
Case86
-
- 原因
- 上顎左、下顎右の親知らず
-
- 治療内容
- 上顎左、下顎右の親知らずを抜歯したケースです。
<リスク・副作用>
手術後は痛み、腫れ、痺れなどの副作用が生じる場合があります。
Case87
-
- 原因
- 下顎右の親知らず
-
- 治療内容
- 下顎右の親知らずを抜歯したケースです。
<リスク・副作用>
手術後は痛み、腫れ、痺れなどの副作用が生じる場合があります。
Case88
-
- 原因
- 下顎左右の親知らず
-
- 治療内容
- 下顎左右の親知らずを抜歯したケースです。
<リスク・副作用>
手術後は痛み、腫れ、痺れなどの副作用が生じる場合があります。
Case89
-
- 原因
- 上顎左の親知らず
-
- 治療内容
- 上顎左の親知らずを抜歯したケースです。
<リスク・副作用>
手術後は痛み、腫れ、痺れなどの副作用が生じる場合があります。
Case90
-
- 原因
- 下顎左右の親知らず
-
- 治療内容
- 下顎左右の親知らずを抜歯したケースです。
<リスク・副作用>
手術後は痛み、腫れ、痺れなどの副作用が生じる場合があります。
Case91
-
- 原因
- 下顎左の親知らず
-
- 治療内容
- 下顎左の親知らずを抜歯したケースです。
<リスク・副作用>
手術後は痛み、腫れ、痺れなどの副作用が生じる場合があります。
Case92
-
- 原因
- 下顎左右の親知らず
-
- 治療内容
- 下顎左右の親知らずを抜歯したケースです。
<リスク・副作用>
手術後は痛み、腫れ、痺れなどの副作用が生じる場合があります。
Case93
-
- 原因
- 下顎左の親知らず
-
- 治療内容
- 下顎左の親知らずを抜歯したケースです。
<リスク・副作用>
手術後は痛み、腫れ、痺れなどの副作用が生じる場合があります。
Case94
-
- 原因
- 下顎右の親知らず
-
- 治療内容
- 下顎右の親知らずを抜歯したケースです。
<リスク・副作用>
手術後は痛み、腫れ、痺れなどの副作用が生じる場合があります。
Case95
-
- 原因
- 上下顎左右の親知らず
-
- 治療内容
- 上下顎左右の親知らずを抜歯したケースです。
<リスク・副作用>
手術後は痛み、腫れ、痺れなどの副作用が生じる場合があります。
Case96
-
- 原因
- 上顎右、下顎左の親知らず
-
- 治療内容
- 上顎右、下顎左の親知らずを抜歯したケースです。
<リスク・副作用>
手術後は痛み、腫れ、痺れなどの副作用が生じる場合があります。
Case97
-
- 原因
- 下顎左の親知らず
-
- 治療内容
- 下顎左の親知らずを抜歯したケースです。
<リスク・副作用>
手術後は痛み、腫れ、痺れなどの副作用が生じる場合があります。
Case98
-
- 原因
- 下顎右の親知らず
-
- 治療内容
- 下顎右の親知らずを抜歯したケースです。
<リスク・副作用>
手術後は痛み、腫れ、痺れなどの副作用が生じる場合があります。
Case99
-
- 原因
- 上顎左右の親知らず
-
- 治療内容
- 上顎左右の親知らずを抜歯したケースです。
<リスク・副作用>
手術後は痛み、腫れ、痺れなどの副作用が生じる場合があります。
Case100
-
- 原因
- 下顎左の親知らず
-
- 治療内容
- 下顎左の親知らずを抜歯したケースです。
<リスク・副作用>
手術後は痛み、腫れ、痺れなどの副作用が生じる場合があります。
Case101
-
- 原因
- 下顎左右の親知らず
-
- 治療内容
- 下顎左右の親知らずを抜歯したケースです。
<リスク・副作用>
手術後は痛み、腫れ、痺れなどの副作用が生じる場合があります。
Case102
-
- 原因
- 下顎左右の親知らず
-
- 治療内容
- 下顎左右の親知らずを抜歯したケースです。
<リスク・副作用>
手術後は痛み、腫れ、痺れなどの副作用が生じる場合があります。
Case103
-
- 原因
- 上顎左・下顎左の親知らず
-
- 治療内容
- 上顎左・下顎左の親知らずを抜歯したケースです。
<リスク・副作用>
手術後は痛み、腫れ、痺れなどの副作用が生じる場合があります。
Case104
-
- 原因
- 上下顎左右の親知らず
-
- 治療内容
- 上下顎左右の親知らずを抜歯したケースです。
<リスク・副作用>
手術後は痛み、腫れ、痺れなどの副作用が生じる場合があります。
Case105
-
- 原因
- 上下顎左右の親知らず
-
- 治療内容
- 上下顎左右の親知らずを抜歯したケースです。
<リスク・副作用>
手術後は痛み、腫れ、痺れなどの副作用が生じる場合があります。
Case106
-
- 原因
- 上下顎左右の親知らず
-
- 治療内容
- 上下顎左右の親知らずを抜歯したケースです。
<リスク・副作用>
手術後は痛み、腫れ、痺れなどの副作用が生じる場合があります。
Case107
-
- 原因
- 下顎左右の親知らず
-
- 治療内容
- 下顎左右の親知らずを抜歯したケースです。
<リスク・副作用>
手術後は痛み、腫れ、痺れなどの副作用が生じる場合があります。
Case108
-
- 原因
- 下顎左の親知らず
-
- 治療内容
- 下顎左の親知らずを抜歯したケースです。
<リスク・副作用>
手術後は痛み、腫れ、痺れなどの副作用が生じる場合があります。
Case109
-
- 原因
- 下顎左右の親知らず
-
- 治療内容
- 下顎左右の親知らずを抜歯したケースです。
<リスク・副作用>
手術後は痛み、腫れ、痺れなどの副作用が生じる場合があります。
Case110
-
- 原因
- 上下顎左の親知らず
-
- 治療内容
- 上下顎左の親知らずを抜歯したケースです。
<リスク・副作用>
手術後は痛み、腫れ、痺れなどの副作用が生じる場合があります。
Case111
-
- 原因
- 上下顎左右の親知らず
-
- 治療内容
- 上下顎左左右の親知らずを抜歯したケースです。
<リスク・副作用>
手術後は痛み、腫れ、痺れなどの副作用が生じる場合があります。
ウェブ診療予約COUNSELING
患者様とのコミュニケーションを重視し、
エビデンスに基づいた質の高い歯科治療を
おこなうことを心掛けております。
歯が悪くならないように予防をし、
悪くなった歯は可能な限り歯を残すことを
コンセプトに
スタッフ一同で患者様に
寄り添い対応いたしますので、
お気軽にご相談ください。
ACCESS
両国駅、森下駅から徒歩7分
〒130-0026
東京都墨田区両国4-6-3
M.D.Cビル1F
| 診療時間 | 月 | 火 | 水 | 木 | 金 | 土 | 日 | 祝 |
|---|---|---|---|---|---|---|---|---|
| 09:30~13:00 | ○ | ○ | ○ | ○ | ○ | ○ | × | × |
| 14:00~18:30 | ○ | ○ | ○ | ○ | ○ | △ | × | × |
△土曜午後 14:00~17:30
休診日:日曜・祝日
両国Ai歯科クリニックはJR総武線 両国駅東口徒歩7分、都営大江戸線 両国駅A5出口徒歩7分、都営新宿線 森下駅A2出口徒歩7分の場所にある歯科医院です。
土曜診療をしておりますので、お仕事や学校が忙しい患者様にも通院がしやすいので歯のことでお困りでしたらお気軽にご相談下さい。




































































































































































































































