失活歯のブリーチング

ホワイトニングというと、トレーを作製し、主に全ての歯を対象としますが、ブリーチングは色落ちしている一本の歯のみを白くする方法です。
1歯のみ歯が色落ちしてしまう原因として、歯の中の神経が死んでいる、もしくは歯の神経の処置をすでに行なっていること、すなわち失活歯で色の変色が起こります。
治療としては、歯の根の治療をまず行う必要があり、その後に歯の根の中に漂白剤を入れて元の色に戻します。
失活歯のブリーチングの
症例
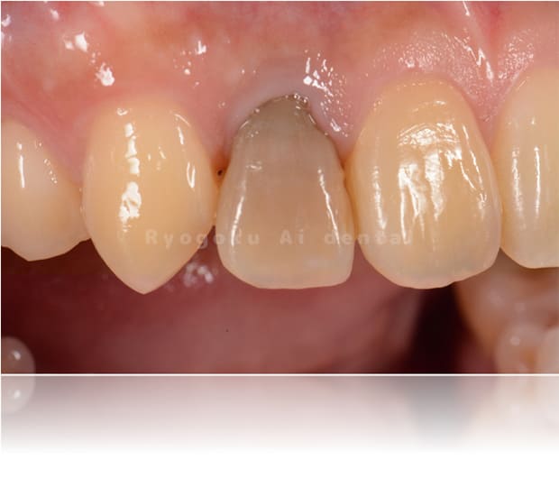
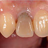
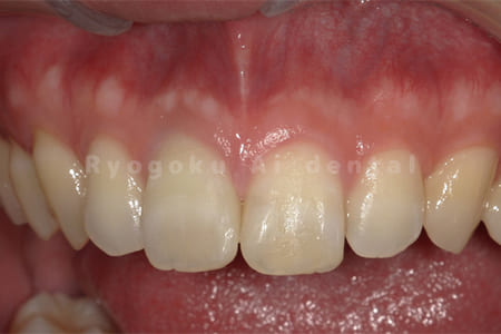
Case01
-
- 原因
- 歯の神経が死んでしまったことによる変色
-
- 治療内容
- ブリーチングのみ
-
- 治療費用
- 55,000円
上顎前歯部の歯の神経が死んでしまったことによる1歯の変色をブリーチングにより改善したケース。
<リスク・副作用>
治療中もしくは治療後に急に痛みが出る場合があります。感染が強い場合には痛みが激しいことがありますので、その際は痛み止め、抗生剤を処方する場合があります。
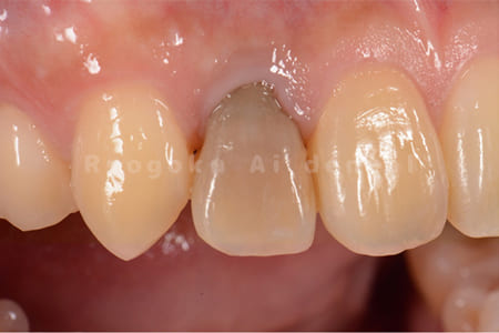
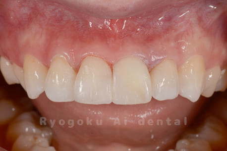
Case02
-
- 原因
- 歯の神経が死んでしまったことによる変色
-
- 治療内容
- 根管治療+ブリーチング+ダイレクトボンディング
-
- 治療費用
- 198,000円
上顎前歯部の歯の神経が死んでしまったことによる1歯の変色と歯のすきっ歯を根管治療、ブリーチング、ダイレクトボンディングで改善したケースです。
<リスク・副作用>
治療中もしくは治療後に急に痛みが出る場合があります。感染が強い場合には痛みが激しいことがありますので、その際は痛み止め、抗生剤を処方する場合があります。
また、ダイレクトボンディングは強い衝撃などにより欠けたりすることがある。経年的に劣化(変色)してくる可能性がある。
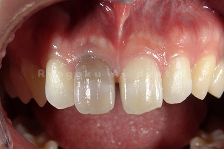
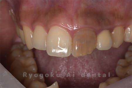
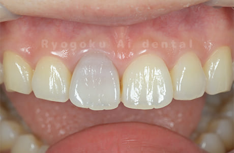
Case03
-
- 原因
- 失活による歯牙変色
-
- 治療内容
- ブリーチング+マイクロエンド+ダイレクトボンディング
-
- 治療費用
- 198,000円(ブリーチング55,000円+マイクロエンド77,000円+ダイレクトボンディング66,000円)
前歯が黒いのが気になるとのことでご来院された患者様です。根の状態も悪かったためマイクロスコープ下で根管治療を行い、ブリーチングの後にダイレクトボンディングで形態修正を行いました。
<リスク・副作用>
治療中もしくは治療後に急に痛みが出る場合があります。感染が強い場合には痛みが激しいことがありますので、その際は痛み止め、抗生剤を処方する場合があります。
また、ダイレクトボンディングは強い衝撃などにより欠けたりすることがある。経年的に劣化(変色)してくる可能性がある。
Case04
-
- 原因
- 失活による歯牙変色
-
- 治療内容
- ブリーチング+マイクロエンド+ダイレクトボンディング+ホワイトニング
-
- 治療費用
- 231,000円(ブリーチング55,000円+マイクロエンド77,000円+ダイレクトボンディング66,000円+ホワイトニング33,000円)
結婚式前に前歯を綺麗にしたいとのことでご来院された患者様です。根の状態も悪かったためマイクロスコープ下で根管治療を行い、ブリーチングの後にダイレクトボンディングで形態修正を行いました。
<リスク・副作用>
治療中もしくは治療後に急に痛みが出る場合があります。感染が強い場合には痛みが激しいことがありますので、その際は痛み止め、抗生剤を処方する場合があります。
また、ダイレクトボンディングは強い衝撃などにより欠けたりすることがある。経年的に劣化(変色)してくる可能性がある。
Case05
-
- 原因
- 失活による歯牙変色
-
- 治療内容
- ブリーチング+ダイレクトボンディング
-
- 治療費用
- 121,000円
前歯の色が気になるとのことでご来院された患者様です。元の歯の色に戻り、満足されました。
<リスク・副作用>
治療中もしくは治療後に急に痛みが出る場合があります。感染が強い場合には痛みが激しいことがありますので、その際は痛み止め、抗生剤を処方する場合があります。
また、ダイレクトボンディングは強い衝撃などにより欠けたりすることがある。経年的に劣化(変色)してくる可能性がある。
Case06
-
- 原因
- 失活歯の変色
-
- 治療内容
- ブリーチング
-
- 治療費用
- 55,000円
前歯のブリーチングを他院で行ったが、上手くいかなかったため、当医院での再治療を希望された方です。仕上がりにも満足されています。
<リスク・副作用>
治療中もしくは治療後に急に痛みが出る場合があります。感染が強い場合には痛みが激しいことがありますので、その際は痛み止め、抗生剤を処方する場合があります。
また、ダイレクトボンディングは強い衝撃などにより欠けたりすることがある。経年的に劣化(変色)してくる可能性がある。
Case07
-
- 原因
- 前歯部失活歯による変色
-
- 治療内容
- 根管治療ならびに、ダイレクトボンディング、ブリーチング
-
- 治療費用
- 198,000円
前歯の変色と歯が欠けているのが気になるとのことでご来院された患者様です。治療後の仕上がりにも満足されていました。
<リスク・副作用>
治療中もしくは治療後に急に痛みが出る場合があります。感染が強い場合には痛みが激しいことがありますので、その際は痛み止め、抗生剤を処方する場合があります。
また、ダイレクトボンディングは強い衝撃などにより欠けたりすることがある。経年的に劣化(変色)してくる可能性がある。
Case08
-
- 原因
- 失活歯による歯の変色
-
- 治療内容
- ブリーチング
-
- 治療費用
- 55,000円
前歯の変色が気になるとのことでご来院された患者様です。仕上がりにも満足されています。
<リスク・副作用>
治療中もしくは治療後に急に痛みが出る場合があります。感染が強い場合には痛みが激しいことがありますので、その際は痛み止め、抗生剤を処方する場合があります。
また、ダイレクトボンディングは強い衝撃などにより欠けたりすることがある。経年的に劣化(変色)してくる可能性がある。
Case09
-
- 原因
- 右上1番、左上2番の失活歯による歯の変色
-
- 治療内容
- ダイレクトボンディング、マイクロエンド、ブリーチング
-
- 治療費用
- 150,000円
右上1番、左上2番の変色が気になるとのことでご来院された患者様です。仕上がりにも満足されています。
<リスク・副作用>
治療中もしくは治療後に急に痛みが出る場合があります。感染が強い場合には痛みが激しいことがありますので、その際は痛み止め、抗生剤を処方する場合があります。
また、ダイレクトボンディングは強い衝撃などにより欠けたりすることがある。経年的に劣化(変色)してくる可能性がある。
Case10
-
- 原因
- 失活歯
-
- 治療内容
- ブリーチング
-
- 治療費用
- 264,000円(2歯分、ダイレクトボンディング費用は含まない)
前歯の色が気になるとのことでご来院された患者様です。根管治療を行なった後、ブリーチングを行いました。今後、プラスチック部分の変色を治療する予定です。
<リスク・副作用>
治療中もしくは治療後に急に痛みが出る場合があります。感染が強い場合には痛みが激しいことがありますので、その際は痛み止め、抗生剤を処方する場合があります。
また、ダイレクトボンディングは強い衝撃などにより欠けたりすることがある。経年的に劣化(変色)してくる可能性がある。
Case11
-
- 原因
- 失活歯による歯牙変色
-
- 治療内容
- ブリーチング
-
- 治療費用
- 55,000円
歯の色が気になるとのことでご来院された患者様です。ブリーチングを行い、歯の色を元に戻しました。
<リスク・副作用>
治療中もしくは治療後に急に痛みが出る場合があります。感染が強い場合には痛みが激しいことがありますので、その際は痛み止め、抗生剤を処方する場合があります。
Case12
-
- 原因
- 失活歯による歯牙変色
-
- 治療内容
- ブリーチング
-
- 治療費用
- 55,000円
前歯の色を戻したいとのことでご来院された患者様です。ブリーチングを行い、元の歯の色に戻りました。大変満足して頂けました。
<リスク・副作用>
治療中もしくは治療後に急に痛みが出る場合があります。感染が強い場合には痛みが激しいことがありますので、その際は痛み止め、抗生剤を処方する場合があります。
失活歯のブリーチングの費用
※費用は税込価格です。
| 種類 | 内容 | 税込価格 |
|---|---|---|
| 失活歯の ブリーチング |
1歯 | ¥55,000 |
- 根管治療、ダイレクトボンディングは別途費用がかかる場合があります。
治療上の注意点とリスク・副作用
- 治療中の歯では絶対に硬い食べ物は食べないでください。歯が割れる場合があります。
- ブリーチングを行なっていく上で、回数の制限はございません。納得いくまで行うことができますが、周囲の歯の状況によっては希望の色まで戻らない場合もあります。その際は被せ物のご提案をさせていただく場合もあります。
歯を白く美しくするのメニュー
-

- セラミック治療
- 身体に優しく、見た目も白く綺麗なメタルフリー治療のご紹介。
-

- 前歯のセラミック補綴治療
- 前歯のセラミック補綴治療で笑顔を取り戻しませんか?
-

- ダイレクトボンディング
- 歯の削る量が少ないことと、歯にかなり近い色を再現できるダイレクトボンディング。
-

- ホワイトニング
- ホワイトニングで歯を白くして印象をアップしませんか?
-

- 失活歯のブリーチング
- ホワイトニングで歯を白くして印象をアップしませんか?
-

- ガミースマイル改善治療
- ガミースマイルでお悩みの方はお気軽にご相談ください。
-

- 治療費
- 両国Ai歯科クリニックの保険外治療の治療費のページ。
ウェブ診療予約COUNSELING
患者様とのコミュニケーションを重視し、
エビデンスに基づいた質の高い歯科治療を
おこなうことを心掛けております。
歯が悪くならないように予防をし、
悪くなった歯は可能な限り歯を残すことを
コンセプトに
スタッフ一同で患者様に
寄り添い対応いたしますので、
お気軽にご相談ください。
ACCESS
両国駅、森下駅から徒歩7分
〒130-0026
東京都墨田区両国4-6-3
M.D.Cビル1F
| 診療時間 | 月 | 火 | 水 | 木 | 金 | 土 | 日 | 祝 |
|---|---|---|---|---|---|---|---|---|
| 09:30~13:00 | ○ | ○ | ○ | ○ | ○ | ○ | × | × |
| 14:00~18:30 | ○ | ○ | ○ | ○ | ○ | △ | × | × |
△土曜午後 14:00~17:30
休診日:日曜・祝日
両国Ai歯科クリニックはJR総武線 両国駅東口徒歩7分、都営大江戸線 両国駅A5出口徒歩7分、都営新宿線 森下駅A2出口徒歩7分の場所にある歯科医院です。
土曜診療をしておりますので、お仕事や学校が忙しい患者様にも通院がしやすいので歯のことでお困りでしたらお気軽にご相談下さい。



























